Leonardi Joel, Saleh Christian, Jaszczuk Phillip, Blackham Kristine A, Zechel Sabrina, Wilmes Stefanie, Hund-Georgiadis Margret
REHAB Basel, Clinic for Neurorehabilitation and Paraplegiology, Basel, Switzerland.
Department of Radiology, Division of Diagnostic and Interventional Neuroradiology, University Hospital Basel, Basel, Switzerland.
Case Rep Neurol Med. 2019 Oct 31;2019:8074258. doi: 10.1155/2019/8074258. eCollection 2019.
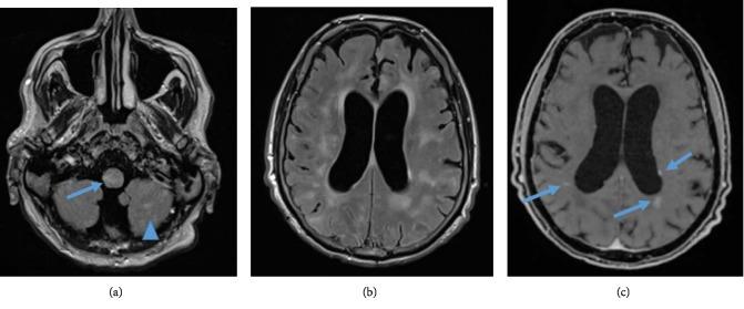
We present a case of a 54-year-old man with primary angiitis of the central nervous system (PACNS) who was initially admitted to a psychiatric clinic with a diagnosis of delirium. We discuss the difficulty in establishing the diagnosis of PACNS and provide the reader with some recommendations on how to promptly and correctly diagnose this disease in order to avoid potentially lethal outcomes.
我们报告一例54岁患有中枢神经系统原发性血管炎(PACNS)的男性病例,该患者最初因谵妄诊断被收治于精神科门诊。我们讨论了确立PACNS诊断的困难,并为读者提供一些关于如何迅速且正确诊断该病的建议,以避免潜在的致命后果。