• 文献检索
  • 文档翻译
  • 深度研究
  • 学术资讯
  • Suppr Zotero 插件Zotero 插件
  • 邀请有礼
  • 套餐&价格
  • 历史记录
应用&插件
Suppr Zotero 插件Zotero 插件浏览器插件Mac 客户端Windows 客户端微信小程序
定价
高级版会员购买积分包购买API积分包
服务
文献检索文档翻译深度研究API 文档MCP 服务
关于我们
关于 Suppr公司介绍联系我们用户协议隐私条款
关注我们

Suppr 超能文献

核心技术专利:CN118964589B侵权必究
粤ICP备2023148730 号-1Suppr @ 2026

文献检索

告别复杂PubMed语法,用中文像聊天一样搜索,搜遍4000万医学文献。AI智能推荐,让科研检索更轻松。

立即免费搜索

文件翻译

保留排版,准确专业,支持PDF/Word/PPT等文件格式,支持 12+语言互译。

免费翻译文档

深度研究

AI帮你快速写综述,25分钟生成高质量综述,智能提取关键信息,辅助科研写作。

立即免费体验

γ-丁内酯通过靶向 Thr794 氨基酸诱导 ATP1A3 表达和 AQP4 通路的负反馈环,从而提高胶质母细胞瘤细胞对替莫唑胺的敏感性。

Gamabufotalin induces a negative feedback loop connecting ATP1A3 expression and the AQP4 pathway to promote temozolomide sensitivity in glioblastoma cells by targeting the amino acid Thr794.

机构信息

Department of Neurosurgery, Shenzhen People's Hospital, Second Clinical Medical College of Jinan University, First Affiliated Hospital of Southern, University of Science and Technology, Shenzhen, China.

Department of Neurosurgery, The Second Affiliated Hospital of Dalian Medical University, Dalian, China.

出版信息

Cell Prolif. 2020 Jan;53(1):e12732. doi: 10.1111/cpr.12732. Epub 2019 Nov 20.

DOI:10.1111/cpr.12732
PMID:31746080
原文链接:https://pmc.ncbi.nlm.nih.gov/articles/PMC6985666/
Abstract

OBJECTIVES

Temozolomide (TMZ) is one of the most commonly used clinical drugs for glioblastoma (GBM) treatment, but its drug sensitivity needs to be improved. Gamabufotalin (CS-6), the primary component of the traditional Chinese medicine "ChanSu," was shown to have strong anti-cancer activity. However, more efforts should be directed towards reducing its toxicity or effective treatment doses.

METHODS

Target fishing experiment, Western blotting, PCR, confocal immunofluorescence and molecular cloning techniques were performed to search for possible downstream signalling pathways. In addition, GBM xenografts were used to further determine the potential molecular mechanisms of the synergistic effects of CS-6 and TMZ in vivo.

RESULTS

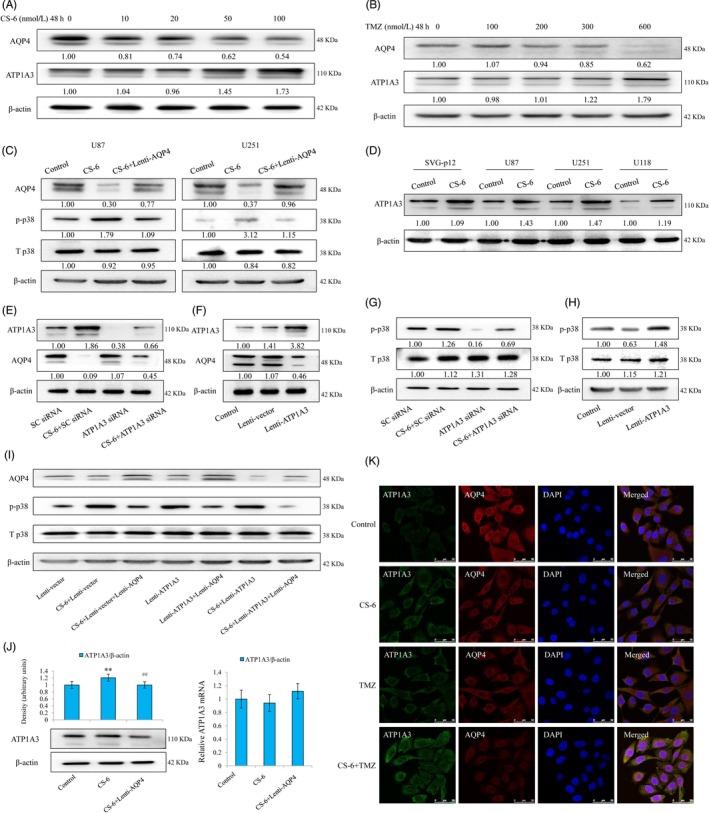
Mechanistic research revealed a negative feedback loop between ATP1A3 and AQP4 through which CS-6 inhibited GBM growth and mediated the synergistic treatment effect of CS-6 and TMZ. In addition, by mutating potential amino acid residues of ATP1A3, which were predicted by modelling and docking to interact with CS-6, we demonstrated that abrogating hydrogen bonding of the amino acid Thr794 interferes with the activation of ATP1A3 by CS-6 and that the Thr794Ala mutation directly affects the synergistic treatment efficacy of CS-6 and TMZ.

CONCLUSIONS

As the main potential target of CS-6, ATP1A3 activation critically depends on the hydrogen bonding of Thr794 with CS-6. The combination of CS-6 and TMZ could significantly reduce the therapeutic doses and promote the anti-cancer efficacy of CS-6/TMZ monotherapy.

摘要

目的

替莫唑胺(TMZ)是治疗胶质母细胞瘤(GBM)最常用的临床药物之一,但需要提高其药物敏感性。中药“蟾酥”的主要成分蟾毒它灵(CS-6)已被证明具有很强的抗癌活性。然而,需要进一步努力降低其毒性或有效治疗剂量。

方法

采用靶标钓取实验、Western blot、PCR、共聚焦免疫荧光和分子克隆技术等方法寻找可能的下游信号通路。此外,利用 GBM 异种移植进一步确定 CS-6 和 TMZ 协同作用的潜在分子机制。

结果

机制研究揭示了 ATP1A3 和 AQP4 之间存在负反馈回路,CS-6 通过该回路抑制 GBM 生长,并介导 CS-6 和 TMZ 的协同治疗作用。此外,通过对可能与 CS-6 相互作用的 ATP1A3 上的氨基酸残基进行建模和对接预测突变,我们证明了破坏 Thr794 的氢键会干扰 CS-6 对 ATP1A3 的激活,而 Thr794Ala 突变直接影响 CS-6 和 TMZ 的协同治疗效果。

结论

作为 CS-6 的主要潜在靶点,ATP1A3 的激活严重依赖于 Thr794 与 CS-6 的氢键。CS-6 与 TMZ 的联合应用可显著降低治疗剂量,并提高 CS-6/TMZ 单药治疗的抗癌疗效。

https://cdn.ncbi.nlm.nih.gov/pmc/blobs/be56/6985666/24fd9c21bc9c/CPR-53-e12732-g007.jpg
https://cdn.ncbi.nlm.nih.gov/pmc/blobs/be56/6985666/9fde8c3896ec/CPR-53-e12732-g001.jpg
https://cdn.ncbi.nlm.nih.gov/pmc/blobs/be56/6985666/cdc932649887/CPR-53-e12732-g002.jpg
https://cdn.ncbi.nlm.nih.gov/pmc/blobs/be56/6985666/321c23b14072/CPR-53-e12732-g003.jpg
https://cdn.ncbi.nlm.nih.gov/pmc/blobs/be56/6985666/fa45cd06f71e/CPR-53-e12732-g004.jpg
https://cdn.ncbi.nlm.nih.gov/pmc/blobs/be56/6985666/62009fb8a6d5/CPR-53-e12732-g005.jpg
https://cdn.ncbi.nlm.nih.gov/pmc/blobs/be56/6985666/4108aa9aac22/CPR-53-e12732-g006.jpg
https://cdn.ncbi.nlm.nih.gov/pmc/blobs/be56/6985666/24fd9c21bc9c/CPR-53-e12732-g007.jpg
https://cdn.ncbi.nlm.nih.gov/pmc/blobs/be56/6985666/9fde8c3896ec/CPR-53-e12732-g001.jpg
https://cdn.ncbi.nlm.nih.gov/pmc/blobs/be56/6985666/cdc932649887/CPR-53-e12732-g002.jpg
https://cdn.ncbi.nlm.nih.gov/pmc/blobs/be56/6985666/321c23b14072/CPR-53-e12732-g003.jpg
https://cdn.ncbi.nlm.nih.gov/pmc/blobs/be56/6985666/fa45cd06f71e/CPR-53-e12732-g004.jpg
https://cdn.ncbi.nlm.nih.gov/pmc/blobs/be56/6985666/62009fb8a6d5/CPR-53-e12732-g005.jpg
https://cdn.ncbi.nlm.nih.gov/pmc/blobs/be56/6985666/4108aa9aac22/CPR-53-e12732-g006.jpg
https://cdn.ncbi.nlm.nih.gov/pmc/blobs/be56/6985666/24fd9c21bc9c/CPR-53-e12732-g007.jpg

相似文献

1
Gamabufotalin induces a negative feedback loop connecting ATP1A3 expression and the AQP4 pathway to promote temozolomide sensitivity in glioblastoma cells by targeting the amino acid Thr794.γ-丁内酯通过靶向 Thr794 氨基酸诱导 ATP1A3 表达和 AQP4 通路的负反馈环,从而提高胶质母细胞瘤细胞对替莫唑胺的敏感性。
Cell Prolif. 2020 Jan;53(1):e12732. doi: 10.1111/cpr.12732. Epub 2019 Nov 20.
2
20(S)-ginsenoside-Rg3 reverses temozolomide resistance and restrains epithelial-mesenchymal transition progression in glioblastoma.20(S)-人参皂苷 Rg3 逆转替莫唑胺耐药并抑制胶质母细胞瘤中上皮-间充质转化的进展。
Cancer Sci. 2019 Jan;110(1):389-400. doi: 10.1111/cas.13881. Epub 2018 Dec 14.
3
Nuclear factor I A promotes temozolomide resistance in glioblastoma via activation of nuclear factor κB pathway.核因子 I A 通过激活核因子 κB 通路促进胶质母细胞瘤对替莫唑胺的耐药性。
Life Sci. 2019 Nov 1;236:116917. doi: 10.1016/j.lfs.2019.116917. Epub 2019 Oct 12.
4
Exosomal transfer of long non-coding RNA SBF2-AS1 enhances chemoresistance to temozolomide in glioblastoma.外泌体转移长非编码 RNA SBF2-AS1 增强胶质母细胞瘤对替莫唑胺的化疗耐药性。
J Exp Clin Cancer Res. 2019 Apr 16;38(1):166. doi: 10.1186/s13046-019-1139-6.
5
Afatinib and Temozolomide combination inhibits tumorigenesis by targeting EGFRvIII-cMet signaling in glioblastoma cells.阿法替尼和替莫唑胺联合抑制 EGFRvIII-cMet 信号通路抑制胶质母细胞瘤的肿瘤发生。
J Exp Clin Cancer Res. 2019 Jun 18;38(1):266. doi: 10.1186/s13046-019-1264-2.
6
The TNF receptor family member Fn14 is highly expressed in recurrent glioblastoma and in GBM patient-derived xenografts with acquired temozolomide resistance.肿瘤坏死因子受体家族成员 Fn14 在复发性胶质母细胞瘤和获得替莫唑胺耐药的 GBM 患者来源异种移植物中高度表达。
Neuro Oncol. 2018 Sep 3;20(10):1321-1330. doi: 10.1093/neuonc/noy063.
7
miR-20a mediates temozolomide-resistance in glioblastoma cells via negatively regulating LRIG1 expression.微小RNA-20a通过负向调控富含亮氨酸重复免疫球蛋白样结构域蛋白1的表达介导胶质母细胞瘤细胞对替莫唑胺的耐药性。
Biomed Pharmacother. 2015 Apr;71:112-8. doi: 10.1016/j.biopha.2015.01.026. Epub 2015 Feb 7.
8
Modulating lncRNA SNHG15/CDK6/miR-627 circuit by palbociclib, overcomes temozolomide resistance and reduces M2-polarization of glioma associated microglia in glioblastoma multiforme.通过帕博西尼调节 lncRNA SNHG15/CDK6/miR-627 通路,克服胶质母细胞瘤中替莫唑胺耐药并减少与胶质瘤相关的小胶质细胞 M2 极化。
J Exp Clin Cancer Res. 2019 Aug 28;38(1):380. doi: 10.1186/s13046-019-1371-0.
9
Cordycepin Augments the Chemosensitivity of Human Glioma Cells to Temozolomide by Activating AMPK and Inhibiting the AKT Signaling Pathway.虫草素通过激活 AMPK 和抑制 AKT 信号通路增强人胶质瘤细胞对替莫唑胺的化疗敏感性。
Mol Pharm. 2018 Nov 5;15(11):4912-4925. doi: 10.1021/acs.molpharmaceut.8b00551. Epub 2018 Oct 17.
10
Targeted nanocomplex carrying siRNA against MALAT1 sensitizes glioblastoma to temozolomide.靶向 MALAT1 的 siRNA 纳米复合物使胶质母细胞瘤对替莫唑胺敏感。
Nucleic Acids Res. 2018 Feb 16;46(3):1424-1440. doi: 10.1093/nar/gkx1221.

引用本文的文献

1
Cardiac Glycosides: From Natural Defense Molecules to Emerging Therapeutic Agents.强心苷:从天然防御分子到新兴治疗药物。
Biomolecules. 2025 Jun 17;15(6):885. doi: 10.3390/biom15060885.
2
CS-6-induced p62 accumulation exacerbates DNA damage in colorectal cancer.CS-6诱导的p62积累会加剧结直肠癌中的DNA损伤。
Front Pharmacol. 2025 May 9;16:1568339. doi: 10.3389/fphar.2025.1568339. eCollection 2025.
3
Harnessing Arsenic Derivatives and Natural Agents for Enhanced Glioblastoma Therapy.利用砷衍生物和天然药物增强胶质母细胞瘤治疗效果

本文引用的文献

1
The sodium pump α1 subunit regulates bufalin sensitivity of human glioblastoma cells through the p53 signaling pathway.钠泵α1 亚基通过 p53 信号通路调节人胶质母细胞瘤细胞对蟾毒灵的敏感性。
Cell Biol Toxicol. 2019 Dec;35(6):521-539. doi: 10.1007/s10565-019-09462-y. Epub 2019 Feb 9.
2
Drug resistance in glioblastoma and cytotoxicity of seaweed compounds, alone and in combination with anticancer drugs: A mini review.抗脑胶质瘤药物耐药性与海藻化合物细胞毒性:单独及联合抗癌药物的小型综述
Phytomedicine. 2018 Sep 15;48:84-93. doi: 10.1016/j.phymed.2018.04.062. Epub 2018 May 8.
3
Atp1a3-deficient heterozygous mice show lower rank in the hierarchy and altered social behavior.
Cells. 2024 Dec 23;13(24):2138. doi: 10.3390/cells13242138.
4
Deciphering MOSPD1's impact on breast cancer progression and therapeutic response.解析 MOSPD1 对乳腺癌进展和治疗反应的影响。
Biol Direct. 2024 Oct 5;19(1):88. doi: 10.1186/s13062-024-00531-9.
5
Update on the intriguing roles of AQP4 expression and redistribution in the progression and treatment of glioma.AQP4 表达和重分布在胶质瘤进展和治疗中的作用研究进展。
Ann Med. 2024 Dec;56(1):2401111. doi: 10.1080/07853890.2024.2401111. Epub 2024 Sep 9.
6
Multiomics2Targets identifies targets from cancer cohorts profiled with transcriptomics, proteomics, and phosphoproteomics.多组学 2 靶点从转录组学、蛋白质组学和磷酸化蛋白质组学分析的癌症队列中识别靶点。
Cell Rep Methods. 2024 Aug 19;4(8):100839. doi: 10.1016/j.crmeth.2024.100839. Epub 2024 Aug 9.
7
Preclinical and clinical advances to overcome hypoxia in glioblastoma multiforme.克服胶质母细胞瘤缺氧的临床前和临床进展。
Cell Death Dis. 2024 Jul 13;15(7):503. doi: 10.1038/s41419-024-06904-2.
8
Understanding the immunosuppressive microenvironment of glioma: mechanistic insights and clinical perspectives.了解胶质瘤的免疫抑制微环境:机制见解和临床观点。
J Hematol Oncol. 2024 May 8;17(1):31. doi: 10.1186/s13045-024-01544-7.
9
Na+/K+-ATPase: ion pump, signal transducer, or cytoprotective protein, and novel biological functions.钠钾ATP酶:离子泵、信号转导器还是细胞保护蛋白,以及新的生物学功能。
Neural Regen Res. 2024 Dec 1;19(12):2684-2697. doi: 10.4103/NRR.NRR-D-23-01175. Epub 2024 Jan 31.
10
Contribution of m5C RNA Modification-Related Genes to Prognosis and Immunotherapy Prediction in Patients with Ovarian Cancer.m5C RNA 修饰相关基因对卵巢癌患者预后和免疫治疗预测的贡献。
Mediators Inflamm. 2023 Nov 13;2023:1400267. doi: 10.1155/2023/1400267. eCollection 2023.
Atp1a3基因缺失的杂合子小鼠在等级制度中排名较低且社交行为发生改变。
Genes Brain Behav. 2018 Jun;17(5):e12435. doi: 10.1111/gbb.12435. Epub 2017 Nov 24.
4
Improved Method for the Identification and Validation of Allosteric Sites.变构位点鉴定与验证的改进方法
J Chem Inf Model. 2017 Sep 25;57(9):2358-2363. doi: 10.1021/acs.jcim.7b00014. Epub 2017 Aug 31.
5
Highly selective inhibition of IMPDH2 provides the basis of antineuroinflammation therapy.高度选择性抑制 IMPDH2 为神经炎症治疗提供了基础。
Proc Natl Acad Sci U S A. 2017 Jul 18;114(29):E5986-E5994. doi: 10.1073/pnas.1706778114. Epub 2017 Jul 3.
6
Fever-Induced Paroxysmal Weakness and Encephalopathy, a New Phenotype of ATP1A3 Mutation.发热诱导的阵发性肌无力和脑病,ATP1A3突变的一种新表型。
Pediatr Neurol. 2017 Aug;73:101-105. doi: 10.1016/j.pediatrneurol.2017.04.022. Epub 2017 Apr 29.
7
Down-Regulation of AQP4 Expression via p38 MAPK Signaling in Temozolomide-Induced Glioma Cells Growth Inhibition and Invasion Impairment.通过p38丝裂原活化蛋白激酶信号通路下调水通道蛋白4表达对替莫唑胺诱导的胶质瘤细胞生长抑制和侵袭损伤的影响
J Cell Biochem. 2017 Dec;118(12):4905-4913. doi: 10.1002/jcb.26176. Epub 2017 Jul 4.
8
The potential roles of aquaporin 4 in malignant gliomas.水通道蛋白4在恶性胶质瘤中的潜在作用。
Oncotarget. 2017 May 9;8(19):32345-32355. doi: 10.18632/oncotarget.16017.
9
Whole-protein alanine-scanning mutagenesis of allostery: A large percentage of a protein can contribute to mechanism.别构作用的全蛋白丙氨酸扫描诱变:蛋白质的很大一部分可参与其作用机制。
Hum Mutat. 2017 Sep;38(9):1132-1143. doi: 10.1002/humu.23231. Epub 2017 Jun 16.
10
Quantitative proteomics reveals molecular mechanism of gamabufotalin and its potential inhibition on Hsp90 in lung cancer.定量蛋白质组学揭示了蟾毒灵的分子机制及其对肺癌中Hsp90的潜在抑制作用。
Oncotarget. 2016 Nov 22;7(47):76551-76564. doi: 10.18632/oncotarget.10388.