Suppr超能文献

预测C1侧块单侧矢状劈裂骨折中寰椎横韧带损伤的放射学标准。

Radiologic criteria to predict injury of the transverse atlantal ligament in unilateral sagittal split fractures of the C1 lateral mass.

作者信息

Park Heui-Jeon, Chang Dong-Gune, Park Jong-Beom, Kim Whoan Jeang, Song Kyung-Jin, Min Woo-Kie, Park Seung Chan

机构信息

Department of Orthopaedic Surgery, Yonsei University Wonju College of Medicine, Wonju.

Department of Orthopaedic Surgery, Sanggye Paik Hospital, College of Medicine, Inje University.

出版信息

Medicine (Baltimore). 2019 Sep;98(36):e17077. doi: 10.1097/MD.0000000000017077.

Abstract

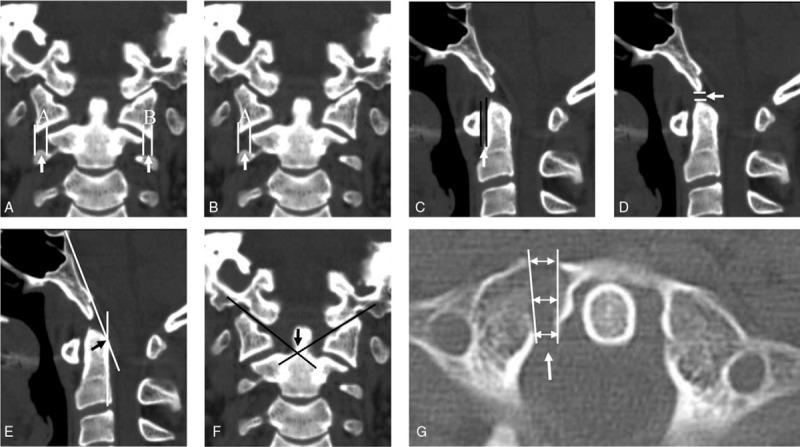
Unilateral sagittal split fracture (USSF) of the C1 lateral mass (LM) has been recently recognized as a rare variant of C1 atlas fracture. To date, there has been no study to investigate whether radiologic criteria can be applied to determine the presence or absence of transverse atlantal ligament (TAL) injury in USSF of the C1 LM.Twenty six consecutive cases of USSF of the C1 LM were included in this study. According to Dickman classification, 16 cases were TAL injury, and 10 cases were TAL intact. Radiologic parameters were measured and compared between the 2 groups.Total LM displacement (LMD) of the 2 sides (5.9 ± 2.0 mm vs 1.2 ± 2.0 mm), unilateral LMD of the fracture side (4.3 ± 1.2 mm vs 1.0 ± 1.1 mm), atlanto-dental interval (ADI) (2.0 ± 0.9 mm vs 1.5 ± 0.4 mm), and fracture gap (6.9 ± 2.7 mm vs 2.1 ± 1.1 mm) were statistically higher in the TAL injury group than the TAL intact group. However, basion-dental interval, clivus canal angle, and atlanto-occipital joint axis angle were not different between the 2 groups. Total LMD and unilateral LMD positively correlated with ADI and fracture gap. The incidence of fracture gap larger than 7 mm was statistically higher in the TAL injury group than the TAL intact group (81% vs 30%).In conclusion, total LMD > 5.9 mm or unilateral LMD > 4.3 mm suggests the presence of TAL injury in USSF of the C1 LM. The possibility of diagnostic error for TAL injury can be further reduced in USSF of the C1 LM by considering the fracture gap larger than 7 mm.

摘要

寰椎侧块单侧矢状劈裂骨折(USSF)最近被认为是寰椎骨折的一种罕见类型。迄今为止,尚无研究探讨影像学标准是否可用于判断C1侧块USSF中寰椎横韧带(TAL)损伤的有无。本研究纳入了26例连续的C1侧块USSF病例。根据迪克曼分类,16例为TAL损伤,10例为TAL完整。对两组的影像学参数进行测量和比较。TAL损伤组两侧的总侧块移位(LMD)(5.9±2.0mm对1.2±2.0mm)、骨折侧的单侧LMD(4.3±1.2mm对1.0±1.1mm)、寰齿间距(ADI)(2.0±0.9mm对1.5±0.4mm)和骨折间隙(6.9±2.7mm对2.1±1.1mm)在统计学上均高于TAL完整组。然而,两组之间的颅底齿突间距、斜坡管角度和寰枕关节轴角度并无差异。总LMD和单侧LMD与ADI和骨折间隙呈正相关。TAL损伤组骨折间隙大于7mm的发生率在统计学上高于TAL完整组(81%对30%)。总之,总LMD>5.9mm或单侧LMD>4.3mm提示C1侧块USSF中存在TAL损伤。通过考虑骨折间隙大于7mm,可进一步降低C1侧块USSF中TAL损伤的诊断错误可能性。

https://cdn.ncbi.nlm.nih.gov/pmc/blobs/28fe/6739003/91a174e3986c/medi-98-e17077-g001.jpg

文献检索

告别复杂PubMed语法,用中文像聊天一样搜索,搜遍4000万医学文献。AI智能推荐,让科研检索更轻松。

立即免费搜索

文件翻译

保留排版,准确专业,支持PDF/Word/PPT等文件格式,支持 12+语言互译。

免费翻译文档

深度研究

AI帮你快速写综述,25分钟生成高质量综述,智能提取关键信息,辅助科研写作。

立即免费体验