Suppr超能文献

SOX9 上游重复与 46,XX 卵睾性生殖器发育障碍相关:病例报告。

A Duplication Upstream of SOX9 Associated with Negative 46,XX Ovotesticular Disorder of Sex Development: A Case Report.

机构信息

Ankara City Hospital, Children’s Hospital, Clinic of Pediatric Endocrinology, Ankara, Turkey

Gazi University Faculty of Medicine, Department of Medical Genetics, Ankara, Turkey

出版信息

J Clin Res Pediatr Endocrinol. 2020 Sep 2;12(3):308-314. doi: 10.4274/jcrpe.galenos.2019.2019.0101. Epub 2019 Sep 3.

Abstract

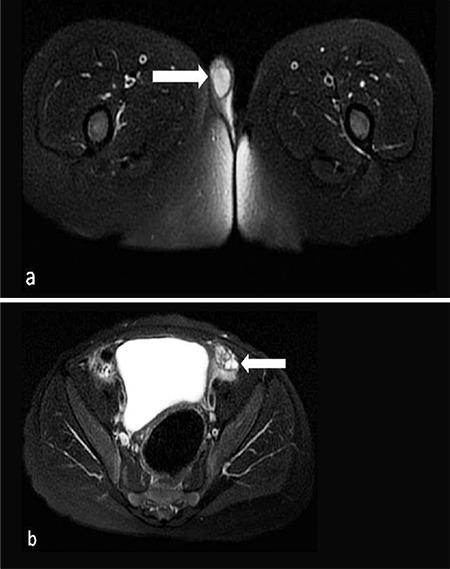
The 46,XX ovotesticular disorder of sex development (DSD) is rarely observed in humans. This disorder is generally described as ambiguous genitalia with the presence of ovarian and testicular tissues in different gonads or in the same gonad. Almost no subjects with 46,XX ovotesticular DSD have sex-determining region of the Y chromosome (SRY) gene. It is known that excessive expression of SRY-related high mobility group box 9 (SOX9) is the cause of SRY-negative 46,XX ovotesticular DSD in the absence of SRY. Here, we analyzed our SRY-negative case with 46,XX ovotesticular DSD. In an array comparative genomic hybridization study using a peripheral blood sample from the patient, a duplication of 1114 kb (Hg19 coordinates: chr17:69006280-70120619) in the region of 17q24.3 containing SOX9 was detected. This is the first case reported from Turkey, exhibiting SOX9 duplication in SRY-negative 46,XX ovotesticular DSD.

摘要

46,XX 卵睾性性发育障碍(DSD)在人类中很少见。这种疾病通常表现为生殖器模糊,在不同的性腺或同一性腺中存在卵巢和睾丸组织。几乎没有 46,XX 卵睾性 DSD 患者存在 Y 染色体性别决定区(SRY)基因。已知 SRY 相关高迁移率族蛋白 9(SOX9)的过度表达是在没有 SRY 的情况下导致 SRY 阴性 46,XX 卵睾性 DSD 的原因。在这里,我们分析了我们的 SRY 阴性 46,XX 卵睾性 DSD 病例。在使用来自患者外周血样本的阵列比较基因组杂交研究中,在包含 SOX9 的 17q24.3 区域中检测到 1114 kb 的重复(Hg19 坐标:chr17:69006280-70120619)。这是首例来自土耳其的病例,表现为 SRY 阴性 46,XX 卵睾性 DSD 中的 SOX9 重复。

https://cdn.ncbi.nlm.nih.gov/pmc/blobs/0505/7499138/7e34cbb8c2bd/JCRPE-12-308-g1.jpg

相似文献

1
A Duplication Upstream of SOX9 Associated with Negative 46,XX Ovotesticular Disorder of Sex Development: A Case Report.
J Clin Res Pediatr Endocrinol. 2020 Sep 2;12(3):308-314. doi: 10.4274/jcrpe.galenos.2019.2019.0101. Epub 2019 Sep 3.
2
Duplication of SOX9 is not a common cause of 46,XX testicular or 46,XX ovotesticular DSD.
J Pediatr Endocrinol Metab. 2012;25(1-2):121-3. doi: 10.1515/jpem.2011.370.
4
Duplication of SOX9 associated with 46,XX ovotesticular disorder of sex development.
Reprod Biomed Online. 2018 Jul;37(1):107-112. doi: 10.1016/j.rbmo.2018.03.017. Epub 2018 Apr 4.
7
Refining the regulatory region upstream of SOX9 associated with 46,XX testicular disorders of Sex Development (DSD).
Am J Med Genet A. 2015 Aug;167A(8):1851-8. doi: 10.1002/ajmg.a.37101. Epub 2015 Apr 21.
10
Disruption of a long distance regulatory region upstream of SOX9 in isolated disorders of sex development.
J Med Genet. 2011 Dec;48(12):825-30. doi: 10.1136/jmedgenet-2011-100255. Epub 2011 Nov 2.

引用本文的文献

1
Retrospective analysis of children with 46,XX testicular/ovotesticular DSD: a 10-year single-center experience.
Front Endocrinol (Lausanne). 2025 May 23;16:1571467. doi: 10.3389/fendo.2025.1571467. eCollection 2025.
2
Testicular differentiation in 46,XX DSD: an overview of genetic causes.
Front Endocrinol (Lausanne). 2024 Apr 24;15:1385901. doi: 10.3389/fendo.2024.1385901. eCollection 2024.
3
Cytogenomic Investigation of Syndromic Brazilian Patients with Differences of Sexual Development.
Diagnostics (Basel). 2023 Jun 30;13(13):2235. doi: 10.3390/diagnostics13132235.
5
Cellular fate of intersex differentiation.
Cell Death Dis. 2021 Apr 12;12(4):388. doi: 10.1038/s41419-021-03676-x.

本文引用的文献

1
Duplication of SOX9 associated with 46,XX ovotesticular disorder of sex development.
Reprod Biomed Online. 2018 Jul;37(1):107-112. doi: 10.1016/j.rbmo.2018.03.017. Epub 2018 Apr 4.
4
5
Testis development in the absence of SRY: chromosomal rearrangements at SOX9 and SOX3.
Eur J Hum Genet. 2015 Aug;23(8):1025-32. doi: 10.1038/ejhg.2014.237. Epub 2014 Nov 5.
6
Managing the risk of germ cell tumourigenesis in disorders of sex development patients.
Endocr Dev. 2014;27:185-96. doi: 10.1159/000363642. Epub 2014 Sep 9.
8
Duplication of SOX9 is not a common cause of 46,XX testicular or 46,XX ovotesticular DSD.
J Pediatr Endocrinol Metab. 2012;25(1-2):121-3. doi: 10.1515/jpem.2011.370.
9
Disruption of a long distance regulatory region upstream of SOX9 in isolated disorders of sex development.
J Med Genet. 2011 Dec;48(12):825-30. doi: 10.1136/jmedgenet-2011-100255. Epub 2011 Nov 2.

文献AI研究员

20分钟写一篇综述,助力文献阅读效率提升50倍。

立即体验

用中文搜PubMed

大模型驱动的PubMed中文搜索引擎

马上搜索

文档翻译

学术文献翻译模型,支持多种主流文档格式。

立即体验