Suppr超能文献

一名72岁绝经后患者的27千克巨大卵巢黏液性囊腺瘤:病例报告

A 27-kg Giant Ovarian Mucinous Cystadenoma in a 72-Year-Old Postmenopausal Patient: A Case Report.

作者信息

Akhras Lama Nathem, Akhras Lana Nathem, Faroog Saifudheen, AlSebay Lamiaa

机构信息

College of Medicine, Alfaisal University, Riyadh, Saudi Arabia.

Department of Obstetrics and Gynecology, Specialized Medical Center Hospital, Riyadh, Saudi Arabia.

出版信息

Am J Case Rep. 2019 Nov 1;20:1601-1606. doi: 10.12659/AJCR.917490.

Abstract

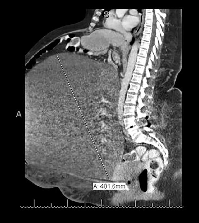
BACKGROUND Mucinous cystadenoma is a benign cystic ovarian tumor arising from the surface epithelium of the ovary; it usually presents with vague, unspecific abdominal symptoms. If not detected early, they have the potential to grow to a substantial size and can present with huge abdominal distention leading to various compression symptoms. Mucinous cystadenomas most commonly occur in the third to sixth decades of life, and rarely occur in extremes of age. The reported incidence of giant ovarian cystadenoma in postmenopausal women is low or relatively unknown due to widespread use of ultrasound and other radiological imaging modalities these days. Here, we report a case of giant mucinous cystadenoma in a 72-year-old postmenopausal woman with multiple comorbidities. CASE REPORT We present the case of a 72-year-old postmenopausal high-risk patient who presented with a huge abdominal distention which started gradually 1 year before. Abdominopelvic ultrasound showed a left giant multiloculated abdominal cyst. An intact 27-kg ovarian cyst was removed, and a total abdominal hysterectomy (TAH) along with bilateral salpingo-oophorectomy (BSO) was performed. The final histopathological report showed a benign ovarian mucinous cystadenoma. CONCLUSIONS Mucinous cystadenoma is a benign neoplastic disease that can reach a massive size. They are rare in the postmenopausal age group, but when they do occur, they pose a diagnostic and therapeutic challenge. This case report highlights the importance of early detection and management of adnexal masses in postmenopausal high-risk patients to decrease preoperative and postoperative complications and improve quality of life.

摘要

背景

黏液性囊腺瘤是一种起源于卵巢表面上皮的良性囊性卵巢肿瘤;通常表现为模糊、非特异性的腹部症状。如果未早期发现,它们有可能生长到很大的尺寸,并可出现巨大的腹部膨隆,导致各种压迫症状。黏液性囊腺瘤最常发生在30至60岁之间,在极端年龄时很少发生。由于如今超声和其他放射成像方式的广泛应用,绝经后妇女中巨大卵巢囊腺瘤的报告发病率较低或相对未知。在此,我们报告一例72岁绝经后患有多种合并症的巨大黏液性囊腺瘤病例。病例报告:我们呈现一例72岁绝经后高危患者的病例,该患者出现巨大腹部膨隆,始于1年前并逐渐加重。腹盆腔超声显示左下腹巨大多房性囊肿。切除了一个完整的27千克卵巢囊肿,并进行了全腹子宫切除术(TAH)及双侧输卵管卵巢切除术(BSO)。最终组织病理学报告显示为良性卵巢黏液性囊腺瘤。结论:黏液性囊腺瘤是一种可长得很大的良性肿瘤性疾病。它们在绝经后年龄组中罕见,但一旦发生,会带来诊断和治疗挑战。本病例报告强调了在绝经后高危患者中早期发现和处理附件肿块对于减少术前和术后并发症以及改善生活质量的重要性。

https://cdn.ncbi.nlm.nih.gov/pmc/blobs/0f00/6849502/0b429f1bfe3d/amjcaserep-20-1601-g001.jpg

文献AI研究员

20分钟写一篇综述,助力文献阅读效率提升50倍。

立即体验

用中文搜PubMed

大模型驱动的PubMed中文搜索引擎

马上搜索

文档翻译

学术文献翻译模型,支持多种主流文档格式。

立即体验