Suppr超能文献

日本鹌鹑盲肠发育过程中的细胞成分:形态学、形态计量学、免疫组织化学和电子显微镜研究。

Cellular elements in the developing caecum of Japanese quail (Coturnix coturnix japonica): morphological, morphometrical, immunohistochemical and electron-microscopic studies.

机构信息

Department of Zoology, Faculty of Science, Assiut University, Assiut, Egypt.

Department of Anatomy and Histology, Faculty of Vet. Medicine, Assiut University, Assiut, Egypt.

出版信息

Sci Rep. 2019 Nov 7;9(1):16241. doi: 10.1038/s41598-019-52335-x.

Abstract

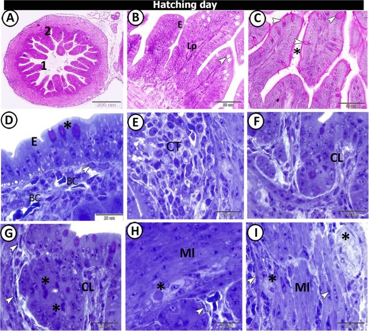
The present study aims to investigate the histological, histochemical and electron microscopic changes of the caecal proximal part of Japanese quail during both pre- and post-hatching periods starting from the 2 embryonic day (ED) until four weeks post-hatching. On the 2 and 3 ED, the primordia of caeca appeared as bilateral swelling on the wall of the hindgut. On the 7 ED, the lamina propria/submucosa contained the primordia of glands. On the 8 ED, rodlet cells could be observed amongst the epithelial cells. On the 9 ED, the caeca began to divide into three parts with more developed layers. With age, the height and number of villi increased. On the 13 ED, immature microfold cells (M-cells) could be identified between the surface epithelium of the villi. The caecal tonsils (CTs) appeared in the form of aggregations of lymphocytes, macrophages, dendritic cells and different types of leukocytes. Telocytes and crypts of Lieberkuhn were observed at this age. On hatching day, the crypts of Lieberkuhn were well-defined and formed of low columnar epithelium, goblet cells, and enteroendocrine cells. Post-hatching, the lumen was filled with villi that exhibited two forms: (1) tongue-shaped villi with tonsils and (2) finger-shaped ones without tonsils. The villi lining epithelium contained simple columnar cells with microvilli that were dispersed with many goblet cells, in addition to the presence of a high number of intra-epithelial lymphocytes and basophils. Moreover, the submucosa was infiltrated by numerous immune cells. CD3 immunomarker was expressed in intraepithelial lymphocytes, while CD20 immunomarker showed focal positivity in CTs. In conclusion, the caecal immune structures of quails at post-hatching were more developed than those in pre-hatching life. The high frequency of immune cells suggests that this proximal part may be a site for immunological surveillance in the quail caecum. The cellular organisation of the caecum and its relation to the immunity was discussed.

摘要

本研究旨在探讨日本鹌鹑孵化前后近端盲肠的组织学、组织化学和电子显微镜变化,从第 2 天胚龄(ED)到孵化后 4 周。在第 2 和 3 天 ED,盲肠的原基出现在后肠壁的双侧肿胀。在第 7 天 ED,固有层/黏膜下层包含腺体的原基。在第 8 天 ED,可以观察到上皮细胞中的杆状细胞。在第 9 天 ED,盲肠开始分为三部分,并且具有更发达的层。随着年龄的增长,绒毛的高度和数量增加。在第 13 天 ED,可以在绒毛的表面上皮之间识别未成熟的微褶皱细胞(M 细胞)。盲肠扁桃体(CT)以淋巴细胞、巨噬细胞、树突状细胞和不同类型的白细胞聚集的形式出现。在这个年龄还观察到 Telocytes 和 Lieberkuhn 隐窝。在孵化日,Lieberkuhn 隐窝清晰可见,由低柱状上皮、杯状细胞和肠内分泌细胞组成。孵化后,腔充满了具有两种形式的绒毛:(1)带有扁桃体的舌形绒毛,(2)无扁桃体的指状绒毛。绒毛衬里上皮含有具有微绒毛的简单柱状细胞,散布着许多杯状细胞,此外还存在大量上皮内淋巴细胞和嗜碱性粒细胞。此外,黏膜下层被大量免疫细胞浸润。CD3 免疫标志物在上皮内淋巴细胞中表达,而 CD20 免疫标志物在 CT 中呈局灶性阳性。总之,鹌鹑孵化后的盲肠免疫结构比孵化前更发达。免疫细胞的高频率表明,近端部分可能是鹌鹑盲肠免疫监测的部位。讨论了盲肠的细胞组织及其与免疫的关系。

https://cdn.ncbi.nlm.nih.gov/pmc/blobs/8ad3/6838329/f85e88b455e8/41598_2019_52335_Fig1_HTML.jpg

文献AI研究员

20分钟写一篇综述,助力文献阅读效率提升50倍。

立即体验

用中文搜PubMed

大模型驱动的PubMed中文搜索引擎

马上搜索

文档翻译

学术文献翻译模型,支持多种主流文档格式。

立即体验