• 文献检索
  • 文档翻译
  • 深度研究
  • 学术资讯
  • Suppr Zotero 插件Zotero 插件
  • 邀请有礼
  • 套餐&价格
  • 历史记录
应用&插件
Suppr Zotero 插件Zotero 插件浏览器插件Mac 客户端Windows 客户端微信小程序
定价
高级版会员购买积分包购买API积分包
服务
文献检索文档翻译深度研究API 文档MCP 服务
关于我们
关于 Suppr公司介绍联系我们用户协议隐私条款
关注我们

Suppr 超能文献

核心技术专利:CN118964589B侵权必究
粤ICP备2023148730 号-1Suppr @ 2026

文献检索

告别复杂PubMed语法,用中文像聊天一样搜索,搜遍4000万医学文献。AI智能推荐,让科研检索更轻松。

立即免费搜索

文件翻译

保留排版,准确专业,支持PDF/Word/PPT等文件格式,支持 12+语言互译。

免费翻译文档

深度研究

AI帮你快速写综述,25分钟生成高质量综述,智能提取关键信息,辅助科研写作。

立即免费体验

巨大左房海绵状血管瘤1例报告

Large left atrial cavernous hemangioma, a case report.

作者信息

Xu Jian, Piao Hulin, Wang Duo, Wang Yong, Li Bo, Wang Tiance, Zhu Zhicheng, Li Dan, Xu Rihao, Liu Kexiang

机构信息

Department of Cardiovascular Surgery, Second Hospital of Bethune, Jilin University, No. 218 Ziqiang Street, Changchun, 130022, China.

出版信息

J Cardiothorac Surg. 2019 Nov 15;14(1):199. doi: 10.1186/s13019-019-1005-9.

DOI:10.1186/s13019-019-1005-9
PMID:31730003
原文链接:https://pmc.ncbi.nlm.nih.gov/articles/PMC6858712/
Abstract

BACKGROUND

Cardiac cavernous hemangiomas are extremely rare and usually difficult to be diagnosed for being asymptomatic.

CASE PRESENTATION

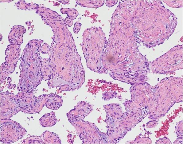
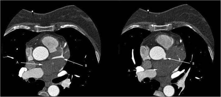
An asymptomatic 56-year-old woman was hospitalized due to a heart mass found by chest computed tomography (CT) during her annual physical examination. Coronary computed tomography angiography (CTA) disclosed a tumorous lesion, located in the left atrial roof and extended to the posterior wall of the aortic root and surrounding the left main coronary artery. However, there was no communicating branches between the hemangioma and coronary artery and no coronary artery stenosis. The tumor was excised with low-frequency electrocautery under cardiopulmonary bypass. The histopathological examination indicated the mass a cavernous hemangioma. The patient was discharged with an uneventful recovery.

CONCLUSIONS

Here we presented a rare case of successfully excision of a cavernous hemangioma involving the left atrial roof and left coronary artery. We advocate adequate exposure and complete surgical excision with low-frequency electrocautery to avoid remnants and excessive resection.

摘要

背景

心脏海绵状血管瘤极为罕见,通常因无症状而难以诊断。

病例介绍

一名56岁无症状女性因年度体检时胸部计算机断层扫描(CT)发现心脏肿物而住院。冠状动脉计算机断层扫描血管造影(CTA)显示一个肿瘤性病变,位于左心房顶部,延伸至主动脉根部后壁并包绕左冠状动脉主干。然而,血管瘤与冠状动脉之间无交通支,也无冠状动脉狭窄。在体外循环下用低频电灼切除肿瘤。组织病理学检查显示肿物为海绵状血管瘤。患者康复顺利出院。

结论

我们在此报告了一例成功切除累及左心房顶部和左冠状动脉的海绵状血管瘤的罕见病例。我们主张充分暴露并采用低频电灼进行完整手术切除,以避免残留和过度切除。

https://cdn.ncbi.nlm.nih.gov/pmc/blobs/292f/6858712/08b975e4ea7e/13019_2019_1005_Fig5_HTML.jpg
https://cdn.ncbi.nlm.nih.gov/pmc/blobs/292f/6858712/2cb42b2ae783/13019_2019_1005_Fig1_HTML.jpg
https://cdn.ncbi.nlm.nih.gov/pmc/blobs/292f/6858712/b4a64d49f09b/13019_2019_1005_Fig2_HTML.jpg
https://cdn.ncbi.nlm.nih.gov/pmc/blobs/292f/6858712/b8dd05c6a539/13019_2019_1005_Fig3_HTML.jpg
https://cdn.ncbi.nlm.nih.gov/pmc/blobs/292f/6858712/c8d753b7b31f/13019_2019_1005_Fig4_HTML.jpg
https://cdn.ncbi.nlm.nih.gov/pmc/blobs/292f/6858712/08b975e4ea7e/13019_2019_1005_Fig5_HTML.jpg
https://cdn.ncbi.nlm.nih.gov/pmc/blobs/292f/6858712/2cb42b2ae783/13019_2019_1005_Fig1_HTML.jpg
https://cdn.ncbi.nlm.nih.gov/pmc/blobs/292f/6858712/b4a64d49f09b/13019_2019_1005_Fig2_HTML.jpg
https://cdn.ncbi.nlm.nih.gov/pmc/blobs/292f/6858712/b8dd05c6a539/13019_2019_1005_Fig3_HTML.jpg
https://cdn.ncbi.nlm.nih.gov/pmc/blobs/292f/6858712/c8d753b7b31f/13019_2019_1005_Fig4_HTML.jpg
https://cdn.ncbi.nlm.nih.gov/pmc/blobs/292f/6858712/08b975e4ea7e/13019_2019_1005_Fig5_HTML.jpg

相似文献

1
Large left atrial cavernous hemangioma, a case report.巨大左房海绵状血管瘤1例报告
J Cardiothorac Surg. 2019 Nov 15;14(1):199. doi: 10.1186/s13019-019-1005-9.
2
[A case report of cavernous hemangioma of the left atrial epicardium].[左房心外膜海绵状血管瘤一例报告]
Kyobu Geka. 1998 Nov;51(12):1027-9.
3
A Giant Cardiac Cavernous Hemangioma Involving the Left Atrial Roof in an Elderly Woman.一名老年女性的巨大心脏海绵状血管瘤累及左心房顶部
Ann Thorac Cardiovasc Surg. 2019 Feb 20;25(1):60-63. doi: 10.5761/atcs.cr.17-00125. Epub 2018 Feb 16.
4
[Cavernous hemangioma of the right cardiac chamber;report of a case].[右心腔海绵状血管瘤;一例报告]
Kyobu Geka. 2015 Apr;68(4):314-6.
5
Cavernous hemangioma of the mitral valve in an adult male patient successfully treated with surgical resection: a case report.成年男性患者二尖瓣海绵状血管瘤经手术切除成功治疗:一例报告
J Heart Valve Dis. 2014 Sep;23(5):662-4.
6
An unusual case of a large cavernous hemangioma invading the left ventricular apex.一个巨大海绵状血管瘤侵犯左心室心尖的不寻常病例。
Ann Thorac Surg. 2011 Feb;91(2):602-3. doi: 10.1016/j.athoracsur.2010.07.087.
7
A massive right atrial cavernous hemangioma.
J Card Surg. 2011 May;26(3):295. doi: 10.1111/j.1540-8191.2010.01186.x. Epub 2011 Jan 14.
8
Surgical Resection of Primary Cardiac Cavernous Hemangioma: A Case Report.原发性心脏海绵状血管瘤的手术切除:一例报告
Heart Surg Forum. 2022 Nov 30;25(5):E753-E755. doi: 10.1532/hsf.4969.
9
Epicardial cavernous hemangioma: a two-case report.心外膜海绵状血管瘤:两例报告
Tunis Med. 2014 Apr;92(4):268-71.
10
Surgical treatment of a cavernous haemangioma of the heart.心脏海绵状血管瘤的外科治疗。
Eur J Cardiothorac Surg. 2012 May;41(5):1182-3. doi: 10.1093/ejcts/ezr153. Epub 2011 Dec 21.

引用本文的文献

1
Cardiac hemangioma presenting as a primary cardiac tumor.表现为原发性心脏肿瘤的心脏血管瘤。
Cardiooncology. 2023 Jan 17;9(1):3. doi: 10.1186/s40959-023-00154-5.

本文引用的文献

1
Cardiac cavernous haemangioma: diagnosis and treatment.
ANZ J Surg. 2014 Apr;84(4):294-5. doi: 10.1111/ans.12256. Epub 2013 Oct 29.
2
Sudden death owing to right atrial hemangioma.右心房血管瘤导致的猝死。
J Forensic Sci. 2011 Mar;56(2):529-30. doi: 10.1111/j.1556-4029.2010.01667.x. Epub 2011 Jan 25.
3
Cardiac cavernous haemangioma.心脏海绵状血管瘤。
Heart Lung Circ. 2011 Mar;20(3):197-201. doi: 10.1016/j.hlc.2010.08.013. Epub 2010 Sep 28.
4
Cardiac autotransplantation for removal of left atrial hemangioma and a review of the literature.用于切除左心房血管瘤的心脏自体移植及文献综述。
Heart Surg Forum. 2009 Oct;12(5):E279-84. doi: 10.1532/HSF98.20091027.
5
Cavernous hemangioma in the junction between the left atrium and the aorta: case report.左心房与主动脉交界处海绵状血管瘤:病例报告
Heart Surg Forum. 2005;8(1):E72-4. doi: 10.1532/HSF98.20041124.
6
Asymptomatic right atrial cavernous hemangioma: a case report and review of the literature.无症状性右房海绵状血管瘤:一例报告并文献复习
Cardiovasc Pathol. 2004 Nov-Dec;13(6):341-4. doi: 10.1016/j.carpath.2004.09.001.
7
Surgical treatment of a cavernous hemangioma of the left atrial roof.左心房顶部海绵状血管瘤的外科治疗
Eur J Cardiothorac Surg. 2001 Sep;20(3):633-5. doi: 10.1016/s1010-7940(01)00856-9.