Suppr超能文献

右醇:一种惰性的干燥保护剂。

Dextranol: An inert xeroprotectant.

机构信息

Biostabilization Laboratory, Department of Mechanical Engineering, University of Minnesota, Minneapolis, Minnesota, United States of America.

出版信息

PLoS One. 2019 Sep 6;14(9):e0222006. doi: 10.1371/journal.pone.0222006. eCollection 2019.

Abstract

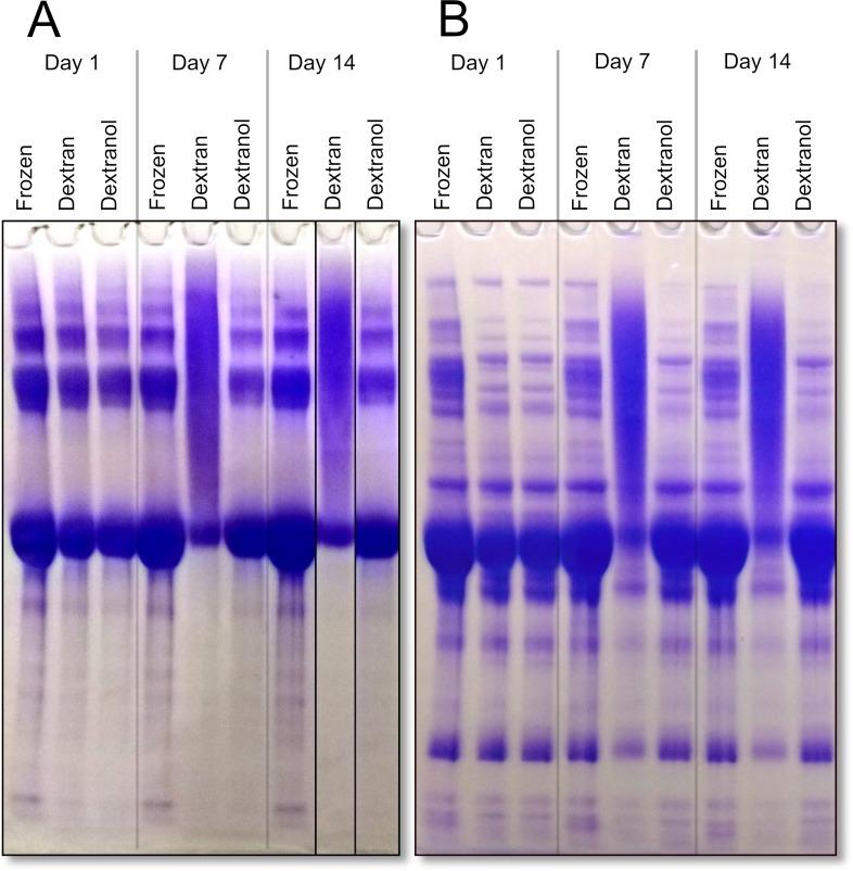
Dextranol, a reduced dextran, prevents damage to stored dry protein samples that unmodified dextran would otherwise cause. Desiccation protectants (xeroprotectants) like the polysaccharide dextran are critical for preserving dried protein samples by forming a rigid glass that protects entrapped protein molecules. Stably dried proteins are important for maintaining critical information in clinical samples like blood serum as well as maintaining activity of biologic drug compounds. However, we found that dextran reacts with both dried serum proteins and lyophilized purified proteins during storage, producing high-molecular weight Amadori-product conjugates. These conjugates appeared in a matter of days or weeks when stored at elevated temperatures (37° or 45°C), but also appeared on a timescale of months when stored at room temperature. We synthesized a less reactive dextranol by reducing dextran's anomeric carbon from an aldehyde to an alcohol. Serum samples dried in a dextranol-based matrix protected the serum proteins from forming high-molecular weight conjugates. The levels of four cancer-related serum biomarkers (prostate specific antigen, neuropilin-1, osteopontin, and matrix-metalloproteinase 7) decreased, as measured by immunoassay, when serum samples were stored for one to two weeks in dextran-based matrix. Switching to a dextranol-based xeroprotection matrix slightly reduced the damage to osteopontin and completely stopped any detectable damage during storage in the other three biomarkers when stored for a period of two weeks at 45°C. We also found that switching from dextran to dextranol in a lyophilization formulation eliminates this unwanted reaction, even at elevated temperatures. Dextranol offers a small and easy modification to dextran that significantly improves the molecule's function as a xeroprotectant by eliminating the potential for damaging protein-polysaccharide conjugation.

摘要

去甲氧基聚乙二醇,一种经还原的聚乙二醇,可防止未修饰的聚乙二醇导致储存的干燥蛋白质样品受损。像多糖聚乙二醇这样的干燥保护剂(干燥保护剂)对于通过形成刚性玻璃来保护被捕获的蛋白质分子,从而保护干燥的蛋白质样品至关重要。稳定干燥的蛋白质对于维持临床样品(如血清)中的关键信息以及保持生物药物化合物的活性非常重要。然而,我们发现聚乙二醇在储存过程中会与干燥的血清蛋白和冻干的纯化蛋白反应,产生高分子量的氨基酮糖产物缀合物。这些缀合物在高温(37°C 或 45°C)下储存时会在几天或几周内出现,但在室温下储存时也会在几个月的时间内出现。我们通过将聚乙二醇的端基碳原子从醛基还原为醇基,合成了一种反应性较低的去甲氧基聚乙二醇。基于去甲氧基聚乙二醇的基质干燥的血清样品可防止血清蛋白形成高分子量缀合物。当血清样品在基于聚乙二醇的基质中储存 1 到 2 周时,通过免疫测定法测量,四种与癌症相关的血清生物标志物(前列腺特异性抗原、神经纤毛蛋白-1、骨桥蛋白和基质金属蛋白酶 7)的水平下降。当将基于聚乙二醇的干燥保护基质切换为基于去甲氧基聚乙二醇的干燥保护基质时,即使在 45°C 下储存两周,也可轻微减少对骨桥蛋白的损害,并完全阻止其他三种生物标志物在储存过程中的任何可检测到的损害。我们还发现,即使在高温下,在冻干配方中从聚乙二醇切换到去甲氧基聚乙二醇也可以消除这种不必要的反应。去甲氧基聚乙二醇是对聚乙二醇的微小而简单的修饰,通过消除潜在的损害蛋白质-多糖缀合的可能性,可显著改善该分子作为干燥保护剂的功能。

https://cdn.ncbi.nlm.nih.gov/pmc/blobs/215e/6730909/3df14afcb615/pone.0222006.g001.jpg

文献检索

告别复杂PubMed语法,用中文像聊天一样搜索,搜遍4000万医学文献。AI智能推荐,让科研检索更轻松。

立即免费搜索

文件翻译

保留排版,准确专业,支持PDF/Word/PPT等文件格式,支持 12+语言互译。

免费翻译文档

深度研究

AI帮你快速写综述,25分钟生成高质量综述,智能提取关键信息,辅助科研写作。

立即免费体验