Suppr超能文献

适用于乳腺白血病复发的呼吸适配放射治疗:一例报告。

Breathing adapted radiation therapy for leukemia relapse in the breast: A case report.

作者信息

Sager Omer, Dincoglan Ferrat, Demiral Selcuk, Uysal Bora, Gamsiz Hakan, Ozcan Fatih, Colak Onurhan, Elcim Yelda, Dirican Bahar, Beyzadeoglu Murat

机构信息

Department of Radiation Oncology, Gulhane Medical Faculty, University of Health Sciences, Ankara 06018, Turkey.

出版信息

World J Clin Oncol. 2019 Nov 24;10(11):369-374. doi: 10.5306/wjco.v10.i11.369.

Abstract

BACKGROUND

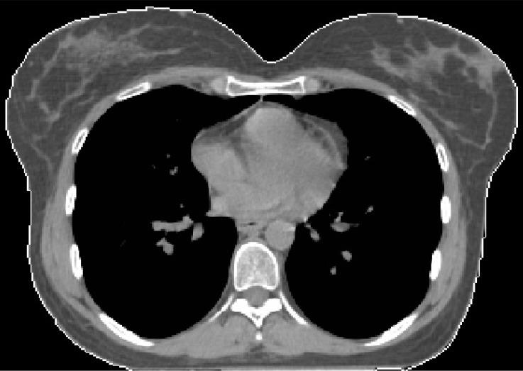
Infiltration of the breast by leukemic cells is uncommon but may manifest as an oncological emergency requiring prompt management. Extramedullary relapse of T-cell acute lymphoblastic leukemia (T-ALL) within the breast is exceedingly rare and there is paucity of data in the literature regarding this entity. No consensus exists on management of isolated extramedullary breast relapses of T-ALL. Herein, we report a case of isolated extramedullary breast relapse of T-ALL treated with breathing adapted radiation therapy (BART) using the active breathing control (ABC) system.

CASE SUMMARY

The patient was a 33-year-old female with diagnosis of T-ALL. She received intensive systemic chemotherapy that resulted in complete remission of her disease, and then underwent allogeneic hematopoietic stem cell transplantation. After a 15 mo period without symptoms and signs of progression, the patient presented with palpable masses in both breasts. She complained from severe pain and swelling of the breasts. Imaging workup showed bilateral breast lesions, and diagnosis of breast infiltration by leukemic cells was confirmed after immunohistopathological evaluation. The patient suffering from severe pain, discomfort, and swelling of both breasts due to leukemic infiltration was referred to the Radiation Oncology Department for symptomatic palliation. Whole breast irradiation was delivered to both breasts of the patient with BART using the ABC system. The patient had complete resolution of her symptoms after treatment with BART.

CONCLUSION

BART with the ABC system resulted in complete resolution of the patient's symptoms due to leukemic infiltration of both breasts with T-ALL. This contemporary treatment technique should be preferred for radiotherapeutic management of patients with leukemic infiltration of the breasts to achieve effective symptomatic palliation.

摘要

背景

白血病细胞浸润乳腺并不常见,但可能表现为需要及时处理的肿瘤急症。T 细胞急性淋巴细胞白血病(T-ALL)在乳腺内的髓外复发极为罕见,且文献中关于此实体的数据匮乏。对于 T-ALL 孤立性髓外乳腺复发的治疗尚无共识。在此,我们报告一例采用主动呼吸控制(ABC)系统的适形调强放疗(BART)治疗的 T-ALL 孤立性髓外乳腺复发病例。

病例摘要

患者为一名 33 岁女性,诊断为 T-ALL。她接受了强化全身化疗,疾病完全缓解,随后进行了异基因造血干细胞移植。在 15 个月无症状且无疾病进展迹象后,患者双侧乳房出现可触及肿块。她主诉乳房剧痛和肿胀。影像学检查显示双侧乳房病变,免疫组织病理学评估后确诊为白血病细胞浸润乳腺。因白血病浸润导致双侧乳房严重疼痛、不适和肿胀的患者被转诊至放疗科进行症状缓解治疗。使用 ABC 系统的 BART 对患者双侧乳房进行了全乳照射。患者经 BART 治疗后症状完全缓解。

结论

采用 ABC 系统的 BART 使因 T-ALL 双侧乳房白血病浸润导致的患者症状完全缓解。对于白血病浸润乳腺患者的放射治疗管理,应首选这种现代治疗技术以实现有效的症状缓解。

https://cdn.ncbi.nlm.nih.gov/pmc/blobs/4ce8/6895000/ddb22b8f5723/WJCO-10-369-g001.jpg

文献AI研究员

20分钟写一篇综述,助力文献阅读效率提升50倍。

立即体验

用中文搜PubMed

大模型驱动的PubMed中文搜索引擎

马上搜索

文档翻译

学术文献翻译模型,支持多种主流文档格式。

立即体验