• 文献检索
  • 文档翻译
  • 深度研究
  • 学术资讯
  • Suppr Zotero 插件Zotero 插件
  • 邀请有礼
  • 套餐&价格
  • 历史记录
应用&插件
Suppr Zotero 插件Zotero 插件浏览器插件Mac 客户端Windows 客户端微信小程序
定价
高级版会员购买积分包购买API积分包
服务
文献检索文档翻译深度研究API 文档MCP 服务
关于我们
关于 Suppr公司介绍联系我们用户协议隐私条款
关注我们

Suppr 超能文献

核心技术专利:CN118964589B侵权必究
粤ICP备2023148730 号-1Suppr @ 2026

文献检索

告别复杂PubMed语法,用中文像聊天一样搜索,搜遍4000万医学文献。AI智能推荐,让科研检索更轻松。

立即免费搜索

文件翻译

保留排版,准确专业,支持PDF/Word/PPT等文件格式,支持 12+语言互译。

免费翻译文档

深度研究

AI帮你快速写综述,25分钟生成高质量综述,智能提取关键信息,辅助科研写作。

立即免费体验

用氰基丙烯酸正丁酯闭塞胆皮瘘

Bilio-cutaneous fistula obliteration with NBCA.

作者信息

Bottari Antonio, Silipigni Salvatore, Stagno Alberto, Caloggero Simona

机构信息

Department of Biomedical and Dental Sciences and Morphofunctional Imaging, University of Messina, Messina, Italy.

Department of Diagnostic Imaging and Radiotherapy, University Hospital "G. Martino", Messina, Italy.

出版信息

Indian J Radiol Imaging. 2019 Jul-Sep;29(3):310-312. doi: 10.4103/ijri.IJRI_16_19. Epub 2019 Oct 30.

DOI:10.4103/ijri.IJRI_16_19
PMID:31741601
原文链接:https://pmc.ncbi.nlm.nih.gov/articles/PMC6857264/
Abstract

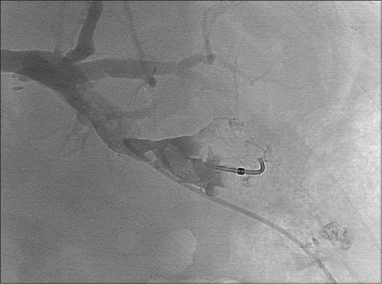
Biliary fistula and bile leakage are complications that can occur during hepato-biliary surgery (both open and laparoscopic) and percutaneous biliary intervention. In some cases, spontaneous resolution is documented but more often re-intervention (surgical or percutaneous) is necessary. We present the case of a male patient who underwent right hepatectomy with bilio-digestive anastomosis for a cholangiocarcinoma which developed a bilo-cutaneous fistula through the path of a previously inserted percutaneous transhepatic drainage. Sealing of bilo-cutaneous fistula was obtained using N-butil-Cyanoacrylate. This technique has already been reported in some papers as a useful tool for biliary tree obliteration; however, to our knowledge, no cases describing the use of glue to seal a sub-cutaneous route are available in literature.

摘要

胆瘘和胆汁渗漏是肝胆手术(包括开腹手术和腹腔镜手术)及经皮胆道介入治疗过程中可能出现的并发症。在某些情况下,有自发缓解的记录,但更常见的是需要再次干预(手术或经皮介入)。我们报告一例男性患者,该患者因胆管癌接受了右肝切除术并进行了胆肠吻合术,术后通过先前插入的经皮经肝引流通道形成了胆皮瘘。使用N-丁基-氰基丙烯酸酯封闭了胆皮瘘。该技术在一些文献中已有报道,是用于闭塞胆道树的一种有用工具;然而,据我们所知,文献中尚无使用胶水封闭皮下通道的病例。

https://cdn.ncbi.nlm.nih.gov/pmc/blobs/0349/6857264/216f5ef6a2f8/IJRI-29-310-g003.jpg
https://cdn.ncbi.nlm.nih.gov/pmc/blobs/0349/6857264/403091b9f9da/IJRI-29-310-g001.jpg
https://cdn.ncbi.nlm.nih.gov/pmc/blobs/0349/6857264/1783c489ce51/IJRI-29-310-g002.jpg
https://cdn.ncbi.nlm.nih.gov/pmc/blobs/0349/6857264/216f5ef6a2f8/IJRI-29-310-g003.jpg
https://cdn.ncbi.nlm.nih.gov/pmc/blobs/0349/6857264/403091b9f9da/IJRI-29-310-g001.jpg
https://cdn.ncbi.nlm.nih.gov/pmc/blobs/0349/6857264/1783c489ce51/IJRI-29-310-g002.jpg
https://cdn.ncbi.nlm.nih.gov/pmc/blobs/0349/6857264/216f5ef6a2f8/IJRI-29-310-g003.jpg

相似文献

1
Bilio-cutaneous fistula obliteration with NBCA.用氰基丙烯酸正丁酯闭塞胆皮瘘
Indian J Radiol Imaging. 2019 Jul-Sep;29(3):310-312. doi: 10.4103/ijri.IJRI_16_19. Epub 2019 Oct 30.
2
Embolization of extrahepatic biliary leakage using NBCA.使用NBCA栓塞肝外胆管渗漏
Radiol Case Rep. 2021 Apr 1;16(6):1315-1319. doi: 10.1016/j.radcr.2021.03.005. eCollection 2021 Jun.
3
Transhepatic Tract Embolisation After Biliary Intervention Using n-Butyl Cyanoacrylate and Autologous Blood: A Retrospective Analysis of 42 Patients.经皮肝穿刺胆道介入治疗后使用正丁基氰基丙烯酸酯和自体血进行经肝动脉栓塞治疗:42 例患者的回顾性分析。
Cardiovasc Intervent Radiol. 2019 Aug;42(8):1199-1203. doi: 10.1007/s00270-019-02237-2. Epub 2019 May 9.
4
Percutaneous Obliteration of Urinary Leakage after Partial Nephrectomy Using N-Butyl-Cyanoacrylate Obliteration of the Urinoma with or without Coil Embolization of the Fistula Tract.经皮使用 N-丁基氰基丙烯酸酯对肾部分切除术后尿漏进行闭塞术:对尿囊采用单纯闭塞或联合瘘道弹簧圈栓塞。
J Vasc Interv Radiol. 2019 Dec;30(12):2002-2008. doi: 10.1016/j.jvir.2019.05.019. Epub 2019 Aug 13.
5
Placement of an internal-external biliary drain through a bilio-enteric fistula in a neonate to re-establish antegrade bile flow after liver transplantation.通过新生儿胆肠瘘放置内外胆道引流管,以在肝移植后重建胆汁顺行流动。
Pediatr Transplant. 2014 Nov;18(7):E236-9. doi: 10.1111/petr.12336. Epub 2014 Aug 19.
6
Safety and efficacy of the percutaneous treatment of bile leaks in hepaticojejunostomy or split-liver transplantation without dilatation of the biliary tree.肝空肠吻合术或劈离式肝移植中不经胆道扩张经皮治疗胆漏的安全性和有效性
Liver Transpl. 2008 May;14(5):611-5. doi: 10.1002/lt.21416.
7
Percutaneous Treatment of Intrahepatic Biliary Leak: A Modified Occlusion Balloon Technique.经皮治疗肝内胆汁漏:一种改良的封堵球囊技术。
Cardiovasc Intervent Radiol. 2016 May;39(5):773-777. doi: 10.1007/s00270-015-1234-9. Epub 2015 Nov 5.
8
Biliary duct ablation with N-butyl cyanoacrylate.用氰基丙烯酸正丁酯进行胆管消融。
J Vasc Interv Radiol. 2006 Jan;17(1):63-9. doi: 10.1097/01.RVI.0000195399.68445.DD.
9
Percutaneous transhepatic biliary drainage for bile leaks and fistulas.经皮经肝胆道引流治疗胆漏和胆瘘。
AJR Am J Roentgenol. 1985 May;144(5):1055-8. doi: 10.2214/ajr.144.5.1055.
10
Pleural dissemination of cholangiocarcinoma caused by percutaneous transhepatic biliary drainage during the management of resectable cholangiocarcinoma.经皮经肝胆道引流术治疗可切除性胆管细胞癌过程中引发的胆管细胞癌胸膜播散。
Surgery. 2019 May;165(5):912-917. doi: 10.1016/j.surg.2018.10.015. Epub 2018 Nov 22.

引用本文的文献

1
Percutaneous embolization of refractory biliocutaneous fistula following radiofrequency ablation: A case report.射频消融术后难治性胆皮瘘的经皮栓塞治疗:一例报告
Radiol Case Rep. 2023 Aug 24;18(11):3787-3790. doi: 10.1016/j.radcr.2023.08.045. eCollection 2023 Nov.
2
Combined Bile Duct Ablation and Fistulous Tract Embolization Using N-Butyl Cyanoacrylate to Manage a Biliary-Cutaneous Fistula Following Percutaneous Transhepatic Biliary Drainage (PTBD) for Hilar Cholangiocarcinoma.使用氰基丙烯酸正丁酯联合胆管消融及瘘管栓塞术治疗肝门部胆管癌经皮经肝胆道引流(PTBD)后发生的胆皮瘘
Indian J Radiol Imaging. 2023 Mar 15;33(3):416-419. doi: 10.1055/s-0043-1764294. eCollection 2023 Jul.
3

本文引用的文献

1
Use of a mixture of Lipiodol and Cyanoacrylate in percutaneous embolization treatment of symptomatic renal Angiomyolipomas: Our experience.碘油与氰基丙烯酸酯混合物在有症状肾血管平滑肌脂肪瘤经皮栓塞治疗中的应用:我们的经验。
Radiol Case Rep. 2018 Dec 13;14(3):343-347. doi: 10.1016/j.radcr.2018.11.019. eCollection 2019 Mar.
2
Portal Vein Embolization Utilizing N-Butyl Cyanoacrylate for Contralateral Lobe Hypertrophy Prior to Liver Resection: A Systematic Review and Meta-Analysis.利用氰基丙烯酸正丁酯进行门静脉栓塞以促进肝切除术前对侧肝叶肥大:一项系统评价和荟萃分析
Cardiovasc Intervent Radiol. 2018 Sep;41(9):1302-1312. doi: 10.1007/s00270-018-1964-6. Epub 2018 Apr 23.
3
Interventional Radiological Management and Prevention of Complications after Pancreatic Surgery: Drainage, Embolization and Islet Auto-Transplantation.
胰腺手术后并发症的介入放射学管理与预防:引流、栓塞及胰岛自体移植
J Clin Med. 2022 Oct 12;11(20):6005. doi: 10.3390/jcm11206005.
4
The use of cyanoacrylate in the treatment of angiodysplasias: A safe and cheap alternative to coils.氰基丙烯酸酯在血管发育异常治疗中的应用:一种比线圈更安全且便宜的替代方法。
BJR Case Rep. 2022 Sep 12;8(5):20210130. doi: 10.1259/bjrcr.20210130.
5
Embolization of extrahepatic biliary leakage using NBCA.使用NBCA栓塞肝外胆管渗漏
Radiol Case Rep. 2021 Apr 1;16(6):1315-1319. doi: 10.1016/j.radcr.2021.03.005. eCollection 2021 Jun.
Transcatheter Arterial Embolization of Gastrointestinal Bleeding with N-Butyl Cyanoacrylate: A Systematic Review and Meta-Analysis of Safety and Efficacy.
用氰基丙烯酸正丁酯进行经导管动脉栓塞治疗胃肠道出血:安全性和有效性的系统评价与荟萃分析
J Vasc Interv Radiol. 2017 Apr;28(4):522-531.e5. doi: 10.1016/j.jvir.2016.12.1220. Epub 2017 Feb 28.
4
Non-healing post-surgical fistulae: treatment with image-guided percutaneous injection of cyanoacrylic glue.术后不愈合瘘管:影像引导下经皮注射氰基丙烯酸酯胶治疗
Radiol Med. 2017 Feb;122(2):88-94. doi: 10.1007/s11547-016-0693-7. Epub 2016 Oct 17.
5
Novel endoscopic management for pancreatic pseudocyst with fistula to the common bile duct.胰假性囊肿合并胆总管瘘的新型内镜治疗方法。
World J Gastrointest Endosc. 2014 Dec 16;6(12):620-4. doi: 10.4253/wjge.v6.i12.620.
6
A new variant of cholecystohepatic duct: MR cholangiography demonstration.
Surg Radiol Anat. 2015 Jul;37(5):539-41. doi: 10.1007/s00276-014-1356-9. Epub 2014 Aug 3.
7
Endoscopic therapy for postoperative leaks and fistulae.术后渗漏和瘘管的内镜治疗。
Gastrointest Endosc Clin N Am. 2013 Jan;23(1):123-36. doi: 10.1016/j.giec.2012.10.002. Epub 2012 Oct 23.
8
Percutaneous transhepatic embolization of biliary leakage with N-butyl cyanoacrylate.经皮肝穿刺用氰基丙烯酸正丁酯栓塞胆漏
Indian J Radiol Imaging. 2012 Jan;22(1):19-22. doi: 10.4103/0971-3026.95398.
9
Percutaneous Transhepatic Bile Duct Ablation with n-Butyl Cyanoacrylate in the Treatment of a Biliary Complication after Split Liver Transplantation.经皮肝穿刺胆管氰基丙烯酸正丁酯消融术治疗劈离式肝移植术后胆道并发症
J Transplant. 2009;2009:824803. doi: 10.1155/2009/824803. Epub 2009 Jun 24.
10
Biliocutaneous fistula following alveolar hydatid disease surgery treated successfully with percutaneous cyanoacrylate.经皮注射氰基丙烯酸酯成功治疗肺泡型包虫病手术后的胆皮瘘
Dig Dis Sci. 2006 Jan;51(1):18-20. doi: 10.1007/s10620-006-3076-4.