Suppr超能文献

Lymphocytic gastritis in a patient with dyspepsia.

作者信息

Collins Katrina, Rezuke William N

机构信息

Department of Pathology Hartford Hospital Hartford Connecticut.

出版信息

Clin Case Rep. 2019 Jul 21;7(9):1791-1793. doi: 10.1002/ccr3.2308. eCollection 2019 Sep.

Abstract

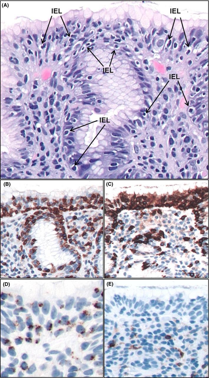
Lymphocytic gastritis (LG) is uncommon and presents histologically with a nonspecific inflammatory pattern. It is most often associated with celiac disease and gastritis and is rarely associated with other conditions including lymphoma. LG is of clinical importance since its recognition should prompt further clinical evaluation for other disorders.

摘要
https://cdn.ncbi.nlm.nih.gov/pmc/blobs/5fbf/6745353/44989dab61cf/CCR3-7-1791-g001.jpg

文献AI研究员

20分钟写一篇综述,助力文献阅读效率提升50倍。

立即体验

用中文搜PubMed

大模型驱动的PubMed中文搜索引擎

马上搜索

文档翻译

学术文献翻译模型,支持多种主流文档格式。

立即体验