Suppr超能文献

以十二指肠息肉样病变为表现的破骨细胞样巨细胞型胰腺未分化癌

Osteoclast-like Giant Cell-type Pancreatic Anaplastic Carcinoma Presenting with a Duodenal Polypoid Lesion.

作者信息

Matsubayashi Hiroyuki, Kaneko Junichi, Sato Junya, Satoh Tatsunori, Ishiwatari Hirotoshi, Sugiura Teichi, Ashida Ryo, Uesaka Katsuhiko, Sasaki Keiko, Ono Hiroyuki

机构信息

Division of Endoscopy, Shizuoka Cancer Center, Japan.

Division of Hepato-pancreaticobiliary Surgery, Shizuoka Cancer Center, Japan.

出版信息

Intern Med. 2019 Dec 15;58(24):3545-3550. doi: 10.2169/internalmedicine.3271-19. Epub 2019 Aug 28.

Abstract

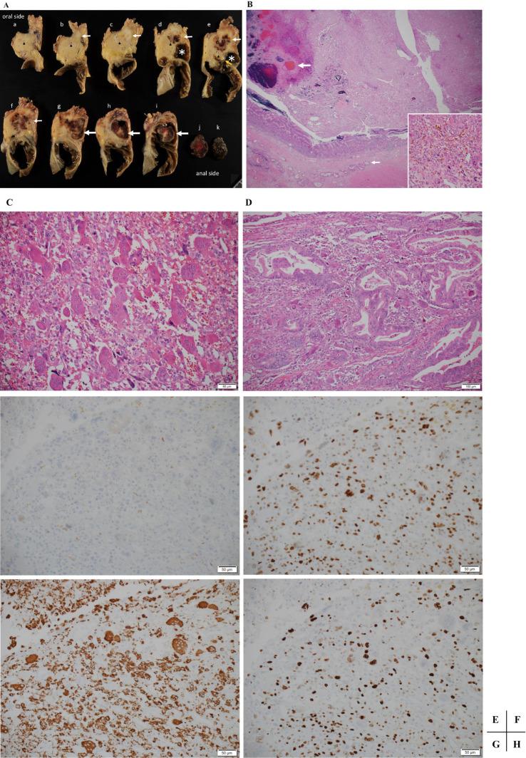
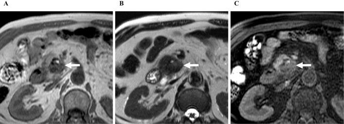
Osteoclast-like giant cell-type (OCGC) anaplastic carcinoma is a rare variant of pancreatic ductal adenocarcinoma, and its imaging characteristics and progression pattern have not been fully clarified. The patient was a 73-year-old man who had been incidentally found to have a pancreatic head tumor. Computed tomography demonstrated a 3-cm marginally enhanced mass at the pancreatic head, continuing toward the duodenum. Diffusion-weighted magnetic resonance imaging showed a retained diffusion capacity. Duodenoscopy revealed a 1.5-cm polypoid lesion, covered by a dirty coat, near the major papilla. Surgical material revealed OCGC pancreatic anaplastic carcinoma protruding to the duodenum, accompanied by multiple hemorrhagic foci and hemosiderin precipitations.

摘要

破骨细胞样巨细胞型(OCGC)间变性癌是胰腺导管腺癌的一种罕见变体,其影像学特征和进展模式尚未完全阐明。该患者为一名73岁男性,偶然发现胰头肿瘤。计算机断层扫描显示胰头有一个3厘米的边缘强化肿块,延伸至十二指肠。扩散加权磁共振成像显示扩散能力保留。十二指肠镜检查发现主乳头附近有一个1.5厘米的息肉样病变,表面有污秽物覆盖。手术材料显示OCGC胰腺间变性癌突出至十二指肠,伴有多个出血灶和含铁血黄素沉着。

https://cdn.ncbi.nlm.nih.gov/pmc/blobs/86a8/6949449/37298ca5c970/1349-7235-58-3545-g001.jpg

文献AI研究员

20分钟写一篇综述,助力文献阅读效率提升50倍。

立即体验

用中文搜PubMed

大模型驱动的PubMed中文搜索引擎

马上搜索

文档翻译

学术文献翻译模型,支持多种主流文档格式。

立即体验