Suppr超能文献

认识心肌桥在非阻塞性冠状动脉心肌梗死冠状动脉痉挛诊断中的意义。

The Significance of Recognizing Myocardial Bridge in the Coronary Spasm Diagnosis in Myocardial Infarction with Nonobstructive Coronary Arteries.

作者信息

Teragawa Hiroki, Oshita Chikage, Ueda Tomohiro

机构信息

Department of Cardiovascular Medicine, JR Hiroshima Hospital, Japan.

出版信息

Intern Med. 2020 Jan 1;59(1):89-92. doi: 10.2169/internalmedicine.3266-19. Epub 2019 Sep 3.

Abstract

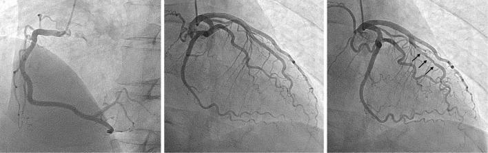
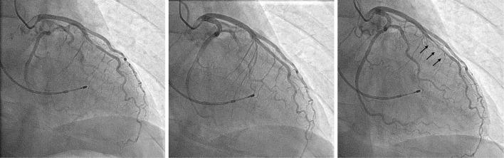
A 61-year-old man experienced chest oppression for 1 hour. He was positive for troponin T and underwent emergent coronary angiography (CAG), which did not reveal significant coronary stenosis. He was diagnosed with myocardial infarction with nonobstructive coronary arteries (MINOCA). We performed a spasm-provocation test, which revealed a focal spasm at the segment of the myocardial bridge. After receiving a calcium-channel blocker, he exhibited a good clinical course. Coronary spasm is considered an underlying cause of MINOCA; therefore, the presence of a myocardial bridge may help with the diagnosis.

摘要

一名61岁男性经历了1小时的胸部压迫感。他肌钙蛋白T呈阳性,接受了急诊冠状动脉造影(CAG),结果未显示明显的冠状动脉狭窄。他被诊断为非阻塞性冠状动脉心肌梗死(MINOCA)。我们进行了痉挛激发试验,结果显示心肌桥节段存在局灶性痉挛。在接受钙通道阻滞剂治疗后,他的临床病程良好。冠状动脉痉挛被认为是MINOCA的潜在病因;因此,心肌桥的存在可能有助于诊断。

https://cdn.ncbi.nlm.nih.gov/pmc/blobs/45aa/6995707/7a6a727f833b/1349-7235-59-0089-g001.jpg

文献检索

告别复杂PubMed语法,用中文像聊天一样搜索,搜遍4000万医学文献。AI智能推荐,让科研检索更轻松。

立即免费搜索

文件翻译

保留排版,准确专业,支持PDF/Word/PPT等文件格式,支持 12+语言互译。

免费翻译文档

深度研究

AI帮你快速写综述,25分钟生成高质量综述,智能提取关键信息,辅助科研写作。

立即免费体验