Suppr超能文献

髌骨骨巨细胞瘤伴继发性动脉瘤样骨囊肿:一例报告

Giant Cell Tumor with Secondary Aneurysmal Bone Cyst of the Patella: A Case Report.

作者信息

Tripathy Sujit K, Doki Sunil, Behera Gayatri, Sable Mukund

机构信息

Orthopaedics, All India Institute of Medical Sciences, Bhubaneswar, IND.

Pathology, All India Institute of Medical Sciences, Bhubaneswar, IND.

出版信息

Cureus. 2019 Oct 1;11(10):e5819. doi: 10.7759/cureus.5819.

Abstract

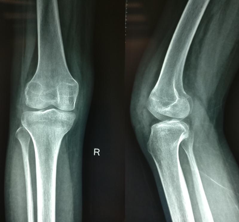
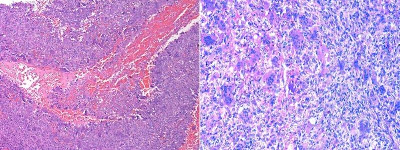
A 15-year-old girl presented with pain and swelling on the anterior aspect of the right knee for one year. The radiological evaluation with x-rays and magnetic resonance imaging suggested a benign aggressive lesion of the right patella with a cortical breach. Core needle biopsy of the lesion revealed it to be a giant cell tumor (GCT). She was treated with total patellectomy and end-to-end repair of quadriceps to the patellar tendon. The histopathological report of the whole specimen revealed it to be a GCT with secondary aneurysmal bone cyst (ABC). After 24 months, she was asymptomatic, and there was no evidence of local recurrence or distal metastasis. An extensive review of the literature revealed only four cases of combined GCT with secondary ABC in the patella. Though rare, GCT with secondary ABC of the patella should be kept as a differential diagnosis for anterior knee pain and swelling in young patients. The diagnosis is solely based on histopathological findings. It is imperative to obtain a precise tissue diagnosis in the preoperative period to plan appropriate treatment.

摘要

一名15岁女孩因右膝前部疼痛和肿胀就诊,症状已持续一年。X线和磁共振成像的影像学评估显示右髌骨有一个良性侵袭性病变,伴有皮质破坏。对该病变进行的粗针穿刺活检显示为骨巨细胞瘤(GCT)。她接受了全髌骨切除术,并将股四头肌与髌腱进行端端修复。整个标本的组织病理学报告显示为伴有继发性动脉瘤样骨囊肿(ABC)的骨巨细胞瘤。24个月后,她没有症状,也没有局部复发或远处转移的迹象。广泛的文献回顾显示,仅有4例髌骨合并继发性ABC的骨巨细胞瘤病例。虽然罕见,但髌骨继发性ABC的骨巨细胞瘤应作为年轻患者膝前疼痛和肿胀的鉴别诊断之一。诊断完全基于组织病理学检查结果。术前获得精确的组织诊断以规划适当的治疗至关重要。

https://cdn.ncbi.nlm.nih.gov/pmc/blobs/762d/6827857/5d7b3811d102/cureus-0011-00000005819-i01.jpg

相似文献

1
Giant Cell Tumor with Secondary Aneurysmal Bone Cyst of the Patella: A Case Report.
Cureus. 2019 Oct 1;11(10):e5819. doi: 10.7759/cureus.5819.
2
Giant cell tumor of the patella with a secondary aneurysmal bone cyst: A case report.
Oncol Lett. 2016 Jun;11(6):4045-4048. doi: 10.3892/ol.2016.4540. Epub 2016 May 6.
5
Aneurysmal bone cyst secondary to a giant cell tumor of the patella: A case report.
Oncol Lett. 2016 Feb;11(2):1481-1485. doi: 10.3892/ol.2016.4080. Epub 2016 Jan 7.
6
Giant cell tumor of the patella: An uncommon cause of anterior knee pain.
Mol Clin Oncol. 2015 Jan;3(1):207-211. doi: 10.3892/mco.2014.433. Epub 2014 Oct 1.
7
Chondroblastoma of the patella with aneurysmal bone cyst.
Orthopedics. 2014 Jan;37(1):e87-91. doi: 10.3928/01477447-20131219-23.
10
Giant Cell Tumor With Secondary Aneurysmal Bone Cyst in the Left Distal Humerus: A Case Report.
Cureus. 2024 Jul 27;16(7):e65507. doi: 10.7759/cureus.65507. eCollection 2024 Jul.

本文引用的文献

1
Giant cell tumor of the patella with a secondary aneurysmal bone cyst: A case report.
Oncol Lett. 2016 Jun;11(6):4045-4048. doi: 10.3892/ol.2016.4540. Epub 2016 May 6.
2
Aneurysmal bone cyst secondary to a giant cell tumor of the patella: A case report.
Oncol Lett. 2016 Feb;11(2):1481-1485. doi: 10.3892/ol.2016.4080. Epub 2016 Jan 7.
3
Primary tumors of the patella.
World J Surg Oncol. 2015 Apr 25;13:163. doi: 10.1186/s12957-015-0573-y.
4
Giant cell tumor of the patella: An uncommon cause of anterior knee pain.
Mol Clin Oncol. 2015 Jan;3(1):207-211. doi: 10.3892/mco.2014.433. Epub 2014 Oct 1.
6
Giant-cell tumor of the patella.
Acta Med Okayama. 2012;66(1):73-6. doi: 10.18926/AMO/48084.
7
Aneurysmal bone cyst secondary to giant cell tumor of the mobile spine: a report of 11 cases.
Spine (Phila Pa 1976). 2011 Oct 1;36(21):E1385-90. doi: 10.1097/BRS.0b013e31820e60b2.
8
Giant cell tumor of the patella and its management using a patella, patellar tendon, and tibial tubercle allograft.
Knee Surg Sports Traumatol Arthrosc. 2010 Feb;18(2):167-9. doi: 10.1007/s00167-009-0908-8. Epub 2009 Sep 26.
9
Tumour and tumour-like lesions of the patella--a multicentre experience.
Eur Radiol. 2009 Mar;19(3):701-12. doi: 10.1007/s00330-008-1180-x. Epub 2008 Sep 25.
10
Primary aneurysmal bone cyst of the patella: a case report.
J Orthop Surg (Hong Kong). 2007 Aug;15(2):234-7. doi: 10.1177/230949900701500223.

文献AI研究员

20分钟写一篇综述,助力文献阅读效率提升50倍。

立即体验

用中文搜PubMed

大模型驱动的PubMed中文搜索引擎

马上搜索

文档翻译

学术文献翻译模型,支持多种主流文档格式。

立即体验