Suppr超能文献

出血性肠病:一名年轻男性中1型神经纤维瘤病相关胃肠道间质瘤的罕见病例。

The Bleeding Bowel: A Rare Case of Neurofibromatosis Type 1-associated Gastrointestinal Stromal Tumor in a Young Male.

作者信息

Kalayanamitra Ricci, Shahid Zainab, Shah Neal, Patel Ravi, Jain Rohit

机构信息

Emergency Medicine, Penn State Health Milton S. Hershey Medical Center, Hershey, USA.

Internal Medicine, Lake Erie College of Osteopathic Medicine, Erie, USA.

出版信息

Cureus. 2019 Jun 10;11(6):e4868. doi: 10.7759/cureus.4868.

Abstract

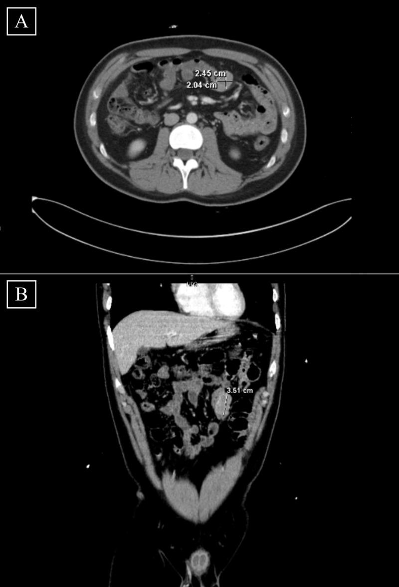
Individuals with neurofibromatosis type 1 are much more likely to develop gastrointestinal stromal tumors than those without this condition. The median age for patients with neurofibromatosis type 1-associated gastrointestinal stromal tumors is approximately 65 years. We present a case of a young male with a history of neurofibromatosis type 1 who presented with symptomatic anemia and melena and was ultimately found to have a gastrointestinal stromal tumor.

摘要

1型神经纤维瘤病患者比没有这种疾病的人更易患胃肠道间质瘤。1型神经纤维瘤病相关胃肠道间质瘤患者的中位年龄约为65岁。我们报告一例有1型神经纤维瘤病病史的年轻男性病例,该患者出现症状性贫血和黑便,最终被发现患有胃肠道间质瘤。

https://cdn.ncbi.nlm.nih.gov/pmc/blobs/c8d5/6687427/bcec9e596bad/cureus-0011-00000004868-i01.jpg

文献AI研究员

20分钟写一篇综述,助力文献阅读效率提升50倍。

立即体验

用中文搜PubMed

大模型驱动的PubMed中文搜索引擎

马上搜索

文档翻译

学术文献翻译模型,支持多种主流文档格式。

立即体验