Suppr超能文献

分次剥脱性二氧化碳激光联合利多卡因喷雾对大鼠皮瓣存活的影响。

Effect of fractional ablative carbon dioxide laser with lidocaine spray on skin flap survival in rats.

作者信息

Choi Manki, Park Youngsoo, Kim Yong-Ha, Chung Kyu Jin

机构信息

Department of Plastic and Reconstructive Surgery, Yeungnam University College of Medicine, Daegu, Korea.

Iwell Plastic Surgery, Seoul, Korea.

出版信息

Arch Craniofac Surg. 2019 Aug;20(4):239-245. doi: 10.7181/acfs.2019.00381. Epub 2019 Aug 20.

Abstract

BACKGROUND

Lidocaine spray is a local anesthetic that improves random-pattern skin flap survival. The fractional ablative carbon dioxide laser (FxCL) produces vertical microchannels that delivers topically applied drugs to the skin. In this study, we hypothesized that FxCL therapy would enhance the lidocaine effect to improve random-pattern skin flap survival in rats.

METHODS

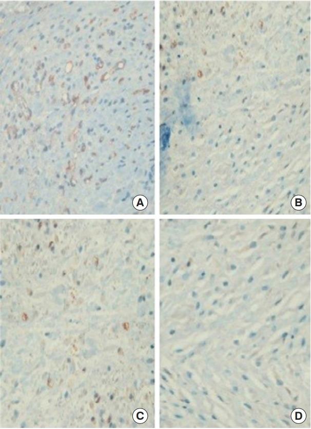
McFarlane random-pattern skin flaps were elevated in 48 rats, which were divided into four groups according to treatment: FxCL+lidocaine, FxCL, lidocaine, and nontreatment (control). On postoperative day 7, necrotic flap areas, the number of capillary vessels, and neutrophil count were evaluated. Anti-rat vascular endothelial growth factor (VEGF) and CD31 antibody activity were also evaluated by immunohistochemical staining.

RESULTS

Flap survival rate was 53.41%± 5.43%, 58.16%± 4.80%, 57.08%± 5.91%, and 69.08%±3.20% in the control, lidocaine, FxCL, and FxCL+lidocaine groups, respectively. Mean neutrophil count in the intermediate zone excluding the necrotic tissue was 41.70± 8.40, 35.43± 6.41, 37.23±7.15, and 27.20± 4.24 cells/field in the control, lidocaine, FxCL, and FxCL+lidocaine groups, respectively. Anti-rat VEGF and CD31 antibody activity were the highest in the FxCL+lidocaine group.

CONCLUSION

FxCL with lidocaine had a positive effect on random-pattern skin flap survival in rats. Thus, FxCL with lidocaine spray should be considered as a new treatment option to improve flap viability.

摘要

背景

利多卡因喷雾剂是一种局部麻醉剂,可提高随意型皮瓣的存活率。分次消融二氧化碳激光(FxCL)可产生垂直微通道,将局部应用的药物输送至皮肤。在本研究中,我们假设FxCL治疗可增强利多卡因的作用,从而提高大鼠随意型皮瓣的存活率。

方法

在48只大鼠中掀起McFarlane随意型皮瓣,根据治疗方法将其分为四组:FxCL+利多卡因组、FxCL组、利多卡因组和未治疗组(对照组)。术后第7天,评估皮瓣坏死面积、毛细血管数量和中性粒细胞计数。还通过免疫组织化学染色评估抗大鼠血管内皮生长因子(VEGF)和CD31抗体活性。

结果

对照组、利多卡因组、FxCL组和FxCL+利多卡因组的皮瓣存活率分别为69.08%±3.20%、57.08%±5.91%、58.16%±4.80%和53.41%±5.43%。在排除坏死组织的中间区域,对照组、利多卡因组、FxCL组和FxCL+利多卡因组的平均中性粒细胞计数分别为41.70±8.40、35.43±6.41、37.23±7.15和27.20±4.24个/视野。抗大鼠VEGF和CD31抗体活性在FxCL+利多卡因组中最高。

结论

FxCL联合利多卡因对大鼠随意型皮瓣存活有积极作用。因此,FxCL联合利多卡因喷雾剂应被视为提高皮瓣活力的一种新的治疗选择。

https://cdn.ncbi.nlm.nih.gov/pmc/blobs/b697/6715546/2acceb924d23/acfs-2019-00381f1.jpg

文献检索

告别复杂PubMed语法,用中文像聊天一样搜索,搜遍4000万医学文献。AI智能推荐,让科研检索更轻松。

立即免费搜索

文件翻译

保留排版,准确专业,支持PDF/Word/PPT等文件格式,支持 12+语言互译。

免费翻译文档

深度研究

AI帮你快速写综述,25分钟生成高质量综述,智能提取关键信息,辅助科研写作。

立即免费体验