Suppr超能文献

全小肠闭锁:重新审视先天性闭锁的发病机制

Total Intestinal Atresia: Revisiting the Pathogenesis of Congenital Atresias.

作者信息

Aggerwal Neel, Sugandhi Nidhi, Kour Harshita, Chakraborty Goutam, Acharya Samir Kant, Jadhav Amit, Bagga Deepak

机构信息

Department of Pediatric Surgery, VMMC and Safdarjung Hospital, New Delhi, India.

出版信息

J Indian Assoc Pediatr Surg. 2019 Oct-Dec;24(4):303-306. doi: 10.4103/jiaps.JIAPS_204_18.

Abstract

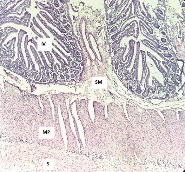
Despite various theories to explain the pathogenesis of atresias, the exact mechanism is still controversial. Currently, atresias are believed to result from vascular accidents and less likely due to the failure of recanalization. We report a case which challenges this belief. A 1-day-old neonate was explored for suspected jejunal atresia. Apart from Type III jejunal atresia, 15 cm from DJ junction, there was surprisingly no distal lumen in the intestine from jejunum till rectum. Multiple enterotomies revealed the whole of the remaining jejunum, ileum, and large colon to be a solid cord-like structure. No distal luminal contents or histopathological evidence of ischemic damage was seen, thus suggesting the probable etiology to be a failure of recanalization of the gut cord rather than a late vascular accident. Such rare cases provide insights into possible embryogenetic mechanisms which can then aid in formulating preventive measures.

摘要

尽管有各种理论来解释闭锁的发病机制,但确切机制仍存在争议。目前,人们认为闭锁是由血管意外引起的,而不太可能是由于再通失败所致。我们报告了一个挑战这一观点的病例。一名1日龄新生儿因疑似空肠闭锁接受探查。除了距十二指肠空肠交界处15厘米处的III型空肠闭锁外,从空肠到直肠的肠道中令人惊讶地没有远端管腔。多次肠切开显示,剩余的全部空肠、回肠和大肠呈坚实的索状结构。未发现远端管腔内的内容物或缺血损伤的组织病理学证据,因此提示可能的病因是肠索再通失败,而非晚期血管意外。此类罕见病例有助于深入了解可能的胚胎发生机制,进而有助于制定预防措施。

https://cdn.ncbi.nlm.nih.gov/pmc/blobs/665c/6752068/72b3928e54e0/JIAPS-24-303-g001.jpg

文献AI研究员

20分钟写一篇综述,助力文献阅读效率提升50倍。

立即体验

用中文搜PubMed

大模型驱动的PubMed中文搜索引擎

马上搜索

文档翻译

学术文献翻译模型,支持多种主流文档格式。

立即体验