Suppr超能文献

Pulmonary embolism with abdominal pain as the chief complaint: A case report and literature review.

作者信息

Han Yu, Gong Yuxin

机构信息

The Second Clinical Institute, Southern Medical University.

Department of Respiratory, Zhujiang Hospital of Southern Medical University, Guangzhou, China.

出版信息

Medicine (Baltimore). 2019 Nov;98(44):e17791. doi: 10.1097/MD.0000000000017791.

Abstract

RATIONALE

Pulmonary embolism (PE) is one of the serious cardiopulmonary diseases that can endanger life. Early diagnosis and timely treatment are key factors to reduce its high mortality rate. Abdominal pain is not currently included in the symptoms of PE in textbooks and guidelines.

PATIENT CONCERNS

A 49-year-old man was hospitalized for an exacerbation of right upper quadrant abdominal pain and sudden left upper quadrant pain that lasted for 2 hours.

DIAGNOSES

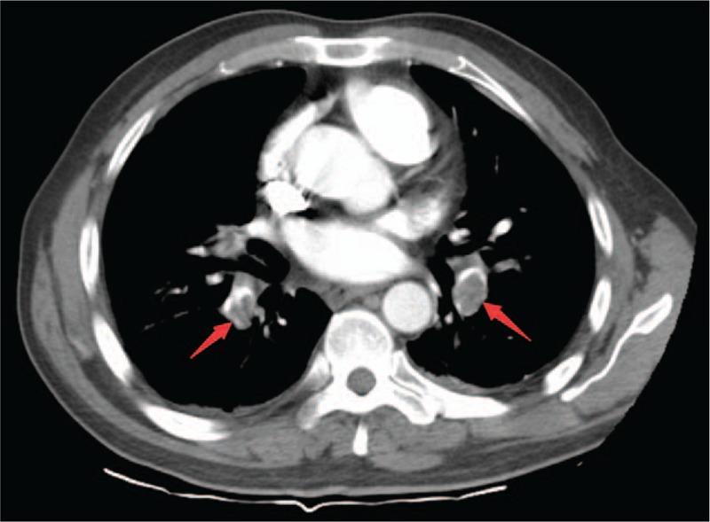
The patient was initially misdiagnosed as cholecystitis and pneumonia, and later was diagnosed as PE by computed tomography pulmonary angiography (CTPA).

INTERVENTIONS

The patient received low molecular weight heparin for anticoagulant therapy.

OUTCOMES

His abdominal pain disappeared after one week. The patient was later discharged.

LESSONS

Sometimes abdominal pain may be the only manifestation of PE. However, most clinicians do not think of the possibility of PE in patients with abdominal pain. This might have contributed greatly to the rate of misdiagnosis of PE in the past. We hope to improve the alertness of the diagnosis of PE in clinical practice. In patients with abdominal pain, the possibility of PE should be considered to avoid mis- or under-diagnosis.

摘要
https://cdn.ncbi.nlm.nih.gov/pmc/blobs/1ae3/6946195/97a7500b7409/medi-98-e17791-g001.jpg

文献AI研究员

20分钟写一篇综述,助力文献阅读效率提升50倍。

立即体验

用中文搜PubMed

大模型驱动的PubMed中文搜索引擎

马上搜索

文档翻译

学术文献翻译模型,支持多种主流文档格式。

立即体验