Suppr超能文献

婴儿轻度头部外伤后右侧大脑中动脉梗死:病例报告及文献综述

Right middle cerebral artery infarct after minor head trauma in an infant: Case report and literature review.

作者信息

Khalid Md Tauseef, Chan Derrick W S, Tan Enrica E K, Seow Wan Tew, Ng Lee Ping, Low David C Y, Low Sharon Y Y

机构信息

Neurosurgical Service, KK Women's and Children's Hospital, 100 Bukit Timah Road, 229899, Singapore.

Neurology Service, Department of Pediatrics, KK Women's and Children's Hospital, 100 Bukit Timah Roa, 229899, Singapore.

出版信息

Int J Pediatr Adolesc Med. 2019 Sep;6(3):121-124. doi: 10.1016/j.ijpam.2019.05.005. Epub 2019 May 28.

Abstract

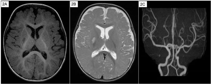
Ishaemic stroke (IS) in the paediatric population is extremely rare. In this age group, the occurrence of IS often concurs with underlying congenital heart disease, haematological, metabolic or immunological conditions. In contrast, the association between IS and minor head injury in children has been sparse in current literature. The authors report a case of a healthy 9-month-old male who was found to have a right middle cerebral artery territory infarct after a minor head injury. An extensive medical workup was performed, and it was negative for any previously undiagnosed co-morbidities. Given the paucity of such cases, the condition and its management are discussed in corroboration with current literature.

摘要

缺血性中风(IS)在儿科人群中极为罕见。在这个年龄组中,IS的发生常常与潜在的先天性心脏病、血液学、代谢或免疫性疾病同时出现。相比之下,目前文献中关于儿童IS与轻度头部损伤之间的关联很少。作者报告了一例健康的9个月大男性病例,该患儿在轻度头部损伤后被发现右侧大脑中动脉区域梗死。进行了全面的医学检查,未发现任何先前未诊断出的合并症。鉴于此类病例较少,结合当前文献对该病症及其治疗进行了讨论。

https://cdn.ncbi.nlm.nih.gov/pmc/blobs/b8fa/6824157/1ad14e208329/egi10G04MF9NP5.jpg

文献检索

告别复杂PubMed语法,用中文像聊天一样搜索,搜遍4000万医学文献。AI智能推荐,让科研检索更轻松。

立即免费搜索

文件翻译

保留排版,准确专业,支持PDF/Word/PPT等文件格式,支持 12+语言互译。

免费翻译文档

深度研究

AI帮你快速写综述,25分钟生成高质量综述,智能提取关键信息,辅助科研写作。

立即免费体验