Suppr超能文献

纯红细胞再生障碍性贫血和血清阴性重症肌无力合并胸腺瘤

Pure red cell aplasia and seronegative myasthenia gravis in association with thymoma.

作者信息

Lee Sun Yong, Gill Amandeep, Jung Syung Min

机构信息

Internal Medicine, San Joaquin General Hospital (SJGH), French Camp, CA, USA.

出版信息

J Community Hosp Intern Med Perspect. 2020 Jun 14;10(3):238-241. doi: 10.1080/20009666.2020.1770019.

Abstract

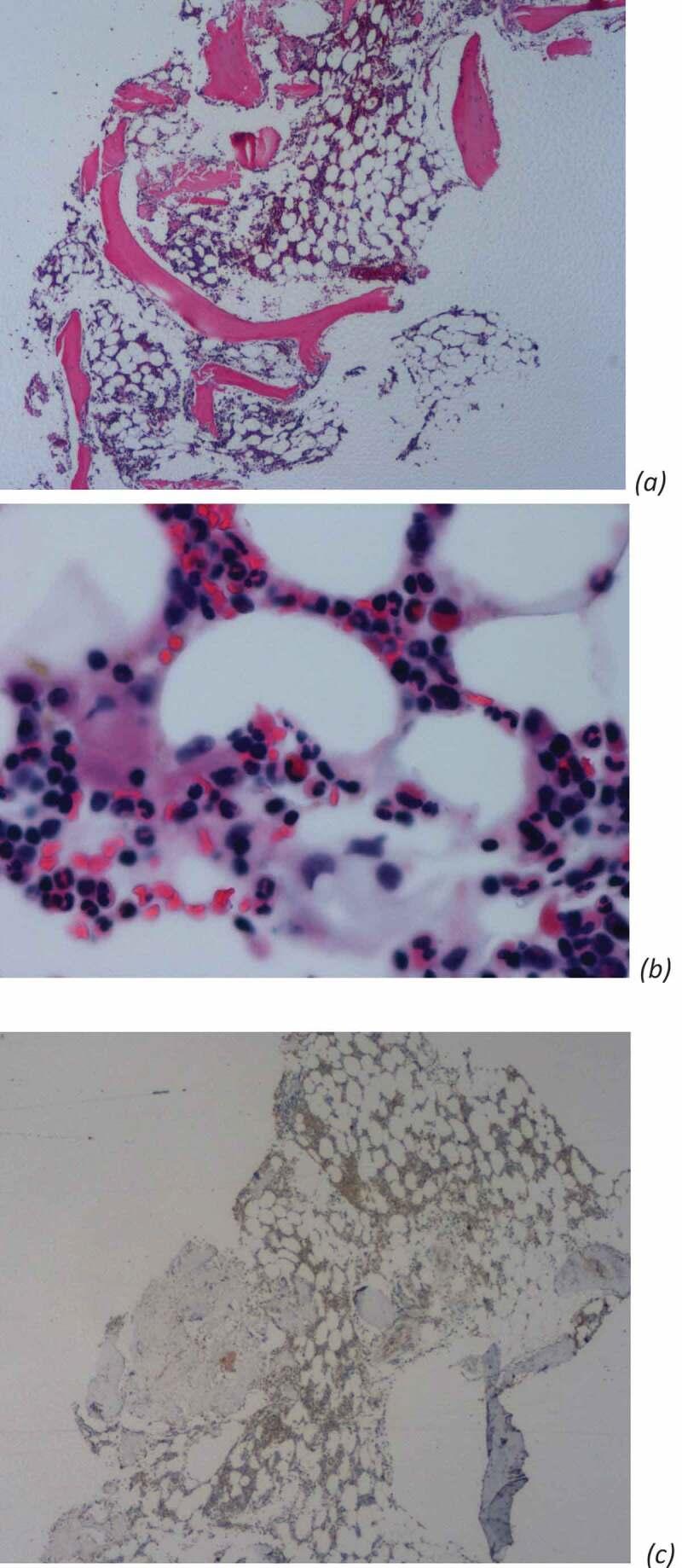
Pure red cell aplasia is an uncommon paraneoplastic syndrome of thymoma. Myasthenia gravis is the most common paraneoplastic syndrome associated with thymoma. We present a case of a 79-year-old Pacific Islander female who presented with profound fatigue, generalized weakness, significant unintentional weight loss, bilateral ptosis, and anemia. The bone marrow biopsy showed near absence of erythroid elements consistent with pure red cell aplasia. Ice-pack test was consistent with myasthenia gravis and computed tomography of the chest demonstrated a thymoma. The patient was started on immunosuppressive treatment with prednisone and cyclosporine. This case demonstrates a rare combination of paraneoplastic manifestations of thymoma: pure red cell aplasia and myasthenia gravis.

摘要

纯红细胞再生障碍性贫血是一种罕见的胸腺瘤副肿瘤综合征。重症肌无力是与胸腺瘤相关的最常见的副肿瘤综合征。我们报告一例79岁的太平洋岛民女性病例,该患者表现为极度疲劳、全身无力、明显的非故意体重减轻、双侧上睑下垂和贫血。骨髓活检显示几乎没有红系细胞成分,符合纯红细胞再生障碍性贫血。冰敷试验符合重症肌无力,胸部计算机断层扫描显示有胸腺瘤。患者开始接受泼尼松和环孢素的免疫抑制治疗。该病例显示了胸腺瘤副肿瘤表现的罕见组合:纯红细胞再生障碍性贫血和重症肌无力。

https://cdn.ncbi.nlm.nih.gov/pmc/blobs/5453/7431916/776660580a2c/ZJCH_A_1770019_F0001_OC.jpg

文献检索

告别复杂PubMed语法,用中文像聊天一样搜索,搜遍4000万医学文献。AI智能推荐,让科研检索更轻松。

立即免费搜索

文件翻译

保留排版,准确专业,支持PDF/Word/PPT等文件格式,支持 12+语言互译。

免费翻译文档

深度研究

AI帮你快速写综述,25分钟生成高质量综述,智能提取关键信息,辅助科研写作。

立即免费体验