• 文献检索
  • 文档翻译
  • 深度研究
  • 学术资讯
  • Suppr Zotero 插件Zotero 插件
  • 邀请有礼
  • 套餐&价格
  • 历史记录
应用&插件
Suppr Zotero 插件Zotero 插件浏览器插件Mac 客户端Windows 客户端微信小程序
定价
高级版会员购买积分包购买API积分包
服务
文献检索文档翻译深度研究API 文档MCP 服务
关于我们
关于 Suppr公司介绍联系我们用户协议隐私条款
关注我们

Suppr 超能文献

核心技术专利:CN118964589B侵权必究
粤ICP备2023148730 号-1Suppr @ 2026

文献检索

告别复杂PubMed语法,用中文像聊天一样搜索,搜遍4000万医学文献。AI智能推荐,让科研检索更轻松。

立即免费搜索

文件翻译

保留排版,准确专业,支持PDF/Word/PPT等文件格式,支持 12+语言互译。

免费翻译文档

深度研究

AI帮你快速写综述,25分钟生成高质量综述,智能提取关键信息,辅助科研写作。

立即免费体验

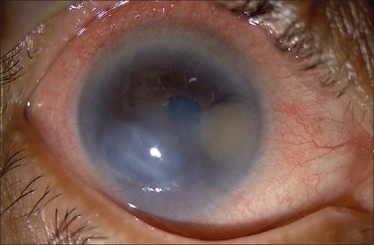
Sequelae of neglected hypermature senile cataract.

作者信息

Sahay Pranita, Goel Siddhi, Maharana Prafulla K, Sharma Namrata, Titiyal Jeewan S

机构信息

Dr. Rajendra Prasad Centre for Ophthalmic Sciences, All India Institute of Medical Sciences, New Delhi, India.

出版信息

Indian J Ophthalmol. 2019 Oct;67(10):1707-1708. doi: 10.4103/ijo.IJO_578_19.

DOI:10.4103/ijo.IJO_578_19
PMID:31546522
原文链接:https://pmc.ncbi.nlm.nih.gov/articles/PMC6786222/
Abstract
摘要
https://cdn.ncbi.nlm.nih.gov/pmc/blobs/16af/6786222/e502d2e0a594/IJO-67-1707-g002.jpg
https://cdn.ncbi.nlm.nih.gov/pmc/blobs/16af/6786222/94bf45b50b44/IJO-67-1707-g001.jpg
https://cdn.ncbi.nlm.nih.gov/pmc/blobs/16af/6786222/e502d2e0a594/IJO-67-1707-g002.jpg
https://cdn.ncbi.nlm.nih.gov/pmc/blobs/16af/6786222/94bf45b50b44/IJO-67-1707-g001.jpg
https://cdn.ncbi.nlm.nih.gov/pmc/blobs/16af/6786222/e502d2e0a594/IJO-67-1707-g002.jpg

相似文献

1
Sequelae of neglected hypermature senile cataract.未治疗的过熟期老年性白内障的后遗症
Indian J Ophthalmol. 2019 Oct;67(10):1707-1708. doi: 10.4103/ijo.IJO_578_19.
2
Lens nucleus dislocation in hypermature cataract: Case report and literature review.过熟期白内障晶状体核脱位:病例报告及文献复习。
Medicine (Baltimore). 2022 Sep 2;101(35):e30428. doi: 10.1097/MD.0000000000030428.
3
Diagnostic ophthalmology. Congenital lens luxation and secondary glaucoma.诊断眼科学。先天性晶状体脱位及继发性青光眼。
Can Vet J. 2003 May;44(5):427, 429-30.
4
Removal of a dislocated hypermature lens from the posterior vitreous.从玻璃体后部取出脱位的过熟晶状体。
Aust N Z J Ophthalmol. 1990 Feb;18(1):103-6. doi: 10.1111/j.1442-9071.1990.tb00592.x.
5
"Raw egg": Hypermature cataract with lens dislocation.
J Fr Ophtalmol. 2023 Mar;46(3):303-304. doi: 10.1016/j.jfo.2022.09.014. Epub 2023 Jan 31.
6
[A late complication of couching--phacolytic glaucoma, report of 10 cases (11 eyes)].[针拨内障术的晚期并发症——晶状体溶解性青光眼,10例(11只眼)报告]
Yan Ke Xue Bao. 1987 Jun;3(2):88-92.
7
Retained intravitreal lens fragments after cataract surgery.
Ophthalmology. 1992 Aug;99(8):1263-7; discussion 1268-9. doi: 10.1016/s0161-6420(92)31814-7.
8
Intraoperative discovery of lens dislocation in a child with Knobloch syndrome.在一名患有诺布洛克综合征的儿童中术中发现晶状体脱位。
J AAPOS. 2023 Aug;27(4):226-228. doi: 10.1016/j.jaapos.2023.04.009. Epub 2023 Jun 9.
9
Late onset lens particle glaucoma as a consequence of spontaneous dislocation of an intraocular lens in pseudoexfoliation syndrome.剥脱综合征中人工晶状体自发脱位导致的迟发性晶状体颗粒性青光眼。
Am J Ophthalmol. 2001 Aug;132(2):261-3. doi: 10.1016/s0002-9394(01)00825-x.
10
Bilateral spontaneous anterior lens dislocation in a retinitis pigmentosa patient.一名色素性视网膜炎患者双侧自发性晶状体前脱位。
Korean J Ophthalmol. 2007 Jun;21(2):124-6. doi: 10.3341/kjo.2007.21.2.124.

引用本文的文献

1
Spontaneous inverse couching.自发逆向卧置
Oman J Ophthalmol. 2025 Jun 24;18(2):255-256. doi: 10.4103/ojo.ojo_354_24. eCollection 2025 May-Aug.
2
Small incision phacoemulsification with topical anesthesia during perioperative period: nursing experience and its application.围手术期表面麻醉下小切口白内障超声乳化术:护理经验及其应用
Am J Transl Res. 2021 Aug 15;13(8):9465-9471. eCollection 2021.

本文引用的文献

1
Spontaneous rupture of the lens capsule in hypermature cataract: presentations and outcomes.过熟期白内障晶状体囊膜自发性破裂:表现及预后
Br J Ophthalmol. 2016 Aug;100(8):1081-6. doi: 10.1136/bjophthalmol-2015-307184. Epub 2015 Nov 13.
2
Sequelae of neglected senile cataract.老年性白内障未治的后遗症
Malays Fam Physician. 2013 Apr 30;8(1):33-7. eCollection 2013.
3
GLAUCOMA DUE TO HYPERMATURE CATARACT: THE USE OF UREA IN DIAGNOSIS.过熟期白内障所致青光眼:尿素在诊断中的应用
Can Med Assoc J. 1963 Sep 14;89(11):569-71.
4
Complications of hypermature cataract: spontaneous absorption of lens material and phacolytic glaucoma-associated retinal perivasculitis.
Jpn J Ophthalmol. 1988;32(1):35-40.