Suppr超能文献

轻链相关性肾脏疾病中尿轻链的结构分析及透明管型的蛋白质组学分析

Structural analysis of urinary light chains and proteomic analysis of hyaline tubular casts in light chain associated kidney disorders.

作者信息

Reiter Thomas, Knafl Daniela, Agis Hermine, Mechtler Karl, Wagner Ludwig, Winnicki Wolfgang

机构信息

Department of Medicine III, Division of Nephrology and Dialysis, Medical University of Vienna, Vienna, Austria.

Department of Medicine I, Division of Oncology, Medical University of Vienna, Vienna, Austria.

出版信息

PeerJ. 2019 Oct 2;7:e7819. doi: 10.7717/peerj.7819. eCollection 2019.

Abstract

BACKGROUND

Monoclonal overproduction of kappa and/or lambda light chains might result in renal light chain deposition disease. Light chain associated cast nephropathy and renal AL-amyloidosis represent two further pathologies going along with monoclonal gammopathy of renal significance and multiple myeloma. While cast nephropathy often manifests with acute kidney injury, AL-amyloidosis is rather accompanied with chronic kidney disease.

METHODS

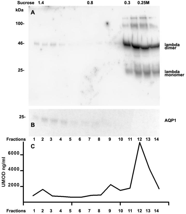
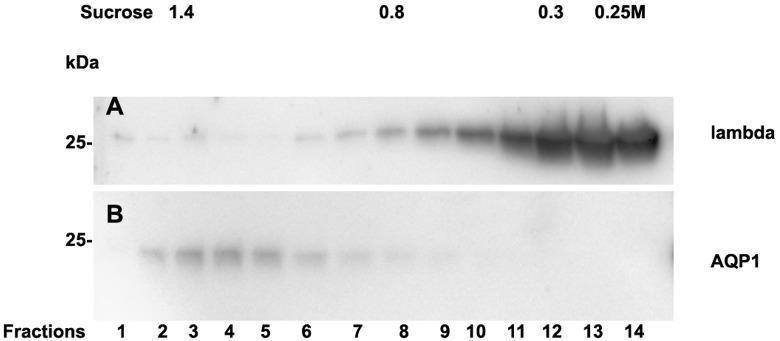
Urine samples were collected from 17 patients with multiple myeloma or monoclonal gammopathy. The urine sediment was stained for cast morphology by H/E and light chain immunofluorescence. Following micro-selection of casts under microscope, proteomic analysis of casts was performed by mass spectrometry. Sucrose gradient sedimentation was employed and light chain architecture examined by immunoblotting. Uromodulin was measured by ELISA in sucrose gradient fractions.

RESULTS

Urinary casts were observed of about 30 µm in diameter by H/E staining and under immunofluorescence microscopy. Casts with a diameter of 20 µm were observed as a novel variant. Proteome analysis showed that in addition to the expected light chain variants produced by the malignant clone of plasma cells, also histones such as H2B and cathepsin B were contained. Uromodulin was not detectable in urinary casts of all patients. All eleven patients with lambda light chains showed predominant dimerized light chains in the urine immunoblot. Six patients with kappa light chains presented with predominantly monomeric forms of light chains in the immunoblot. The densitometric evaluated ratio of lambda dimers vs. monomers was significantly higher (2.12 ± 0.75) when compared with the ratio of kappa dimers vs. monomers (0.64 ± 0.47),  = 0.00001. Aggregates of light chains separated in part into denser sucrose fractions.

CONCLUSION

This work on urinary casts and light chains demonstrates that hyaline tubular casts represent a complex formation of protein-protein aggregates with histones and cathepsin B identified as novel cast components. Apart from the proteomic composition of the casts, also the formation of the light chains and aggregates is of relevance. Dimerized light chains, which are typical for lambda paraproteins, might be less dialyzable than monomeric forms and may therefore identify patients less responsive to high cut-off dialysis.

摘要

背景

κ和/或λ轻链的单克隆过度产生可能导致肾轻链沉积病。轻链相关性管型肾病和肾AL淀粉样变性是另外两种与具有肾意义的单克隆丙种球蛋白病和多发性骨髓瘤相关的病理情况。管型肾病常表现为急性肾损伤,而AL淀粉样变性则常伴有慢性肾脏病。

方法

收集了17例多发性骨髓瘤或单克隆丙种球蛋白病患者的尿液样本。尿沉渣经苏木精-伊红(H/E)染色和轻链免疫荧光染色以观察管型形态。在显微镜下对管型进行微量选择后, 采用质谱法对管型进行蛋白质组学分析。采用蔗糖梯度沉降法,并通过免疫印迹法检测轻链结构。通过酶联免疫吸附测定法(ELISA)检测蔗糖梯度级分中的尿调节素。

结果

通过H/E染色和免疫荧光显微镜观察到尿中管型直径约为30μm。观察到直径为20μm的管型为一种新的变体。蛋白质组分析表明,除了浆细胞恶性克隆产生的预期轻链变体之外,管型中还含有组蛋白如H2B和组织蛋白酶B。在所有患者的尿管型中均未检测到尿调节素。所有11例λ轻链患者在尿免疫印迹中均显示主要为二聚化轻链。6例κ轻链患者在免疫印迹中主要表现为单体形式的轻链。与κ二聚体与单体的比率(0.64±0.47)相比,λ二聚体与单体的光密度评估比率显著更高(2.12±0.75),P = 0.00001。轻链聚集体部分分离到密度更高的蔗糖级分中。

结论

这项关于尿管型和轻链的研究表明,透明管型是一种蛋白质-蛋白质聚集体的复杂形成物,其中组蛋白和组织蛋白酶B被鉴定为新的管型成分。除了管型的蛋白质组组成外,轻链和聚集体的形成也具有相关性。λ副蛋白典型的二聚化轻链可能比单体形式的轻链更不易透析,因此可能识别出对高通量透析反应较差的患者。

https://cdn.ncbi.nlm.nih.gov/pmc/blobs/4cd4/6778432/b404f0e95de6/peerj-07-7819-g001.jpg

文献AI研究员

20分钟写一篇综述,助力文献阅读效率提升50倍。

立即体验

用中文搜PubMed

大模型驱动的PubMed中文搜索引擎

马上搜索

文档翻译

学术文献翻译模型,支持多种主流文档格式。

立即体验