Suppr超能文献

一名接受过大量治疗的IV期胸腺瘤患者并发再生障碍性贫血和古德综合征:病例报告及文献复习

Aplastic Anemia and Good Syndrome in a Heavily Treated Stage IV Thymoma Patient: A Case Report and Review of the Literature.

作者信息

Chiatamone Ranieri Sofia, Trasarti Stefania, Arleo Maria Antonietta, Bizzoni Luisa, Bonanni Livia, Di Battista Valeria, Limongiello Maria Assunta, Nardacci Maria Grazia, Gentile Giuseppe, Foà Robin

机构信息

Department of Translational and Precision Medicine, University of Rome "Sapienza", Rome, Italy.

Department of Molecular Medicine, University of Rome "Sapienza", Rome, Italy.

出版信息

Case Rep Hematol. 2019 Nov 12;2019:1910923. doi: 10.1155/2019/1910923. eCollection 2019.

Abstract

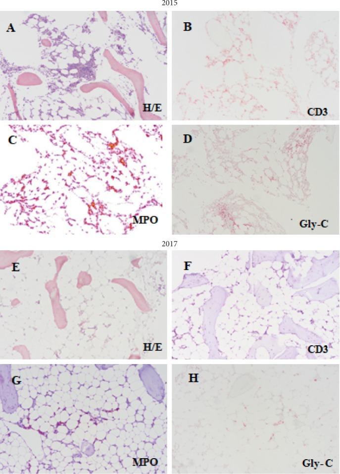
Thymoma is an uncommon slowly growing neoplasm. It usually presents with paraneoplastic syndromes including the immunodeficiency syndrome called Good syndrome and hematological disorders. Pure red cell aplasia is a well-recognized complication of thymoma, and aplastic anemia is very rare in association with GS. We report a case of GS in a heavily treated patient with stage IV thymoma associated with a pure red cell aplasia and an amegakaryocytic thrombocytopenia that evolved into an AA and provide an up-to-date review of the relevant literature. This is the first case of the association of GS and AA with the coexistence of a heavily treated stage IV thymoma. The fatal outcome was not related to the progression of the thymoma, but rather to the severe infectious complications. The combination of lymphopenia and hypogammaglobulinemia typical of GS, coupled to the neutropenia, caused by bone marrow failure, was the main predisposing factor for the unfavourable outcome.

摘要

胸腺瘤是一种罕见的生长缓慢的肿瘤。它通常伴有副肿瘤综合征,包括称为古德综合征的免疫缺陷综合征和血液系统疾病。纯红细胞再生障碍是胸腺瘤一种公认的并发症,而再生障碍性贫血与古德综合征相关的情况非常罕见。我们报告一例接受过大量治疗的IV期胸腺瘤患者并发古德综合征,伴有纯红细胞再生障碍和无巨核细胞性血小板减少症,随后发展为再生障碍性贫血,并对相关文献进行了最新综述。这是首例古德综合征和再生障碍性贫血与接受过大量治疗的IV期胸腺瘤并存的病例。致命结局并非与胸腺瘤进展有关,而是与严重的感染并发症有关。古德综合征典型的淋巴细胞减少和低丙种球蛋白血症,再加上骨髓衰竭导致的中性粒细胞减少,是导致不良结局的主要诱发因素。

https://cdn.ncbi.nlm.nih.gov/pmc/blobs/1e58/6875174/0aa6d9f40179/CRIHEM2019-1910923.001.jpg

文献AI研究员

20分钟写一篇综述,助力文献阅读效率提升50倍。

立即体验

用中文搜PubMed

大模型驱动的PubMed中文搜索引擎

马上搜索

文档翻译

学术文献翻译模型,支持多种主流文档格式。

立即体验