• 文献检索
  • 文档翻译
  • 深度研究
  • 学术资讯
  • Suppr Zotero 插件Zotero 插件
  • 邀请有礼
  • 套餐&价格
  • 历史记录
应用&插件
Suppr Zotero 插件Zotero 插件浏览器插件Mac 客户端Windows 客户端微信小程序
定价
高级版会员购买积分包购买API积分包
服务
文献检索文档翻译深度研究API 文档MCP 服务
关于我们
关于 Suppr公司介绍联系我们用户协议隐私条款
关注我们

Suppr 超能文献

核心技术专利:CN118964589B侵权必究
粤ICP备2023148730 号-1Suppr @ 2026

文献检索

告别复杂PubMed语法,用中文像聊天一样搜索,搜遍4000万医学文献。AI智能推荐,让科研检索更轻松。

立即免费搜索

文件翻译

保留排版,准确专业,支持PDF/Word/PPT等文件格式,支持 12+语言互译。

免费翻译文档

深度研究

AI帮你快速写综述,25分钟生成高质量综述,智能提取关键信息,辅助科研写作。

立即免费体验

一名男孩在颈部后伸损伤后因左椎动脉闭塞导致的延髓外侧综合征。

Lateral Medullary Syndrome Due to Left Vertebral Artery Occlusion in a Boy Postflexion Neck Injury.

作者信息

Alawadhi Abdulla, Saint-Martin Christine, Sabapathy Christine, Sebire Guillaume, Shevell Michael

机构信息

Division of Pediatric Neurology, Departments of Pediatrics & Neurology/Neurosurgery, The Montreal Children's Hospital, McGill University, Montreal, Québec, Canada.

Department of Medical Imaging, The Montreal Children's Hospital, McGill University, Montreal, Québec, Canada.

出版信息

Child Neurol Open. 2019 Aug 6;6:2329048X19867800. doi: 10.1177/2329048X19867800. eCollection 2019.

DOI:10.1177/2329048X19867800
PMID:31763345
原文链接:https://pmc.ncbi.nlm.nih.gov/articles/PMC6852355/
Abstract

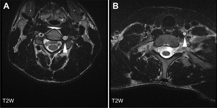
Lateral medullary syndrome is rare in pediatrics. It is characterized by neurological deficits due to an ischemic lesion in the lateral medulla. The authors describe a 17-year-old boy who developed lateral medullary syndrome in the context of a hyperflexion neck injury while diving in shallow water with traumatic vascular injury. He had "crossed" neurological deficits above and below the neck. His magnetic resonance angiography showed intra- and extracranial left vertebral artery occlusion and his magnetic resonance imaging showed signal abnormality involving the left lateral medulla and inferomedial cerebellum in keeping with an infarct secondary to left vertebral artery and left posterior inferior cerebellar artery occlusion. Good neurological recovery was observed on heparin therapy started after surgical treatment of traumatic injury. To our knowledge, this is the first reported case of lateral medullary syndrome in a pediatric population related to a flexion neck injury. The authors emphasize the importance of a high level of suspicion for accurate diagnosis.

摘要

外侧延髓综合征在儿科中较为罕见。它的特征是由于外侧延髓的缺血性病变导致神经功能缺损。作者描述了一名17岁男孩,他在浅水中潜水时因颈部过度屈曲损伤伴外伤性血管损伤而患上外侧延髓综合征。他在颈部上下出现了“交叉性”神经功能缺损。他的磁共振血管造影显示颅内和颅外左侧椎动脉闭塞,磁共振成像显示左侧外侧延髓和小脑下内侧信号异常,符合左侧椎动脉和左侧小脑后下动脉闭塞继发的梗死。在对外伤进行手术治疗后开始肝素治疗,观察到神经功能恢复良好。据我们所知,这是首次报道的儿科人群中与颈部屈曲损伤相关的外侧延髓综合征病例。作者强调了高度怀疑对于准确诊断的重要性。

https://cdn.ncbi.nlm.nih.gov/pmc/blobs/f1a9/6852355/e8d235da6258/10.1177_2329048X19867800-fig3.jpg
https://cdn.ncbi.nlm.nih.gov/pmc/blobs/f1a9/6852355/f14cb12bb30c/10.1177_2329048X19867800-fig1.jpg
https://cdn.ncbi.nlm.nih.gov/pmc/blobs/f1a9/6852355/61f9ad52b821/10.1177_2329048X19867800-fig2.jpg
https://cdn.ncbi.nlm.nih.gov/pmc/blobs/f1a9/6852355/e8d235da6258/10.1177_2329048X19867800-fig3.jpg
https://cdn.ncbi.nlm.nih.gov/pmc/blobs/f1a9/6852355/f14cb12bb30c/10.1177_2329048X19867800-fig1.jpg
https://cdn.ncbi.nlm.nih.gov/pmc/blobs/f1a9/6852355/61f9ad52b821/10.1177_2329048X19867800-fig2.jpg
https://cdn.ncbi.nlm.nih.gov/pmc/blobs/f1a9/6852355/e8d235da6258/10.1177_2329048X19867800-fig3.jpg

相似文献

1
Lateral Medullary Syndrome Due to Left Vertebral Artery Occlusion in a Boy Postflexion Neck Injury.一名男孩在颈部后伸损伤后因左椎动脉闭塞导致的延髓外侧综合征。
Child Neurol Open. 2019 Aug 6;6:2329048X19867800. doi: 10.1177/2329048X19867800. eCollection 2019.
2
The Use of Tissue Plasminogen Activator in the Treatment of Wallenberg Syndrome Caused by Vertebral Artery Dissection.组织型纤溶酶原激活剂在椎动脉夹层所致延髓背外侧综合征治疗中的应用
J Emerg Med. 2017 May;52(5):738-740. doi: 10.1016/j.jemermed.2017.01.025. Epub 2017 Feb 28.
3
[Lateral medullary stroke with extracranial course of the postero- inferior cerebellar artery].伴有小脑后下动脉颅外走行的延髓外侧卒中
Medicina (B Aires). 2018;78(5):364-367.
4
Infarcts presenting with a combination of medial medullary and posterior inferior cerebellar artery syndromes.表现为内侧延髓和小脑后下动脉综合征组合的梗死灶。
J Neurol Sci. 2004 Sep 15;224(1-2):89-91. doi: 10.1016/j.jns.2004.06.001.
5
Case report: Medulla oblongata and cervical cord reperfusion injury after intracranial vertebral artery angioplasty and stenting.病例报告:颅内椎动脉血管成形术和支架置入术后延髓及颈髓再灌注损伤
Front Neurol. 2023 May 5;14:1097252. doi: 10.3389/fneur.2023.1097252. eCollection 2023.
6
Traumatic Vertebral Artery Dissection and Basilar Artery Occlusion/Stroke in a 7-Year-Old Child: A Case Report.一名7岁儿童的创伤性椎动脉夹层与基底动脉闭塞/卒中:病例报告
J Pediatr Intensive Care. 2019 Dec;8(4):233-237. doi: 10.1055/s-0039-1692670. Epub 2019 Jun 24.
7
[The medial medullary infarction (Dejerine syndrome) following chiropractic neck manipulation].[整脊颈部手法治疗后发生的内侧延髓梗死(德热里纳综合征)]
No To Shinkei. 2003 Feb;55(2):121-5.
8
Fibromuscular dysplasia of the vertebral artery presenting with lateral medullary syndrome: a case report.以延髓外侧综合征为表现的椎动脉纤维肌发育不良:一例报告
Acta Neurol Taiwan. 2004 Dec;13(4):198-202.
9
A Case of Posterior Inferior Cerebellar Artery Infarction after Cervical Chiropractic Manipulation.一例颈椎整脊手法治疗后小脑后下动脉梗死病例
Korean J Neurotrauma. 2018 Oct;14(2):159-163. doi: 10.13004/kjnt.2018.14.2.159. Epub 2018 Oct 31.
10
Ocular contrapulsion followed by ipsipulsion in Wallenberg syndrome: The first case report in literature.延髓背外侧综合征中的眼球对侧偏斜后同向偏斜:文献中的首例病例报告
Radiol Case Rep. 2022 Sep 6;17(11):4148-4151. doi: 10.1016/j.radcr.2022.06.099. eCollection 2022 Nov.

引用本文的文献

1
High pillow and spontaneous vertebral artery dissection: A case-control study implicating "Shogun pillow syndrome".高枕与自发性椎动脉夹层:病例对照研究提示“将军枕综合征”。
Eur Stroke J. 2024 Jun;9(2):501-509. doi: 10.1177/23969873231226029. Epub 2024 Jan 29.

本文引用的文献

1
Antiplatelet Therapy vs Anticoagulation Therapy in Cervical Artery Dissection: The Cervical Artery Dissection in Stroke Study (CADISS) Randomized Clinical Trial Final Results.抗血小板治疗与抗凝治疗在颈动脉夹层中的应用:中风研究中的颈动脉夹层(CADISS)随机临床试验最终结果。
JAMA Neurol. 2019 Jun 1;76(6):657-664. doi: 10.1001/jamaneurol.2019.0072.
2
Pediatric blunt cerebrovascular injury: the McGovern screening score.小儿钝性脑血管损伤:麦戈文筛查评分
J Neurosurg Pediatr. 2018 Jun;21(6):639-649. doi: 10.3171/2017.12.PEDS17498. Epub 2018 Mar 16.
3
Pediatric stroke related to Lyme neuroborreliosis: Data from the Swiss NeuroPaediatric Stroke Registry and literature review.
儿童莱姆神经Borreliosis 相关性卒中:瑞士神经儿科卒中登记处的数据和文献复习。
Eur J Paediatr Neurol. 2018 Jan;22(1):113-121. doi: 10.1016/j.ejpn.2017.10.010. Epub 2017 Nov 24.
4
Lyme Neuroborreliosis: A Potentially Preventable Cause of Stroke.莱姆病神经疏螺旋体病:中风的一个潜在可预防病因。
J Pediatr. 2016 Mar;170:334-e1. doi: 10.1016/j.jpeds.2015.11.077. Epub 2016 Jan 6.
5
Wallenberg Syndrome: An Exceptional Cause of Acute Vertigo in Children.
Neuropediatrics. 2016 Jan;47(1):61-3. doi: 10.1055/s-0035-1566731. Epub 2015 Nov 16.
6
Current concepts in pediatric stroke.小儿卒中的当前概念
Indian J Pediatr. 2015 Feb;82(2):179-88. doi: 10.1007/s12098-014-1604-3. Epub 2014 Nov 23.
7
Brainstem strokes in children: an 11-year series from a tertiary pediatric center.儿童脑干卒中:来自一家三级儿科中心的 11 年系列研究。
Pediatr Neurol. 2013 Dec;49(6):458-64. doi: 10.1016/j.pediatrneurol.2013.07.007. Epub 2013 Sep 27.
8
Lateral medullary syndrome in a boy with hereditary dysfibrinogenemia.
Brain Dev. 2012 Nov;34(10):857-60. doi: 10.1016/j.braindev.2012.02.010. Epub 2012 Mar 24.
9
Blunt traumatic vertebral artery injury: a clinical review.钝性创伤性椎动脉损伤:临床综述。
Eur Spine J. 2011 Sep;20(9):1405-16. doi: 10.1007/s00586-011-1862-y. Epub 2011 Jun 16.
10
Wallenberg syndrome as a sole presentation of celiac disease.
Neurosciences (Riyadh). 2008 Apr;13(2):179-81.