• 文献检索
  • 文档翻译
  • 深度研究
  • 学术资讯
  • Suppr Zotero 插件Zotero 插件
  • 邀请有礼
  • 套餐&价格
  • 历史记录
应用&插件
Suppr Zotero 插件Zotero 插件浏览器插件Mac 客户端Windows 客户端微信小程序
定价
高级版会员购买积分包购买API积分包
服务
文献检索文档翻译深度研究API 文档MCP 服务
关于我们
关于 Suppr公司介绍联系我们用户协议隐私条款
关注我们

Suppr 超能文献

核心技术专利:CN118964589B侵权必究
粤ICP备2023148730 号-1Suppr @ 2026

文献检索

告别复杂PubMed语法,用中文像聊天一样搜索,搜遍4000万医学文献。AI智能推荐,让科研检索更轻松。

立即免费搜索

文件翻译

保留排版,准确专业,支持PDF/Word/PPT等文件格式,支持 12+语言互译。

免费翻译文档

深度研究

AI帮你快速写综述,25分钟生成高质量综述,智能提取关键信息,辅助科研写作。

立即免费体验

材料诱导的静脉体支持骨管

Material-Induced Venosome-Supported Bone Tubes.

作者信息

Charbonnier Baptiste, Baradaran Aslan, Sato Daisuke, Alghamdi Osama, Zhang Zishuai, Zhang Yu-Ling, Gbureck Uwe, Gilardino Mirko, Harvey Edward, Makhoul Nicholas, Barralet Jake

机构信息

Department of Mechanical Engineering McGill University 817 Sherbrooke Street West Montreal H3A 0C3 Quebec Canada.

Experimental Surgery Division Department of Surgery Faculty of Medicine Montreal General Hospital 1650 Cedar Avenue Montreal H3G 1A4 Quebec Canada.

出版信息

Adv Sci (Weinh). 2019 Jul 1;6(17):1900844. doi: 10.1002/advs.201900844. eCollection 2019 Sep 4.

DOI:10.1002/advs.201900844
PMID:31508287
原文链接:https://pmc.ncbi.nlm.nih.gov/articles/PMC6724474/
Abstract

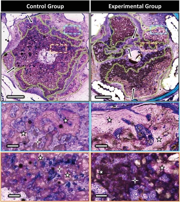
The development of alternatives to vascular bone grafts, the current clinical standard for the surgical repair of large segmental bone defects still today represents an unmet medical need. The subcutaneous formation of transplantable bone has been successfully achieved in scaffolds axially perfused by an arteriovenous loop (AVL) and seeded with bone marrow stromal cells or loaded with inductive proteins. Although demonstrating clinical potential, AVL-based approaches involve complex microsurgical techniques and thus are not in widespread use. In this study, 3D-printed microporous bioceramics, loaded with autologous total bone marrow obtained by needle aspiration, are placed around and next to an unoperated femoral vein for 8 weeks to assess the effect of a central flow-through vein on bone formation from marrow in a subcutaneous site. A greater volume of new bone tissue is observed in scaffolds perfused by a central vein compared with the nonperfused negative control. These analyses are confirmed and supplemented by calcified and decalcified histology. This is highly significant as it indicates that transplantable vascularized bone can be grown using dispensable vein and marrow tissue only. This is the first report illustrating the capacity of an intrinsic vascularization by a single vein to support ectopic bone formation from untreated marrow.

摘要

血管化骨移植替代品的研发仍是一项未被满足的医学需求,而血管化骨移植是目前用于大段骨缺损手术修复的临床标准方法。通过动静脉环(AVL)轴向灌注并接种骨髓基质细胞或加载诱导蛋白的支架已成功实现可移植骨的皮下形成。尽管基于AVL的方法显示出临床潜力,但涉及复杂的显微外科技术,因此尚未广泛应用。在本研究中,将装载通过针吸获得的自体全骨髓的3D打印微孔生物陶瓷放置在未手术的股静脉周围及旁边8周,以评估中央流通静脉对皮下部位骨髓骨形成的影响。与未灌注的阴性对照相比,在由中央静脉灌注的支架中观察到更大体积的新骨组织。这些分析通过钙化和脱钙组织学得到证实和补充。这具有高度重要性,因为它表明仅使用可舍弃的静脉和骨髓组织就可以生长出可移植的血管化骨。这是第一份说明单条静脉的内在血管化支持未处理骨髓异位骨形成能力的报告。

https://cdn.ncbi.nlm.nih.gov/pmc/blobs/2cd7/6724474/203a17505fd9/ADVS-6-1900844-g006.jpg
https://cdn.ncbi.nlm.nih.gov/pmc/blobs/2cd7/6724474/d06575e8b5fd/ADVS-6-1900844-g002.jpg
https://cdn.ncbi.nlm.nih.gov/pmc/blobs/2cd7/6724474/74ded4758c5d/ADVS-6-1900844-g003.jpg
https://cdn.ncbi.nlm.nih.gov/pmc/blobs/2cd7/6724474/24b35d67d1fe/ADVS-6-1900844-g004.jpg
https://cdn.ncbi.nlm.nih.gov/pmc/blobs/2cd7/6724474/3eacfec59e7a/ADVS-6-1900844-g005.jpg
https://cdn.ncbi.nlm.nih.gov/pmc/blobs/2cd7/6724474/203a17505fd9/ADVS-6-1900844-g006.jpg
https://cdn.ncbi.nlm.nih.gov/pmc/blobs/2cd7/6724474/d06575e8b5fd/ADVS-6-1900844-g002.jpg
https://cdn.ncbi.nlm.nih.gov/pmc/blobs/2cd7/6724474/74ded4758c5d/ADVS-6-1900844-g003.jpg
https://cdn.ncbi.nlm.nih.gov/pmc/blobs/2cd7/6724474/24b35d67d1fe/ADVS-6-1900844-g004.jpg
https://cdn.ncbi.nlm.nih.gov/pmc/blobs/2cd7/6724474/3eacfec59e7a/ADVS-6-1900844-g005.jpg
https://cdn.ncbi.nlm.nih.gov/pmc/blobs/2cd7/6724474/203a17505fd9/ADVS-6-1900844-g006.jpg

相似文献

1
Material-Induced Venosome-Supported Bone Tubes.材料诱导的静脉体支持骨管
Adv Sci (Weinh). 2019 Jul 1;6(17):1900844. doi: 10.1002/advs.201900844. eCollection 2019 Sep 4.
2
Human Umbilical Vein Endothelial Cell Support Bone Formation of Adipose-Derived Stem Cell-Loaded and 3D-Printed Osteogenic Matrices in the Arteriovenous Loop Model.人脐静脉内皮细胞在动静脉环模型中支持负载脂肪来源干细胞的3D打印成骨基质的骨形成。
Tissue Eng Part A. 2021 Mar;27(5-6):413-423. doi: 10.1089/ten.TEA.2020.0087. Epub 2020 Sep 18.
3
A tissue engineered 3D printed calcium alkali phosphate bioceramic bone graft enables vascularization and regeneration of critical-size discontinuity bony defects .一种组织工程3D打印钙碱磷酸盐生物陶瓷骨移植体能够实现临界尺寸骨缺损的血管化和再生。
Front Bioeng Biotechnol. 2023 Jun 15;11:1221314. doi: 10.3389/fbioe.2023.1221314. eCollection 2023.
4
In situ production of pre-vascularized synthetic bone grafts for regenerating critical-sized defects in rabbits.原位制备预血管化合成骨移植物用于兔临界尺寸缺损修复
Acta Biomater. 2020 Sep 15;114:384-394. doi: 10.1016/j.actbio.2020.07.030. Epub 2020 Jul 18.
5
Standardized and axially vascularized calcium phosphate-based implants for segmental mandibular defects: A promising proof of concept.用于节段性下颌骨缺损的标准化和轴向血管化磷酸钙基植入物:一个有前景的概念验证。
Acta Biomater. 2022 Dec;154:626-640. doi: 10.1016/j.actbio.2022.09.071. Epub 2022 Oct 6.
6
Engineering axially vascularized bone in the sheep arteriovenous-loop model.在羊动静脉环模型中构建轴向血管化骨。
J Tissue Eng Regen Med. 2013 Aug;7(8):654-64. doi: 10.1002/term.1457. Epub 2012 Mar 22.
7
Engineered, axially-vascularized osteogenic grafts from human adipose-derived cells to treat avascular necrosis of bone in a rat model.人脂肪来源细胞构建的轴向血管化成骨移植物治疗大鼠骨坏死模型。
Acta Biomater. 2017 Nov;63:236-245. doi: 10.1016/j.actbio.2017.09.003. Epub 2017 Sep 8.
8
Stem Cell-Seeded 3D-Printed Scaffolds Combined with Self-Assembling Peptides for Bone Defect Repair.干细胞种植的 3D 打印支架与自组装肽结合用于骨缺损修复。
Tissue Eng Part A. 2022 Feb;28(3-4):111-124. doi: 10.1089/ten.TEA.2021.0055. Epub 2021 Dec 30.
9
The impact of various scaffold components on vascularized bone constructs.各种支架成分对血管化骨构建体的影响。
J Craniomaxillofac Surg. 2017 Jun;45(6):881-890. doi: 10.1016/j.jcms.2017.02.016. Epub 2017 Feb 24.
10
Investigation of a Prevascularized Bone Graft for Large Defects in the Ovine Tibia.羊胫骨大缺损预制血管化骨移植的研究。
Tissue Eng Part A. 2021 Dec;27(23-24):1458-1469. doi: 10.1089/ten.TEA.2020.0347. Epub 2021 Jun 11.

引用本文的文献

1
Recent advancement in vascularized tissue-engineered bone based on materials design and modification.基于材料设计与改性的血管化组织工程骨的最新进展
Mater Today Bio. 2023 Nov 11;23:100858. doi: 10.1016/j.mtbio.2023.100858. eCollection 2023 Dec.
2
Intelligent Vascularized 3D/4D/5D/6D-Printed Tissue Scaffolds.智能血管化3D/4D/5D/6D打印组织支架
Nanomicro Lett. 2023 Oct 31;15(1):239. doi: 10.1007/s40820-023-01187-2.
3
3D Biomimetic Calcified Cartilaginous Callus that Induces Type H Vessels Formation and Osteoclastogenesis.

本文引用的文献

1
Prefabrication of axially vascularized bone by combining β-tricalciumphosphate, arteriovenous loop, and cell sheet technique.通过结合β-磷酸三钙、动静脉袢和细胞片技术预制轴向血管化骨。
Tissue Eng Regen Med. 2016 Oct 20;13(5):579-584. doi: 10.1007/s13770-016-9095-0. eCollection 2016 Oct.
2
The Arteriovenous Loop: Engineering of Axially Vascularized Tissue.动静脉环:轴向血管化组织的工程构建
Eur Surg Res. 2018;59(3-4):286-299. doi: 10.1159/000492417. Epub 2018 Sep 21.
3
The Role of the Immune Cells in Fracture Healing.免疫细胞在骨折愈合中的作用。
3D 仿生钙化软骨性骨痂诱导 H 型血管形成和破骨细胞生成。
Adv Sci (Weinh). 2023 Jun;10(16):e2207089. doi: 10.1002/advs.202207089. Epub 2023 Mar 31.
4
Development of Neovasculature in Axially Vascularized Calcium Phosphate Cement Scaffolds.轴向血管化磷酸钙骨水泥支架中新生血管的发育
J Funct Biomater. 2023 Feb 14;14(2):105. doi: 10.3390/jfb14020105.
5
A Composite Lactide-Mineral 3D-Printed Scaffold for Bone Repair and Regeneration.用于骨修复与再生的复合丙交酯-矿物质3D打印支架
Front Cell Dev Biol. 2021 Jul 9;9:654518. doi: 10.3389/fcell.2021.654518. eCollection 2021.
6
[Research progress of bioreactor for bone tissue engineering].[骨组织工程生物反应器的研究进展]
Zhongguo Xiu Fu Chong Jian Wai Ke Za Zhi. 2021 May 15;35(5):627-635. doi: 10.7507/1002-1892.202012083.
Curr Osteoporos Rep. 2018 Apr;16(2):138-145. doi: 10.1007/s11914-018-0423-2.
4
Bone marrow concentrate promotes bone regeneration with a suboptimal-dose of rhBMP-2.骨髓浓缩物可通过次优剂量的重组人骨形态发生蛋白-2促进骨再生。
PLoS One. 2018 Jan 18;13(1):e0191099. doi: 10.1371/journal.pone.0191099. eCollection 2018.
5
Mesenchymal stem cell-macrophage crosstalk and bone healing.间质干细胞-巨噬细胞相互作用与骨愈合。
Biomaterials. 2019 Mar;196:80-89. doi: 10.1016/j.biomaterials.2017.12.025. Epub 2018 Jan 2.
6
Role of Bone Marrow Aspirate in Orthopedic Trauma.骨髓穿刺液在骨科创伤中的作用
Orthop Clin North Am. 2017 Jul;48(3):311-321. doi: 10.1016/j.ocl.2017.03.005.
7
Bone marrow cell extract promotes the regeneration of irradiated bone.骨髓细胞提取物促进受辐照骨骼的再生。
PLoS One. 2017 May 18;12(5):e0178060. doi: 10.1371/journal.pone.0178060. eCollection 2017.
8
Repair of bone defects with prefabricated vascularized bone grafts and double-labeled bone marrow-derived mesenchymal stem cells in a rat model.预制带血管化骨移植修复骨缺损及双标记骨髓间充质干细胞在大鼠模型中的应用。
Sci Rep. 2017 Feb 2;7:39431. doi: 10.1038/srep39431.
9
Bone Formation by Sheep Stem Cells in an Ectopic Mouse Model: Comparison of Adipose and Bone Marrow Derived Cells and Identification of Donor-Derived Bone by Antibody Staining.羊干细胞在异位小鼠模型中的骨形成:脂肪来源细胞与骨髓来源细胞的比较及通过抗体染色鉴定供体来源的骨
Stem Cells Int. 2016;2016:3846971. doi: 10.1155/2016/3846971. Epub 2016 Nov 23.
10
The Arteriovenous (AV) Loop in a Small Animal Model to Study Angiogenesis and Vascularized Tissue Engineering.用于研究血管生成和血管化组织工程的小动物模型中的动静脉环
J Vis Exp. 2016 Nov 2(117):54676. doi: 10.3791/54676.