Suppr超能文献

接受纳武单抗治疗的非小细胞肺癌患者发生结核感染:病例报告及文献综述

Tuberculosis Infection in a Patient Treated With Nivolumab for Non-small Cell Lung Cancer: Case Report and Literature Review.

作者信息

van Eeden Ronwyn, Rapoport Bernardo L, Smit Teresa, Anderson Ronald

机构信息

The Medical Oncology Centre of Rosebank, Johannesburg, South Africa.

Department of Immunology, Faculty of Health Sciences, University of Pretoria, Pretoria, South Africa.

出版信息

Front Oncol. 2019 Jul 24;9:659. doi: 10.3389/fonc.2019.00659. eCollection 2019.

Abstract

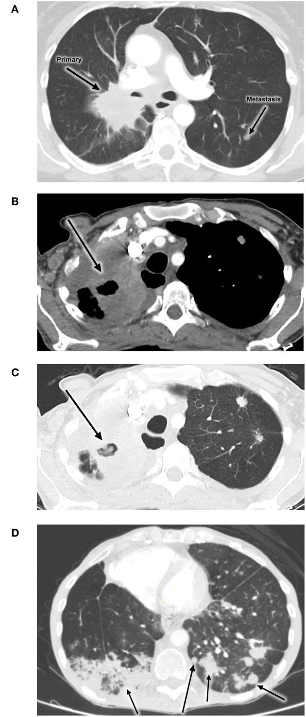
Nivolumab (PD-1 inhibitor) and other immune checkpoint inhibitors are used primarily to promote reactivation of anti-tumor immunity. However, due to their generalized immunorestorative properties, these agents may also trigger an unusual spectrum of side-effects termed immune-related adverse events. In the case of the lung, pulmonary infiltrates in patients treated with the anti-PD-1 inhibitors, nivolumab, or pembrolizumab, especially patients with non-small cell lung cancer, can result from immune-related pneumonitis, which, until fairly recently was believed to be of non-infective origin. This, in turn, may result in progression and pseudo-progression of disease. An increasing body of evidence has, however, identified pulmonary tuberculosis as an additional type of anti-PD-1 therapy-associated, immune-related adverse event, seemingly as a consequence of excessive reactivation of immune responsiveness to latent infection. The current case report describes a 56-year old Caucasian female who presented with microbiologically-confirmed tuberculosis infection while on nivolumab therapy for non-small cell lung cancer. Notably, the patient, seemingly the first described from the African Continent, had not received immunosuppressive therapy prior to the diagnosis of tuberculosis.

摘要

纳武单抗(一种PD -1抑制剂)和其他免疫检查点抑制剂主要用于促进抗肿瘤免疫的重新激活。然而,由于它们具有广泛的免疫恢复特性,这些药物也可能引发一系列不同寻常的副作用,称为免疫相关不良事件。就肺部而言,接受抗PD -1抑制剂纳武单抗或派姆单抗治疗的患者,尤其是非小细胞肺癌患者,肺部浸润可能是由免疫相关肺炎引起的,直到最近人们还认为这种肺炎是非感染性的。反过来,这可能导致疾病进展和假性进展。然而,越来越多的证据表明,肺结核是抗PD -1治疗相关的另一种免疫相关不良事件,似乎是对潜伏感染的免疫反应过度激活的结果。本病例报告描述了一名56岁的白种女性,她在接受纳武单抗治疗非小细胞肺癌时出现了微生物学确诊的结核感染。值得注意的是,该患者似乎是非洲大陆首例报告的病例,在诊断出肺结核之前未接受过免疫抑制治疗。

https://cdn.ncbi.nlm.nih.gov/pmc/blobs/0770/6668214/0af05d30c51c/fonc-09-00659-g0001.jpg

文献AI研究员

20分钟写一篇综述,助力文献阅读效率提升50倍。

立即体验

用中文搜PubMed

大模型驱动的PubMed中文搜索引擎

马上搜索

文档翻译

学术文献翻译模型,支持多种主流文档格式。

立即体验