Suppr超能文献

参附注射液通过抑制内毒素休克大鼠模型中的HMGB1-NF-κB通路对急性肺损伤的抗炎作用

Anti-Inflammatory Effects of Shenfu Injection against Acute Lung Injury through Inhibiting HMGB1-NF-B Pathway in a Rat Model of Endotoxin Shock.

作者信息

Liu Xia, Ai Fei, Li Hui, Xu Qin, Mei Liyan, Miao Jifei, Wen Quan, Zhang Chaoying, Zhang Saixia, Zhou Jianhong, Chen Xiangyun, Chu Chunwei, Guo Junfeng

机构信息

School of Basic Medical Sciences, Guizhou University of Chinese Medicine, Dongqingnan Road, Guizhou Higher Education Mega Center, Huaxi District, Guiyang, Guizhou 550025, China.

Second Clinical Medical College, Guizhou University of Chinese Medicine, Dongqingnan Road, Guizhou University Town, Huaxi District, Guiyang, Guizhou 550025, China.

出版信息

Evid Based Complement Alternat Med. 2019 Nov 3;2019:9857683. doi: 10.1155/2019/9857683. eCollection 2019.

Abstract

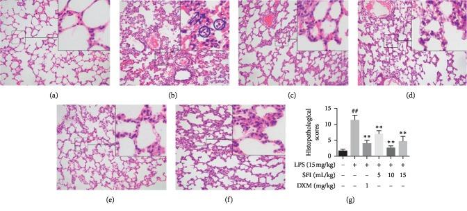
Shenfu injection (SFI), a Chinese herbal medicine with substances extracted from and , is widely used as an anti-inflammatory reagent to treat endotoxin shock in China. However, the mechanism of SFI in endotoxin shock remains to be illuminated. High mobility group box 1 (HMGB1), a vital inflammatory factor in the late stage of endotoxin shock, may stimulate multiple signalling cascades, including B (NF-B), a nuclear transcription factor, as well as tumour necrosis factor (TNF)- and interleukin (IL)-1, among others in the overexpression of downstream proinflammatory cytokines. An investigation into the effects of SFI on the inhibition of the HMGB1-NF-B pathway revealed the contribution of SFI to acute lung injury (ALI) in a rat model of endotoxin shock. To assess the anti-inflammatory activity of SFI, 5 ml/kg, 10 ml/kg, or 15 ml/kg of SFI was administered to different groups of rats following an injection of LPS, and the mean arterial pressure (MAP) at 5 h and the survival rate at 72 h were measured. 24 h after LPS injection, we observed pathological changes in the lung tissue and measured the mRNA expression, production, translocation, and secretion of HMGB1, as well as the expression of the NF-B signal pathway-related proteins inhibitor of NF-B (IB)-, P50, and P65. We also evaluated the regulation of SFI on the secretion of inflammatory factors including interleukin-1 beta (IL-1) and TNF-. SFI effectively prevented the drop in MAP, relieved lung tissue damage, and increased the survival rate in the endotoxin shock model in dose-dependent manner. SFI inhibited the transcription, expression, translocation, and secretion of HMGB1, increased the expression of toll-like receptor (TLR4), increased the production of IB-, and decreased the levels of P65, P50, and TNF- in the lung tissue of endotoxin shock rats in a dose-dependent manner. Furthermore, SFI decreased the secretion of proinflammatory cytokines TNF- and IL-1. In summary, SFI improves the survival rate of endotoxin shock, perhaps through inhibiting the HMGB1-NF-B pathway and thus preventing cytokine storm.

摘要

参附注射液(SFI)是一种从 和 中提取物质的中药,在中国被广泛用作抗炎试剂来治疗内毒素休克。然而,SFI在内毒素休克中的作用机制仍有待阐明。高迁移率族蛋白B1(HMGB1)是内毒素休克晚期的一种重要炎症因子,可能刺激多种信号级联反应,包括核转录因子B(NF-κB)以及肿瘤坏死因子(TNF)- 和白细胞介素(IL)-1等,导致下游促炎细胞因子的过度表达。一项关于SFI对HMGB1-NF-κB通路抑制作用的研究揭示了SFI在大鼠内毒素休克模型中对急性肺损伤(ALI)的作用。为了评估SFI的抗炎活性,在注射脂多糖(LPS)后,给不同组的大鼠分别注射5 ml/kg、10 ml/kg或15 ml/kg的SFI,并测量5 h时的平均动脉压(MAP)和72 h时的存活率。在LPS注射24 h后,我们观察了肺组织的病理变化,并测量了HMGB1的mRNA表达、产生、转位和分泌,以及NF-κB信号通路相关蛋白NF-κB抑制蛋白(IκB)-、P50和P65的表达。我们还评估了SFI对包括白细胞介素-1β(IL-1β)和TNF-α在内的炎症因子分泌的调节作用。SFI能有效防止MAP下降,减轻肺组织损伤,并以剂量依赖的方式提高内毒素休克模型中的存活率。SFI抑制HMGB1的转录、表达、转位和分泌,增加Toll样受体(TLR4)的表达,增加IκB-的产生,并以剂量依赖的方式降低内毒素休克大鼠肺组织中P65、P50和TNF-α的水平。此外,SFI降低促炎细胞因子TNF-α和IL-1β的分泌。总之,SFI可能通过抑制HMGB1-NF-κB通路从而防止细胞因子风暴,提高内毒素休克的存活率。

https://cdn.ncbi.nlm.nih.gov/pmc/blobs/63b5/6875290/51a109c36a54/ECAM2019-9857683.001.jpg

相似文献

1
Anti-Inflammatory Effects of Shenfu Injection against Acute Lung Injury through Inhibiting HMGB1-NF-B Pathway in a Rat Model of Endotoxin Shock.
Evid Based Complement Alternat Med. 2019 Nov 3;2019:9857683. doi: 10.1155/2019/9857683. eCollection 2019.
2
Paeonol attenuates acute lung injury by inhibiting HMGB1 in lipopolysaccharide-induced shock rats.
Int Immunopharmacol. 2018 Aug;61:169-177. doi: 10.1016/j.intimp.2018.05.032. Epub 2018 Jun 5.
5
[Role of high mobility group box 1 in intestinal mucosal barrier injury in rat with sepsis induced by endotoxin].
Zhonghua Wei Zhong Bing Ji Jiu Yi Xue. 2020 Jul;32(7):803-807. doi: 10.3760/cma.j.cn121430-20200109-00126.
8
[Mechanism of ulinastatin in reducing lung inflammatory injury in rats with hemorrhagic shock].
Nan Fang Yi Ke Da Xue Xue Bao. 2019 Oct 30;39(10):1232-1238. doi: 10.12122/j.issn.1673-4254.2019.10.16.
9
Dexmedetomidine inhibits the secretion of high mobility group box 1 from lipopolysaccharide-activated macrophages in vitro.
J Surg Res. 2013 May;181(2):308-14. doi: 10.1016/j.jss.2012.07.017. Epub 2012 Jul 26.

引用本文的文献

1
Shenfu injection alleviates lipopolysaccharide-induced liver injury in septic mice.
Sci Rep. 2025 Apr 23;15(1):14004. doi: 10.1038/s41598-025-98740-3.
2
Shenfu injection alleviate gut ischemia/reperfusion injury after severe hemorrhagic shock through improving intestinal microcirculation in rats.
Heliyon. 2024 May 23;10(11):e31377. doi: 10.1016/j.heliyon.2024.e31377. eCollection 2024 Jun 15.
6
Chinese herbal injections for coronavirus disease 2019 (COVID-19): A narrative review.
Integr Med Res. 2021 Dec;10(4):100778. doi: 10.1016/j.imr.2021.100778. Epub 2021 Sep 30.
7
8
Potential Therapeutic Effect of Traditional Chinese Medicine on Coronavirus Disease 2019: A Review.
Front Pharmacol. 2020 Nov 9;11:570893. doi: 10.3389/fphar.2020.570893. eCollection 2020.
9
The therapeutic effects of traditional chinese medicine on COVID-19: a narrative review.
Int J Clin Pharm. 2021 Feb;43(1):35-45. doi: 10.1007/s11096-020-01153-7. Epub 2020 Sep 24.
10
Effects of simvastatin on iNOS and caspase‑3 levels and oxidative stress following smoke inhalation injury.
Mol Med Rep. 2020 Oct;22(4):3405-3417. doi: 10.3892/mmr.2020.11413. Epub 2020 Aug 4.

本文引用的文献

1
Ketamine alleviates LPS induced lung injury by inhibiting HMGB1-RAGE level.
Eur Rev Med Pharmacol Sci. 2018 Mar;22(6):1830-1836. doi: 10.26355/eurrev_201803_14603.
3
Targeting RAGE Signaling in Inflammatory Disease.
Annu Rev Med. 2018 Jan 29;69:349-364. doi: 10.1146/annurev-med-041316-085215. Epub 2017 Nov 6.
4
Association between HMGB1 and asthma: a literature review.
Clin Mol Allergy. 2017 Jun 14;15:12. doi: 10.1186/s12948-017-0068-1. eCollection 2017.
5
Histone deacetylase-high mobility group box-1 pathway targeted by hypaconitine suppresses the apoptosis of endothelial cells.
Exp Biol Med (Maywood). 2017 Mar;242(5):527-535. doi: 10.1177/1535370216685433. Epub 2017 Jan 5.
6
Shenfu injection for improving cellular immunity and clinical outcome in patients with sepsis or septic shock.
Am J Emerg Med. 2017 Jan;35(1):1-6. doi: 10.1016/j.ajem.2016.09.008. Epub 2016 Sep 7.
8
HMGB1 as biomarker and drug target.
Pharmacol Res. 2016 Sep;111:534-544. doi: 10.1016/j.phrs.2016.06.031. Epub 2016 Jul 1.
9
PKR and HMGB1 expression and function in rheumatoid arthritis.
Genet Mol Res. 2015 Dec 22;14(4):17864-70. doi: 10.4238/2015.December.22.11.
10
Clinical Effect of Shenfu Injection in Patients with Septic Shock: A Meta-Analysis and Systematic Review.
Evid Based Complement Alternat Med. 2015;2015:863149. doi: 10.1155/2015/863149. Epub 2015 Jun 14.

文献AI研究员

20分钟写一篇综述,助力文献阅读效率提升50倍。

立即体验

用中文搜PubMed

大模型驱动的PubMed中文搜索引擎

马上搜索

文档翻译

学术文献翻译模型,支持多种主流文档格式。

立即体验