Suppr超能文献

在椎动脉高位走行的患者中使用徒手技术对三种不同替代C2螺钉置入的准确性评估

Accuracy evaluation of placements of three different alternative C2 screws using the freehand technique in patients with high riding vertebral artery.

作者信息

Park Jong-Hyeok, Lee Jong Beom, Lee Ho Jin, Kim Il Sup, Hong Jae Taek

机构信息

Department of Neurosurgery, Incheon St. Mary's Hospital, The Catholic University of Korea, Seoul.

Department of Neurosurgery, Chungbuk National University Hospital, Cheongju.

出版信息

Medicine (Baltimore). 2019 Nov;98(46):e17891. doi: 10.1097/MD.0000000000017891.

Abstract

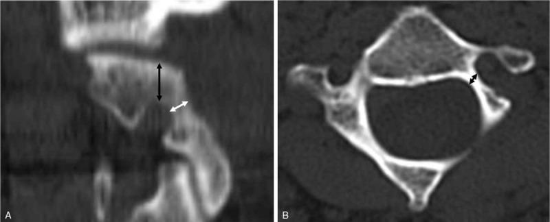
An observational study.To evaluate the safeties of placing three different alternative C2 screws using the freehand technique under high riding vertebral artery (HRVA) and to analyze the C2 morphometry in patients with HRVA.A retrospective analysis of radiologic data was performed on patients that underwent C2 instrumentation from September 2004 to December 2017. Two hundred fifty-one patients were included, and 90 of these patients (35.9%) had a unilateral or bilateral HRVA. We placed three alternative C2 screws including superior pars, inferior pars, and translaminar screws. Computed tomography was used to assess cortical breeches of screw placement and obtain morphometric measurements of C2 pars and lamina, that is, superior pars height/length, inferior pars length, and laminar thickness/length. We used the modification of the all India Institute of Medical Sciences outcome to define cortical breach.In total, 117 alternative C2 screws were inserted in 90 patients; 7 superior pars screws (6%), 69 inferior pars screws (59.0%), and 41 translaminar (35%) screws. Although cortical breaches occurred during 31 screw placements (26.5%), these were unacceptable in only two cases (1.7%). No symptomatic neurovascular complication was observed after screw placement in any case. Mean height of C2 superior pars was 3.8 ± 1.8 mm and mean thickness of C2 lamina was 5.2 ± 1.1 mm. Mean lengths of superior pars, inferior pars, and lamina were 17.8 ± 3.0 mm, 13.6 ± 2.2 mm, and 26.7 ± 3.3 mm, respectively. Superior pars height and lamina thickness < 3.5 mm that was a minimal diameter of cervical screw were 49.6% and 6.8%, alternative C2 screw was not available in these cases.Placements of alternative C2 screws using the freehand technique were achieved accurately and safely in patients with HRVA. However, preoperative morphometric evaluation is essential to determine the best option for C2 instrumentation and C2 screw length to avoid neurovascular complications.

摘要

一项观察性研究。旨在评估在高位椎动脉(HRVA)情况下徒手置入三种不同替代C2螺钉的安全性,并分析HRVA患者的C2形态学。对2004年9月至2017年12月期间接受C2器械植入的患者的放射学数据进行回顾性分析。共纳入251例患者,其中90例(35.9%)有单侧或双侧HRVA。我们置入了三种替代C2螺钉,包括上关节突螺钉、下关节突螺钉和椎板螺钉。使用计算机断层扫描评估螺钉置入的皮质骨穿透情况,并获取C2关节突和椎板的形态学测量值,即上关节突高度/长度、下关节突长度和椎板厚度/长度。我们采用全印度医学科学研究所结果的改良版来定义皮质骨穿透。

总共在90例患者中置入了117枚替代C2螺钉;7枚上关节突螺钉(6%)、69枚下关节突螺钉(59.0%)和41枚椎板螺钉(35%)。尽管在31次螺钉置入过程中发生了皮质骨穿透(26.5%),但只有2例(1.7%)是不可接受的。在任何情况下,螺钉置入后均未观察到有症状的神经血管并发症。C2上关节突的平均高度为3.8±1.8mm,C2椎板的平均厚度为5.2±1.1mm。上关节突、下关节突和椎板的平均长度分别为17.8±3.0mm、13.6±2.2mm和26.7±3.3mm。上关节突高度和椎板厚度<3.5mm(这是颈椎螺钉的最小直径)的情况分别为49.6%和6.8%,在这些情况下无法使用替代C2螺钉。

在HRVA患者中,徒手置入替代C2螺钉能够准确且安全地完成。然而,术前形态学评估对于确定C2器械植入的最佳方案和C2螺钉长度以避免神经血管并发症至关重要。

https://cdn.ncbi.nlm.nih.gov/pmc/blobs/6abb/6867729/afc94eca6489/medi-98-e17891-g001.jpg

文献AI研究员

20分钟写一篇综述,助力文献阅读效率提升50倍。

立即体验

用中文搜PubMed

大模型驱动的PubMed中文搜索引擎

马上搜索

文档翻译

学术文献翻译模型,支持多种主流文档格式。

立即体验