• 文献检索
  • 文档翻译
  • 深度研究
  • 学术资讯
  • Suppr Zotero 插件Zotero 插件
  • 邀请有礼
  • 套餐&价格
  • 历史记录
应用&插件
Suppr Zotero 插件Zotero 插件浏览器插件Mac 客户端Windows 客户端微信小程序
定价
高级版会员购买积分包购买API积分包
服务
文献检索文档翻译深度研究API 文档MCP 服务
关于我们
关于 Suppr公司介绍联系我们用户协议隐私条款
关注我们

Suppr 超能文献

核心技术专利:CN118964589B侵权必究
粤ICP备2023148730 号-1Suppr @ 2026

文献检索

告别复杂PubMed语法,用中文像聊天一样搜索,搜遍4000万医学文献。AI智能推荐,让科研检索更轻松。

立即免费搜索

文件翻译

保留排版,准确专业,支持PDF/Word/PPT等文件格式,支持 12+语言互译。

免费翻译文档

深度研究

AI帮你快速写综述,25分钟生成高质量综述,智能提取关键信息,辅助科研写作。

立即免费体验

一种使用超声造影剂声诺维确定肝段的新方法。

A novel method to determine hepatic segments using Sonazoid, an ultrasound contrast agent.

作者信息

Ham Taehyuk, Jeon Joo Hee, Roh Younghoon, Lee Sungwook, Lee Sangyoon, Kwon Heejin, Cho Jin Han

机构信息

Department of Radiology, Dong-A University Hospital, Dong-A University College of Medicine, Busan, Korea.

Department of Surgery, Dong-A University Hospital, Dong-A University College of Medicine, Busan, Korea.

出版信息

Ultrasonography. 2020 Jan;39(1):94-101. doi: 10.14366/usg.19020. Epub 2019 Jul 21.

DOI:10.14366/usg.19020
PMID:31786906
原文链接:https://pmc.ncbi.nlm.nih.gov/articles/PMC6920615/
Abstract

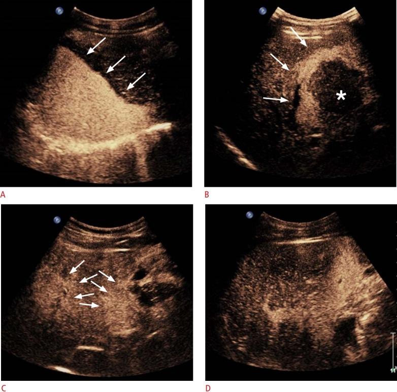
The conventional radiologic method for liver segmentation is based on the position of the hepatic and portal veins. However, during surgery, liver segments are resected based on the distribution of hepatic portal blood flow. This discrepancy can lead to a number of problems, such as miscommunication among clinicians, missing the location of the segment with the hepatic mass, and the risk of extended hepatic resection. We suggest a novel method to determine hepatic segments based on portal blood flow, as in the surgical approach, but by using high and low mechanical indexes in contrast-enhanced ultrasonography with Sonazoid. This approach is helpful for preoperatively determining hepatic segments and reducing the risk of missing the location of a hepatic tumor or extended hepatic resection.

摘要

传统的肝脏分割放射学方法是基于肝静脉和门静脉的位置。然而,在手术过程中,肝段是根据肝门静脉血流分布进行切除的。这种差异可能导致一些问题,如临床医生之间的沟通不畅、遗漏肝肿块所在肝段的位置以及扩大肝切除的风险。我们提出一种基于门静脉血流来确定肝段的新方法,如同手术方法一样,但通过在使用声诺维的超声造影中采用高、低机械指数。这种方法有助于术前确定肝段,并降低遗漏肝肿瘤位置或扩大肝切除的风险。

https://cdn.ncbi.nlm.nih.gov/pmc/blobs/f6ab/6920615/b13cee9f1bec/usg-19020f5.jpg
https://cdn.ncbi.nlm.nih.gov/pmc/blobs/f6ab/6920615/51ebb4343cc8/usg-19020f1.jpg
https://cdn.ncbi.nlm.nih.gov/pmc/blobs/f6ab/6920615/8e3f1ef9d105/usg-19020f2.jpg
https://cdn.ncbi.nlm.nih.gov/pmc/blobs/f6ab/6920615/47c2b43174c1/usg-19020f3.jpg
https://cdn.ncbi.nlm.nih.gov/pmc/blobs/f6ab/6920615/9d5a61b4d8f2/usg-19020f4.jpg
https://cdn.ncbi.nlm.nih.gov/pmc/blobs/f6ab/6920615/b13cee9f1bec/usg-19020f5.jpg
https://cdn.ncbi.nlm.nih.gov/pmc/blobs/f6ab/6920615/51ebb4343cc8/usg-19020f1.jpg
https://cdn.ncbi.nlm.nih.gov/pmc/blobs/f6ab/6920615/8e3f1ef9d105/usg-19020f2.jpg
https://cdn.ncbi.nlm.nih.gov/pmc/blobs/f6ab/6920615/47c2b43174c1/usg-19020f3.jpg
https://cdn.ncbi.nlm.nih.gov/pmc/blobs/f6ab/6920615/9d5a61b4d8f2/usg-19020f4.jpg
https://cdn.ncbi.nlm.nih.gov/pmc/blobs/f6ab/6920615/b13cee9f1bec/usg-19020f5.jpg

相似文献

1
A novel method to determine hepatic segments using Sonazoid, an ultrasound contrast agent.一种使用超声造影剂声诺维确定肝段的新方法。
Ultrasonography. 2020 Jan;39(1):94-101. doi: 10.14366/usg.19020. Epub 2019 Jul 21.
2
Contrast-enhanced ultrasonography using Sonazoid to evaluate changes in hepatic hemodynamics in acute liver injury.声诺维超声造影评估急性肝损伤肝血流动力学变化。
J Gastroenterol Hepatol. 2011 Dec;26(12):1749-56. doi: 10.1111/j.1440-1746.2011.06790.x.
3
Effect of obstructive jaundice on hepatic hemodynamics: use of Sonazoid-enhanced ultrasonography in a prospective study of the blood flow balance between the hepatic portal vein and hepatic artery.梗阻性黄疸对肝脏血流动力学的影响:在一项关于肝门静脉与肝动脉血流平衡的前瞻性研究中使用声诺维增强超声检查
J Med Ultrason (2001). 2015 Oct;42(4):513-20. doi: 10.1007/s10396-015-0629-1. Epub 2015 Apr 8.
4
Characterization of tumor imaging with microbubble-based ultrasound contrast agent, sonazoid, in rabbit liver.基于微泡的超声造影剂声诺维在兔肝脏肿瘤成像中的特性研究
Biol Pharm Bull. 2005 Jun;28(6):972-7. doi: 10.1248/bpb.28.972.
5
Diagnosis of hepatic hemangioma by parametric imaging using sonazoid-enhanced US.使用声诺维增强超声通过参数成像诊断肝血管瘤。
Hepatogastroenterology. 2011 Sep-Oct;58(110-111):1431-5. doi: 10.5754/hge10006. Epub 2011 Jul 15.
6
Sonazoid-enhanced ultrasonography for diagnosis of hepatic malignancies: comparison with contrast-enhanced CT.用于诊断肝脏恶性肿瘤的声诺维增强超声检查:与对比增强CT的比较
Oncology. 2008;75 Suppl 1:42-7. doi: 10.1159/000173423. Epub 2008 Dec 17.
7
Contrast-enhanced ultrasonography is a feasible technique for quantifying hepatic microvascular perfusion in dogs with extrahepatic congenital portosystemic shunts.超声造影是一种用于量化患有肝外先天性门体分流的犬肝脏微血管灌注的可行技术。
Vet Radiol Ultrasound. 2019 Mar;60(2):192-200. doi: 10.1111/vru.12699. Epub 2018 Dec 9.
8
Usefulness of intraoperative diagnosis of hepatic tumors located at the liver surface and hepatic segmental visualization using indocyanine green-photodynamic eye imaging.应用吲哚菁绿-光动力眼成像术中诊断肝表面和肝段肿瘤的实用性。
Eur J Surg Oncol. 2015 Feb;41(2):257-64. doi: 10.1016/j.ejso.2014.09.008. Epub 2014 Oct 18.
9
Assessment of global liver blood flow with quantitative dynamic contrast-enhanced ultrasound.使用定量动态对比增强超声评估肝脏整体血流情况。
J Ultrasound Med. 2011 Mar;30(3):379-85. doi: 10.7863/jum.2011.30.3.379.
10
Low mechanical index contrast mode versus high mechanical index contrast mode: which is a more sensitive method for detecting Sonazoid microbubbles in the liver of normal subjects?低机械指数对比模式与高机械指数对比模式:哪种是检测正常受试者肝脏中索拉佐德微泡更灵敏的方法?
J Med Ultrason (2001). 2016 Apr;43(2):211-7. doi: 10.1007/s10396-015-0685-6. Epub 2015 Nov 14.

引用本文的文献

1
Diagnostic Value of Contrast-Enhanced Ultrasound for Evaluation of Transjugular Intrahepatic Portosystemic Shunt Perfusion.超声造影评估经颈静脉肝内门体分流术灌注的诊断价值
Diagnostics (Basel). 2021 Sep 1;11(9):1593. doi: 10.3390/diagnostics11091593.
2
Superb microvascular imaging technology of ultrasound examinations for the evaluation of tumor vascularity in hepatic hemangiomas.用于评估肝血管瘤肿瘤血管的超声检查的精湛微血管成像技术。
Ultrasonography. 2021 Oct;40(4):538-545. doi: 10.14366/usg.20177. Epub 2021 Feb 14.
3
Clinical applications of Doppler ultrasonography for thyroid disease: consensus statement by the Korean Society of Thyroid Radiology.

本文引用的文献

1
Contrast-enhanced ultrasonography: advance and current status in abdominal imaging.超声造影:腹部影像学的进展与现状。
Ultrasonography. 2015 Jan;34(1):3-18. doi: 10.14366/usg.14034. Epub 2014 Sep 12.
2
Liver segmentation: practical tips.肝脏分割:实用技巧。
Diagn Interv Imaging. 2014 Nov;95(11):1003-16. doi: 10.1016/j.diii.2013.11.004. Epub 2013 Dec 30.
3
Anatomy of the liver: an outline with three levels of complexity--a further step towards tailored territorial liver resections.肝脏解剖:三个层次的复杂性概述——迈向个体化肝段切除术的又一步。
多普勒超声在甲状腺疾病中的临床应用:韩国甲状腺放射学会共识声明
Ultrasonography. 2020 Oct;39(4):315-330. doi: 10.14366/usg.20072. Epub 2020 Aug 25.
J Hepatol. 2014 Mar;60(3):654-62. doi: 10.1016/j.jhep.2013.10.026. Epub 2013 Nov 6.
4
Current consensus and guidelines of contrast enhanced ultrasound for the characterization of focal liver lesions.当前关于对比增强超声在局灶性肝脏病变特征描述中的共识和指南。
Clin Mol Hepatol. 2013 Mar;19(1):1-16. doi: 10.3350/cmh.2013.19.1.1. Epub 2013 Mar 25.
5
Techniques of hepatic resection.肝切除术技术。
J Gastrointest Oncol. 2012 Mar;3(1):28-40. doi: 10.3978/j.issn.2078-6891.2012.006.
6
Glissonean pedicle transection method for liver surgery (with video).Glissonean 蒂横断法在肝外科中的应用(附有视频)。
J Hepatobiliary Pancreat Sci. 2012 Jan;19(1):3-8. doi: 10.1007/s00534-011-0443-0.
7
Contrast enhanced ultrasound of hepatocellular carcinoma.肝细胞癌的超声造影
World J Radiol. 2010 Feb 28;2(2):68-82. doi: 10.4329/wjr.v2.i2.68.
8
Characterization of focal liver lesions with contrast-enhanced ultrasound.肝脏局灶性病变的超声造影特征。
Ultrasound Med Biol. 2010 Apr;36(4):531-50. doi: 10.1016/j.ultrasmedbio.2010.01.004.
9
Vascular clamping in liver surgery: physiology, indications and techniques.肝脏手术中的血管钳夹:生理学、适应证及技术
Ann Surg Innov Res. 2010 Mar 26;4:2. doi: 10.1186/1750-1164-4-2.
10
Sonazoid-enhanced ultrasonography for evaluation of the enhancement patterns of focal liver tumors in the late phase by intermittent imaging with a high mechanical index.使用高机械指数进行间歇性成像的声诺维增强超声检查,以评估肝脏局灶性肿瘤晚期的增强模式。
J Ultrasound Med. 2009 Apr;28(4):439-48. doi: 10.7863/jum.2009.28.4.439.