Suppr超能文献

巴西利什曼原虫钙蛋白酶:基因组分析、差异表达和功能分析。

Calpains of Leishmania braziliensis: genome analysis, differential expression, and functional analysis.

机构信息

Fundação Oswaldo Cruz-Fiocruz, Instituto Oswaldo Cruz, Laboratório de Estudos Integrados em Protozoologia, Rio de Janeiro, RJ, Brasil.

Fundação Oswaldo Cruz-Fiocruz, Instituto Oswaldo Cruz, Laboratório de Biologia Celular, Rio de Janeiro, RJ, Brasil.

出版信息

Mem Inst Oswaldo Cruz. 2019 Sep 23;114:e190147. doi: 10.1590/0074-02760190147. eCollection 2019.

Abstract

BACKGROUND

Calpains are proteins belonging to the multi-gene family of calcium-dependent cysteine peptidases that undergo tight on/off regulation, and uncontrolled proteolysis of calpains is associated with severe human pathologies. Calpain orthologues are expanded and diversified in the trypanosomatids genome.

OBJECTIVES

Here, we characterised calpains in Leishmania braziliensis, the main causative agent of cutaneous leishmaniasis in Brazil.

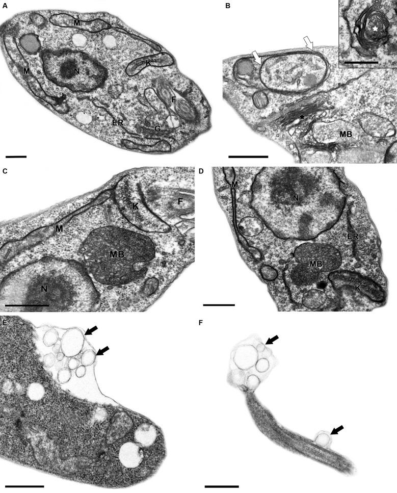
METHODS/FINDINGS: In total, 34 predicted calpain-like genes were identified. After domain structure evaluation, reverse transcription-quantitative polymerase chain reaction (RT-qPCR) during in vitro metacyclogenesis revealed (i) five genes with enhanced expression in the procyclic stage, (ii) one augmented gene in the metacyclic stage, and (iii) one procyclic-exclusive transcript. Western blot analysis revealed that an antibody against a consensus-conserved peptide reacted with multiple calpain-like proteins, which is consistent with the multi-gene family characteristic. Flow cytometry and immunocytochemistry analyses revealed the presence of calpain-like molecules mainly in the cytoplasm, to a lesser extent in the plasma membrane, and negligible levels in the nucleus, which are all consistent with calpain localisation. Eventually, the calpain inhibitor MDL28170 was used for functional studies revealing (i) a leishmaniostatic effect, (ii) a reduction in the association index in mouse macrophages, (iii) ultra-structural alterations conceivable with autophagy, and (iv) an enhanced expression of the virulence factor GP63.

CONCLUSION

This report adds novel insights into the domain structure, expression, and localisation of L. braziliensis calpain-like molecules.

摘要

背景

钙蛋白酶是一种属于多基因家族的钙依赖性半胱氨酸蛋白酶,其活性受到严格的开/关调节,钙蛋白酶的失控性蛋白水解与严重的人类病理有关。钙蛋白酶的同源物在原生动物基因组中得到了扩展和多样化。

目的

本研究旨在对巴西利什曼原虫(Leishmania braziliensis)中的钙蛋白酶进行特征描述,巴西利什曼原虫是巴西皮肤利什曼病的主要病原体。

方法/发现:共鉴定出 34 个预测的钙蛋白酶样基因。经过结构域评估后,体外诱导前鞭毛体形成过程中的反转录定量聚合酶链反应(RT-qPCR)显示(i)有 5 个基因在前鞭毛体阶段表达增强,(ii)有 1 个基因在动基体阶段表达增强,(iii)有 1 个专性前鞭毛体转录本。Western blot 分析显示,一种针对保守肽的抗体与多种钙蛋白酶样蛋白发生反应,这与多基因家族的特征一致。流式细胞术和免疫细胞化学分析显示,钙蛋白酶样分子主要存在于细胞质中,其次是质膜,核内含量可忽略不计,这与钙蛋白酶的定位一致。最后,使用钙蛋白酶抑制剂 MDL28170 进行功能研究,结果显示(i)具有抗利什曼原虫作用,(ii)减少了小鼠巨噬细胞中的关联指数,(iii)可推测存在自噬的超微结构改变,以及(iv)毒力因子 GP63 的表达增强。

结论

本报告为 L. braziliensis 钙蛋白酶样分子的结构域、表达和定位提供了新的见解。

https://cdn.ncbi.nlm.nih.gov/pmc/blobs/ff1c/6759280/e3594e7a99f0/1678-8060-mioc-114-e190147-gf1.jpg

文献检索

告别复杂PubMed语法,用中文像聊天一样搜索,搜遍4000万医学文献。AI智能推荐,让科研检索更轻松。

立即免费搜索

文件翻译

保留排版,准确专业,支持PDF/Word/PPT等文件格式,支持 12+语言互译。

免费翻译文档

深度研究

AI帮你快速写综述,25分钟生成高质量综述,智能提取关键信息,辅助科研写作。

立即免费体验