Wang Pengjun, Zhu Huaming, Lu Wen, Song Qiang, Chen Zhengnong, Wu Yaqin, Wang Hui, Yu Dongzhen, Ye Haibo, Shi Haibo, Yin Shankai
Department of Otorhinolaryngology-Head and Neck Surgery, The Sixth People's Hospital affiliated to Shanghai Jiaotong University, Shanghai, China.
Shanghai Key Laboratory of Sleep Disordered Breathing, Shanghai, China.
Front Neurol. 2019 Sep 6;10:948. doi: 10.3389/fneur.2019.00948. eCollection 2019.
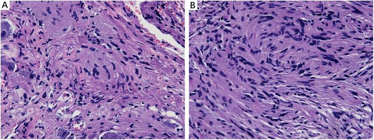
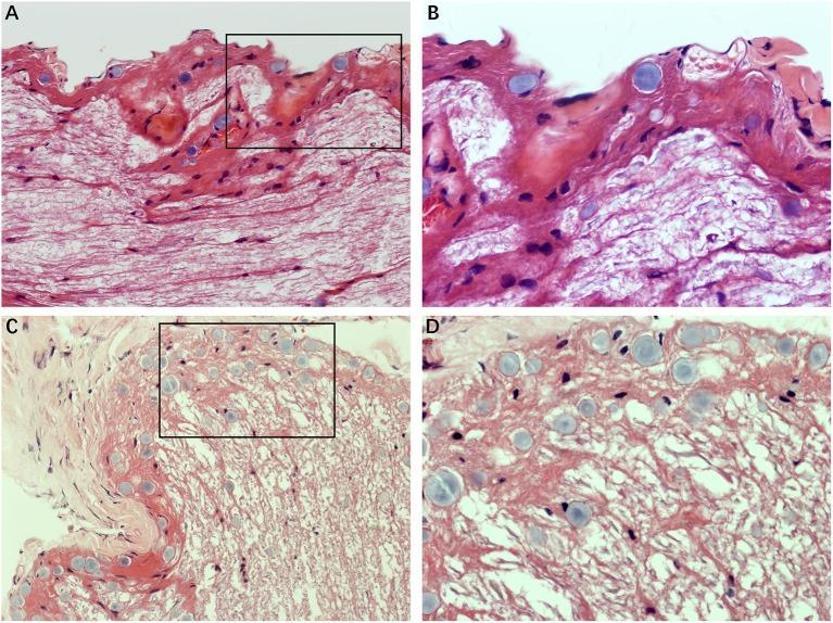
Few studies so far have focused on the retrocochlear lesions in Meniere's disease (MD). This study aims to investigate pathological alterations in the central portion of the vestibular nerve (VN) in patients with intractable Meniere's disease (MD) and to explore retrocochlear lesions and their relationship with disease severity. Eight MD patients with refractory vertigo received vestibular neurectomy via a retrosigmoid or translabyrinthine approach. Segments of VN were carefully removed and immediately fixed for histopathological examination. Five VN specimens were examined by light microscopy after hematoxylin/eosin staining; three specimens were extensively analyzed using transmission electron microscopy, to identify VN ultrastructural lesions. Correlations between lesions and patient clinical characteristics were examined. Histopathological examination revealed evidence of various types of chronic VN impairment, including the formation of corpora amylacea (CA), axon atrophy, and severe damage to the myelin sheath. Electron microscopy revealed membranous whorls within dilated Schmidt-Lanterman incisures, the formation of myeloid bodies, dysmyelination, and demyelination. Unexpectedly, we observed a positive correlation between the density of CA in VN tissue and the duration of disease, as well as the degree of hearing impairment, independent of age. Our findings indicate that deformation of subcellular organelles in the central portion of the VN is one of the key pathological indicators for the progressive severity and intractability of vertigo and support a vestibular nerve degeneration.
迄今为止,很少有研究关注梅尼埃病(MD)的蜗后病变。本研究旨在调查难治性梅尼埃病(MD)患者前庭神经(VN)中枢部分的病理改变,探讨蜗后病变及其与疾病严重程度的关系。8例难治性眩晕的MD患者通过乙状窦后或经迷路入路接受了前庭神经切除术。仔细切除VN节段并立即固定以进行组织病理学检查。5例VN标本经苏木精/伊红染色后进行光镜检查;3例标本使用透射电子显微镜进行广泛分析,以识别VN超微结构病变。检查病变与患者临床特征之间的相关性。组织病理学检查显示存在各种类型的慢性VN损伤,包括淀粉样体(CA)形成、轴突萎缩和髓鞘严重损伤。电子显微镜显示扩张的施密特-兰特尔曼切迹内有膜性涡旋、髓样小体形成、髓鞘形成异常和脱髓鞘。出乎意料的是,我们观察到VN组织中CA的密度与疾病持续时间以及听力损害程度呈正相关,与年龄无关。我们的研究结果表明,VN中枢部分亚细胞器的变形是眩晕进行性加重和难治性的关键病理指标之一,并支持前庭神经变性。