Suppr超能文献

静脉硬化性结肠炎——缺血性结肠炎中的一个谜团。

Phlebosclerotic Colitis - An Enigma Among Ischemic Colitis.

作者信息

Mathew Rishi Philip, Girgis Safwat, Wells Malcolm, Low Gavin

机构信息

Departments of Radiology and Diagnostic Imaging, Division of Gastroenterology, University of Alberta, 8440 112 St NW, Edmonton, Canada.

Departments of Laboratory Medicine and Pathology, Division of Gastroenterology, University of Alberta, 8440 112 St NW, Edmonton, Canada.

出版信息

J Clin Imaging Sci. 2019 May 24;9:18. doi: 10.25259/JCIS-30-2019. eCollection 2019.

Abstract

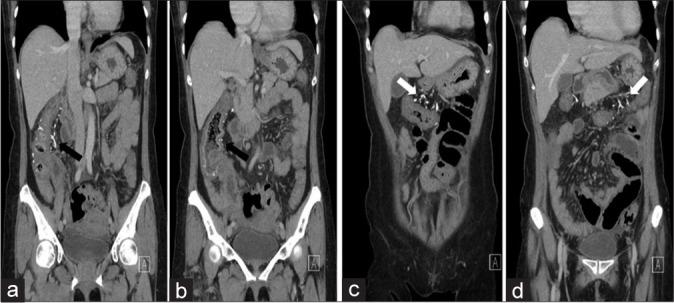
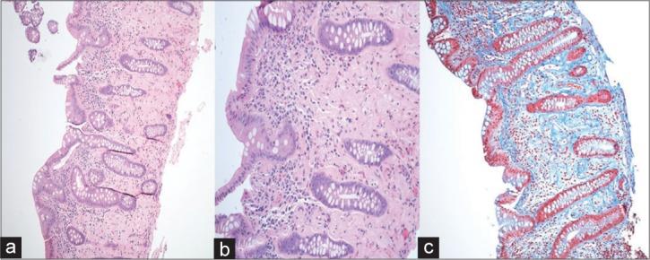
Phlebosclerotic Colitis is a rare, potentially life-threatening condition of unclear etio-pathogenesis seen almost exclusively in Asians and people of Asian descent. The condition predominantly affects the right hemicolon and imaging plays a crucial role in its diagnosis. Here we report the only second documented case of phlebosclerotic colitis in North America in a 60-year-old Canadian resident of Vietnamese descent with a history of consuming herbal medication () in soup for 2-3 decades.

摘要

静脉硬化性结肠炎是一种罕见的、可能危及生命的疾病,其病因和发病机制尚不清楚,几乎仅见于亚洲人和亚裔人群。该病主要影响右半结肠,影像学检查在其诊断中起着关键作用。在此,我们报告北美第二例有记录的静脉硬化性结肠炎病例,患者为一名60岁的加拿大越南裔居民,有2至3十年在汤中食用草药的病史。

https://cdn.ncbi.nlm.nih.gov/pmc/blobs/9f2c/6702870/e22f7b0f4012/JCIS-9-18-g001.jpg

文献AI研究员

20分钟写一篇综述,助力文献阅读效率提升50倍。

立即体验

用中文搜PubMed

大模型驱动的PubMed中文搜索引擎

马上搜索

文档翻译

学术文献翻译模型,支持多种主流文档格式。

立即体验