Suppr超能文献

黑桑对实验性诱导牙周炎中牙槽骨丧失的影响。

The effects of morus nigra on the alveolar bone loss in experimentally-induced periodontitis.

作者信息

Yildirim Tuba Talo, Ozan Gonca, Dundar Serkan, Bozoglan Alihan, Karaman Tahir, Dildes Neval, Kaya Can Ayhan, Kaya Nalan, Erdem Elif

机构信息

Department of Periodontology, Faculty of Dentistry, Firat University,Elazig, Turkey.

Department of Biochemistry, Faculty of Veterinary Medicine, Firat University,Elazig, Turkey.

出版信息

Eur Oral Res. 2019 Sep;53(3):99-105. doi: 10.26650/eor.20190021. Epub 2019 Sep 1.

Abstract

PURPOSE

The aim of this study is to evalute the anti-inflammatory effects of morus migra on experimentally-induced periodontitis in rats.

MATERIALS AND METHODS

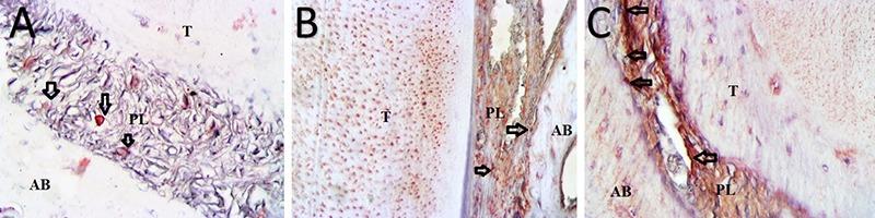
Twenty-four Wistar-albino rats were randomly divided into three groups: control group (C, n=8), experimental periodontitis (PER, n=8), experimental periodontitis and treated with Morus nigra (MN+PER, n=8) (50 mg/kg per day for 21 days). After 21 days, the rats were sacrificed, and alveolar bones were evaluated histopathologically and histometrically analyzed to obtain level of alveolar bone loss. The detection of RANKL and OPG were immunohistochemically performed. Serum and tissue levels of MMP-8 and MMP-13 were also analyzed.

RESULTS

Morus nigra treatment decreased tissue MMP-8 and MMP-13 levels and there were significant differences in the case of tissue levels of MMP-8 and MMP-13 between groups PER and MN+PER (p=0.035, p=0.041). There were no significant differences among all the groups serum levels of MMP-8 and MMP-13 (p=0.067, p=0.082). In the histometric evaluation, alveolar bone loss was greater in the PER group compared to C and MN groups (p=0.035). Immuno-histochemical staining of RANKL activities were found significantly lower (p=0.037) and OPG activities were found significantly higher in MN+PER group when compared to PER group (p=0.021).

CONCLUSION

The present study reveals that systemic administration of Morus nigra significantly inhibited the regional alveolar bone resorption and contributes to periodontal healing in the rat experimental-periodontitis models.

摘要

目的

本研究旨在评估黑桑对实验性诱导的大鼠牙周炎的抗炎作用。

材料与方法

将24只Wistar白化大鼠随机分为三组:对照组(C,n = 8)、实验性牙周炎组(PER,n = 8)、实验性牙周炎并用黑桑治疗组(MN + PER,n = 8)(每天50 mg/kg,共21天)。21天后,处死大鼠,对牙槽骨进行组织病理学评估和组织计量学分析,以获得牙槽骨吸收水平。采用免疫组织化学法检测RANKL和OPG。还分析了血清和组织中MMP - 8和MMP - 13的水平。

结果

黑桑治疗降低了组织中MMP - 8和MMP - 13的水平,PER组和MN + PER组之间在MMP - 8和MMP - 13的组织水平上存在显著差异(p = 0.035,p = 0.041)。所有组之间MMP - 8和MMP - 13的血清水平无显著差异(p = 0.067,p = 0.082)。在组织计量学评估中,与C组和MN组相比,PER组的牙槽骨吸收更大(p = 0.035)。与PER组相比,MN + PER组中RANKL活性的免疫组织化学染色显著降低(p = 0.037),OPG活性显著升高(p = 0.021)。

结论

本研究表明,在大鼠实验性牙周炎模型中,全身给予黑桑可显著抑制局部牙槽骨吸收,并有助于牙周愈合。

https://cdn.ncbi.nlm.nih.gov/pmc/blobs/5b34/6761488/e71be77ff755/eor-053-099-e002.jpg

文献AI研究员

20分钟写一篇综述,助力文献阅读效率提升50倍。

立即体验

用中文搜PubMed

大模型驱动的PubMed中文搜索引擎

马上搜索

文档翻译

学术文献翻译模型,支持多种主流文档格式。

立即体验