Garrido Maritza P, Hurtado Iván, Valenzuela-Valderrama Manuel, Salvatierra Renato, Hernández Andrea, Vega Margarita, Selman Alberto, Quest Andrew F G, Romero Carmen
Laboratorio de Endocrinología y Biología de la Reproducción, Hospital Clínico Universidad de Chile, Santiago 8380456, Chile.
Departamento de Obstetricia y Ginecología, Facultad de Medicina, Universidad de Chile, Santiago 8380453, Chile.
Cancers (Basel). 2019 Dec 7;11(12):1970. doi: 10.3390/cancers11121970.
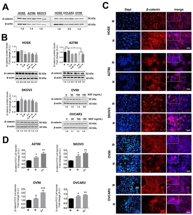
Epithelial ovarian cancer (EOC) is a lethal gynecological neoplasia characterized by extensive angiogenesis and overexpression of nerve growth factor (NGF). Here, we investigated the mechanism by which NGF increases vascular endothelial growth factor (VEGF) expression and the vasculogenic potential of EOC cells, as well as the contribution of the cyclooxygenase 2/prostaglandin E (COX-2/PGE) signaling axis to these events. EOC biopsies and ovarian cell lines were used to determine COX-2 and PGE levels, as well as those of the potentially pro-angiogenic proteins c-MYC (a member of the Myc transcription factors family), survivin, and β-catenin. We observed that COX-2 and survivin protein levels increased during EOC progression. In the EOC cell lines, NGF increased the COX-2 and PGE levels. In addition, NGF increased survivin, c-MYC, and VEGF protein levels, as well as the transcriptional activity of c-MYC and β-catenin/T-cell factor/lymphoid enhancer-binding factor (TCF-Lef) in a Tropomyosin receptor kinase A (TRKA)-dependent manner. Also, COX-2 inhibition prevented the NGF-induced increases in these proteins and reduced the angiogenic score of endothelial cells stimulated with conditioned media from EOC cells. In summary, we show here that the pro-angiogenic effect of NGF in EOC depends on the COX-2/PGE2 signaling axis. Thus, inhibition COX-2/PGE2 signaling will likely be beneficial in the treatment of EOC.
上皮性卵巢癌(EOC)是一种致命的妇科肿瘤,其特征为广泛的血管生成和神经生长因子(NGF)的过表达。在此,我们研究了NGF增加血管内皮生长因子(VEGF)表达及EOC细胞血管生成潜能的机制,以及环氧合酶2/前列腺素E(COX-2/PGE)信号轴在这些事件中的作用。使用EOC活检组织和卵巢细胞系来测定COX-2和PGE水平,以及潜在的促血管生成蛋白c-MYC(Myc转录因子家族成员)、生存素和β-连环蛋白的水平。我们观察到在EOC进展过程中COX-2和生存素蛋白水平升高。在EOC细胞系中,NGF增加了COX-2和PGE水平。此外,NGF以原肌球蛋白受体激酶A(TRKA)依赖的方式增加了生存素、c-MYC和VEGF蛋白水平,以及c-MYC和β-连环蛋白/T细胞因子/淋巴样增强因子结合因子(TCF-Lef)的转录活性。而且,COX-2抑制可阻止NGF诱导的这些蛋白增加,并降低用EOC细胞条件培养基刺激的内皮细胞的血管生成评分。总之,我们在此表明NGF在EOC中的促血管生成作用取决于COX-2/PGE2信号轴。因此,抑制COX-2/PGE2信号可能对EOC治疗有益。