Suppr超能文献

局部可摘义齿制作中的全数字化工作流程:病例报告。

Total digital workflow in the fabrication of a partial removable dental prostheses: A case report.

作者信息

Mendes Teresa Almeida, Marques Duarte, Lopes Luis Pires, Caramês João

机构信息

Faculdade de Medicina Dentária, Universidade de Lisboa, Lisboa, Portugal.

Instituto de Implantologia, Lisboa, Portugal.

出版信息

SAGE Open Med Case Rep. 2019 Aug 17;7:2050313X19871131. doi: 10.1177/2050313X19871131. eCollection 2019.

Abstract

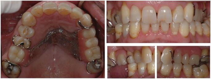
This report describes a clinical and laboratory protocol used in the fabrication of a removable partial dental prosthesis with a digital workflow in a 73-year-old patient. The metal framework was produced with a selective laser melting technique. For quality assurance and discrepancy analysis, the framework was superimposed and compared to the respective digital design file, and the printed model was also compared to the digital impression and rendered as a 3D colour map. Differences were detected in the framework on the clasp of tooth 17 (upper right second molar) and on the printed model on the interproximal surfaces of the abutments, particularly on tooth 17 and palatine area. The use of this digital workflow allowed for the achievement of an removable partial dental prosthesis with a good fit and occlusion with minimal adjustments, with the reduction of both clinical and laboratory time. Further studies are needed to gain a better understanding of these techniques.

摘要

本报告描述了一名73岁患者采用数字化工作流程制作可摘局部义齿的临床和实验室方案。金属框架采用选择性激光熔化技术制作。为了进行质量保证和差异分析,将框架进行叠加并与相应的数字设计文件进行比较,同时将打印模型与数字印模进行比较并渲染为三维彩色图。在右上第二磨牙(17号牙)卡环处的框架以及基牙邻面,特别是17号牙和腭部区域的打印模型上检测到差异。这种数字化工作流程的使用使得能够制作出贴合度和咬合良好且调整最少的可摘局部义齿,同时减少了临床和实验室时间。需要进一步研究以更好地理解这些技术。

https://cdn.ncbi.nlm.nih.gov/pmc/blobs/ae91/6699011/b6db60718c60/10.1177_2050313X19871131-fig1.jpg

文献AI研究员

20分钟写一篇综述,助力文献阅读效率提升50倍。

立即体验

用中文搜PubMed

大模型驱动的PubMed中文搜索引擎

马上搜索

文档翻译

学术文献翻译模型,支持多种主流文档格式。

立即体验