Suppr超能文献

一名糖尿病患者气肿性骨髓炎和气肿性肾盂肾炎的同时诊断

Simultaneous Diagnosis of Emphysematous Osteomyelitis and Emphysematous Pyelonephritis in a Diabetic Patient.

作者信息

Tatakis Fotios-Panagiotis, Kyriazis Ioannis, Panagiotopoulou Ioulia-Eleni, Kalafatis Emmanuel, Mantzikopoulos Georgios, Polyzos Konstantinos, Kachrimanidis Ioannis, Vogiatzakis Anastasios M, Rellou Sofia, Manta Eleni, Tzaki Maria, Papaioannou Vassiliki, Lelekis Moyssis

机构信息

Department of Internal Medicine, KAT General Hospital of Attica, Kifissia, Greece.

Diabetes and Obesity Outpatient Clinic, KAT General Hospital of Attica, Kifissia, Greece.

出版信息

Am J Case Rep. 2019 Dec 2;20:1793-1796. doi: 10.12659/AJCR.920006.

Abstract

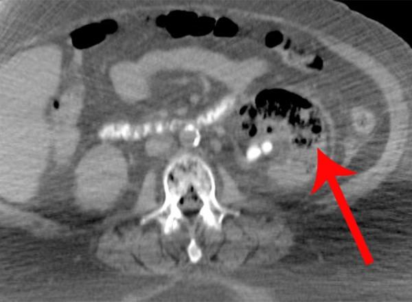
BACKGROUND Emphysematous osteomyelitis of the spine is characterized by intravertebral or intraosseous air. Emphysematous pyelonephritis (EP) is the infection of the renal parenchyma and perirenal tissues caused by gas forming microorganisms and thus is characterized by gas formation. Prompt diagnosis and initiation of necessary treatment is crucial, as both entities are associated with high mortality rates. CASE REPORT A 57-year-old female with uncontrolled hyperglycemia presented to the emergency department with history of sudden onset of weakness, nausea, vomiting and diarrhea for 3 days and with a fall on the same level the previous day. Laboratory examinations revealed leukocytosis, lymphopenia, thrombocytopenia, deteriorated renal function, and hyperglycemic hyperosmolar non-ketotic state. She was placed on aggressive intravenous hydration and insulin infusion pump. Due to the deterioration of her medical condition, she underwent abdominal and pelvic CT scanning that revealed emphysematous osteomyelitis of the spine and emphysematous pyelonephritis. Despite vigorous fluid resuscitation and systemic broad-spectrum antibiotic therapy, the patient's condition deteriorated further and eventually led to death within 48 h. CONCLUSIONS This case of fatal emphysematous osteomyelitis of the spine and EP serves as a significant reminder of those rare life-threatening entities, which affect patients with comorbidities, such as diabetes mellitus and other etiologies causing immunosuppression. The aim of the present case report is to highlight the importance and contribution of computed tomography in diagnosing these conditions and to emphasize the rare coexistence of these 2 emphysematous entities.

摘要

背景 脊柱气肿性骨髓炎的特征是椎体内或骨内出现气体。气肿性肾盂肾炎(EP)是由产气微生物引起的肾实质和肾周组织感染,其特征是形成气体。及时诊断并开始必要的治疗至关重要,因为这两种病症都与高死亡率相关。病例报告 一名57岁女性,血糖控制不佳,因突发乏力、恶心、呕吐和腹泻3天,且前一天在同一水平摔倒,就诊于急诊科。实验室检查显示白细胞增多、淋巴细胞减少、血小板减少、肾功能恶化以及高血糖高渗非酮症状态。她接受了积极的静脉补液和胰岛素输注泵治疗。由于病情恶化,她接受了腹部和盆腔CT扫描,结果显示脊柱气肿性骨髓炎和气肿性肾盂肾炎。尽管进行了积极的液体复苏和全身广谱抗生素治疗,但患者病情进一步恶化,最终在48小时内死亡。结论 这例致命的脊柱气肿性骨髓炎和EP病例显著提醒人们注意这些罕见的危及生命的病症,它们会影响患有合并症的患者,如糖尿病和其他导致免疫抑制的病因。本病例报告的目的是强调计算机断层扫描在诊断这些病症中的重要性和作用,并强调这两种气肿性病症罕见的共存情况。

https://cdn.ncbi.nlm.nih.gov/pmc/blobs/2ef0/6913288/366f66908e14/amjcaserep-20-1793-g001.jpg

文献AI研究员

20分钟写一篇综述,助力文献阅读效率提升50倍。

立即体验

用中文搜PubMed

大模型驱动的PubMed中文搜索引擎

马上搜索

文档翻译

学术文献翻译模型,支持多种主流文档格式。

立即体验