Suppr超能文献

外展对闭合复位治疗的晚发性髋关节发育不良患者股骨骨骺缺血性坏死的影响:59例髋关节的MRI研究

Effect of abduction on avascular necrosis of the femoral epiphysis in patients with late-detected developmental dysplasia of the hip treated by closed reduction: a MRI study of 59 hips.

作者信息

Liu Y H, Xu H W, Li Y Q, Hong K, Li J C, Pereira B, Xun F X, Canavese F

机构信息

Department of Pediatric Orthopedics, GuangZhou Women and Children's Medical Center, Guangzhou, China.

Department of Pediatric Orthopedic Surgery, University Hospital Estaing, Clermont Ferrand, France.

出版信息

J Child Orthop. 2019 Oct 1;13(5):438-444. doi: 10.1302/1863-2548.13.190045.

Abstract

PURPOSE

The purpose of this study was to explore whether increasing the hip abduction angle would increase the incidence of avascular necrosis (AVN) in patients with late- detected developmental dysplasia of the hip (DDH) treated by closed reduction (CR) and spica cast immobilization.

METHODS

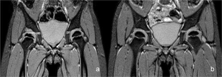
A total of 55 patients (59 hips) with late-detected DDH underwent MRI after CR. Hip abduction angle and hip joint distance were measured on postoperative MRI transverse sections. The acetabular index and centre-edge angle were measured on plain radiographs at the last follow-up. The presence of AVN according to Kalamchi and McEwen's classification was assessed. We retrospectively analyzed the associations among abduction angles, hip joint distances, radiographic parameters, AVN and final outcomes, exploring the relationship between hip joint abduction angle and AVN rate.

RESULTS

The mean age at the time of CR was 14.4 months SD 5.5 (6 to 28), and the mean follow-up was 26.2 months SD 8.1 (12.4 to 41.7). The mean hip abduction angle was 70.2° SD 7.2° (53° to 85°) on the dislocated side and 63.7° SD 8.8° (40° to 82°) on the normal side; the mean hip joint distance was 5.1 mm SD 1.9 (1.3 to 9.1) on the dislocated side and 2.2 mm SD 0.6 on the normal side (1.3 to 3.3). Eight of 59 hips (13.6%) developed AVN. Neither the amount of abduction nor hip joint distance increased the AVN rate (p = 0.97 and p = 0.65, respectively) or the dislocation rate (p = 0.38 and p = 0.14, respectively).

CONCLUSION

Abduction angle up to 70.2° following CR did not increase the AVN rate in children aged six to 28 months with late-detected DDH treated by CR.

LEVEL OF EVIDENCE

III.

摘要

目的

本研究旨在探讨增加髋关节外展角度是否会增加通过闭合复位(CR)及人字石膏固定治疗的晚发性发育性髋关节发育不良(DDH)患者的股骨头缺血性坏死(AVN)发生率。

方法

共有55例(59髋)晚发性DDH患者在CR术后接受了MRI检查。在术后MRI横断面上测量髋关节外展角度和髋关节间距。在末次随访时通过X线平片测量髋臼指数和中心边缘角。根据Kalamchi和McEwen分类评估AVN的存在情况。我们回顾性分析了外展角度、髋关节间距、影像学参数、AVN及最终结果之间的关联,探讨髋关节外展角度与AVN发生率之间的关系。

结果

CR时的平均年龄为14.4个月,标准差为5.5(6至28个月),平均随访时间为26.2个月,标准差为8.1(12.4至41.7个月)。患侧髋关节平均外展角度为70.2°,标准差为7.2°(53°至85°),健侧为63.7°,标准差为8.8°(40°至82°);患侧髋关节平均间距为5.1mm,标准差为1.9(1.3至9.1mm),健侧为2.2mm,标准差为0.6(1.3至3.3mm)。59髋中有8髋(13.6%)发生了AVN。外展程度和髋关节间距均未增加AVN发生率(p值分别为0.97和0.65)或脱位率(p值分别为0.38和0.14)。

结论

对于6至28个月大、通过CR治疗的晚发性DDH患儿,CR后外展角度达70.2°并未增加AVN发生率。

证据级别

III级。

https://cdn.ncbi.nlm.nih.gov/pmc/blobs/5533/6808074/8cde47a74f55/jco-13-438-g0001.jpg

相似文献

2
Avascular necrosis predictive factors after closed reduction in patients with developmental dysplasia of the hip.
J Res Med Sci. 2023 Nov 30;28:81. doi: 10.4103/jrms.jrms_288_23. eCollection 2023.
5
Dynamic versus static cast immobilization in children aged 6 to 24 months with developmental dysplasia of the hip treated by closed reduction.
Minerva Pediatr (Torino). 2024 Oct;76(5):619-626. doi: 10.23736/S2724-5276.21.06268-6. Epub 2021 Oct 21.
7
Risk factors for avascular necrosis after closed reduction for developmental dysplasia of the hip.
J Child Orthop. 2016 Jun;10(3):185-92. doi: 10.1007/s11832-016-0743-7. Epub 2016 May 13.
8
Closed reduction and dynamic cast immobilization in patients with developmental dysplasia of the hip between 6 and 24 months of age.
Eur J Orthop Surg Traumatol. 2019 Jan;29(1):51-57. doi: 10.1007/s00590-018-2289-5. Epub 2018 Aug 3.
9
Risk factors associated with unsatisfactory hip function in children with late-diagnosed developmental dislocation of the hip treated by open reduction.
Orthop Traumatol Surg Res. 2020 Nov;106(7):1373-1381. doi: 10.1016/j.otsr.2020.03.018. Epub 2020 Jun 19.

本文引用的文献

1
MRI in Postreduction Evaluation of Developmental Dysplasia of the Hip: Our Experience.
J Pediatr Orthop. 2019 Oct;39(9):449-452. doi: 10.1097/BPO.0000000000001037.
3
Closed reduction and dynamic cast immobilization in patients with developmental dysplasia of the hip between 6 and 24 months of age.
Eur J Orthop Surg Traumatol. 2019 Jan;29(1):51-57. doi: 10.1007/s00590-018-2289-5. Epub 2018 Aug 3.
7
Avascular necrosis following closed reduction for treatment of developmental dysplasia of the hip: a systematic review.
J Child Orthop. 2016 Dec;10(6):627-632. doi: 10.1007/s11832-016-0776-y. Epub 2016 Nov 3.
8
Risk factors for avascular necrosis after closed reduction for developmental dysplasia of the hip.
J Child Orthop. 2016 Jun;10(3):185-92. doi: 10.1007/s11832-016-0743-7. Epub 2016 May 13.
9
10
Evidence-based management of developmental dysplasia of the hip.
Orthop Clin North Am. 2014 Jul;45(3):341-54. doi: 10.1016/j.ocl.2014.03.005.

文献AI研究员

20分钟写一篇综述,助力文献阅读效率提升50倍。

立即体验

用中文搜PubMed

大模型驱动的PubMed中文搜索引擎

马上搜索

文档翻译

学术文献翻译模型,支持多种主流文档格式。

立即体验