Suppr超能文献

一例主要由透明细胞构成的原发性透明细胞型肝细胞癌。

A case of primary clear cell hepatocellular carcinoma comprised mostly of clear cells.

作者信息

Kokubo Reiji, Saito Kazuhiro, Shirota Natsuhiko, Wakabayashi Yukari, Tsuchida Akihiko, Nagai Takeshi, Nagao Toshitaka

机构信息

Department of Radiology, Tokyo Medical University, 6-7-1 Nishi-shinjuku, Shinjuku-ku, Tokyo 160-0023, Japan.

Department of Radiology, Kohsei Chuo General Hospital, 1-11-7 Mita, Meguro-ku, Tokyo 153-0062, Japan.

出版信息

Radiol Case Rep. 2019 Sep 16;14(11):1377-1381. doi: 10.1016/j.radcr.2019.08.021. eCollection 2019 Nov.

Abstract

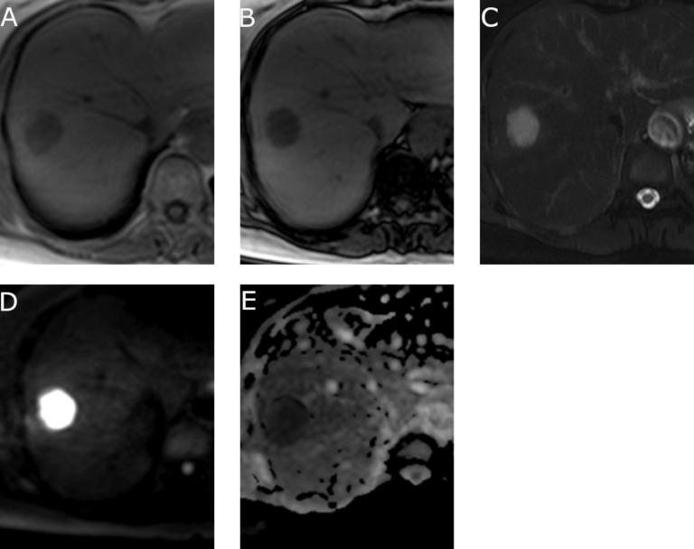
Clear cell hepatocellular carcinoma (CHCC) is defined as a tumor which contains more than 50% of clear cells. However, CHCC with more than 90% of clear cells are extremely rare. We report a case of a 65-year-old woman who was found to have a solitary mass, which was histologically diagnosed as clear cell hepatocellular carcinoma composed of 90% or more clear cells. The tumor presented rim arterial phase hyperenhancement in computed tomography, magnetic resonance imaging, and computed tomography during hepatic arteriography, and was classified as LR-M category according to The Liver Imaging Reporting and Data System version 2018(LI-RADS v2018). This tumor may mimic other tumors with similar radiographic features, such as intrahepatic cholangiocellular carcinoma and metastatic tumor.

摘要

透明细胞型肝细胞癌(CHCC)被定义为透明细胞占比超过50%的肿瘤。然而,透明细胞占比超过90%的CHCC极为罕见。我们报告一例65岁女性病例,该患者被发现有一个孤立性肿块,经组织学诊断为透明细胞型肝细胞癌,其中透明细胞占90%或更多。该肿瘤在计算机断层扫描、磁共振成像以及肝动脉造影计算机断层扫描中表现为动脉期边缘强化,根据《肝脏影像报告和数据系统》2018版(LI-RADS v2018)被分类为LR-M类别。该肿瘤可能会与其他具有相似影像学特征的肿瘤相混淆,如肝内胆管细胞癌和转移瘤。

https://cdn.ncbi.nlm.nih.gov/pmc/blobs/2e85/6823767/d165e866a9f1/gr1.jpg

文献AI研究员

20分钟写一篇综述,助力文献阅读效率提升50倍。

立即体验

用中文搜PubMed

大模型驱动的PubMed中文搜索引擎

马上搜索

文档翻译

学术文献翻译模型,支持多种主流文档格式。

立即体验