Suppr超能文献

P388D1细胞中溶酶体与含有瑞氏埃立克体的吞噬体缺乏融合:土霉素抑制作用的消除。

Lack of lysosomal fusion with phagosomes containing Ehrlichia risticii in P388D1 cells: abrogation of inhibition with oxytetracycline.

作者信息

Wells M Y, Rikihisa Y

机构信息

Department of Veterinary Pathobiology, College of Veterinary Medicine, Ohio State University, Columbus 43210-1092.

出版信息

Infect Immun. 1988 Dec;56(12):3209-15. doi: 10.1128/iai.56.12.3209-3215.1988.

Abstract

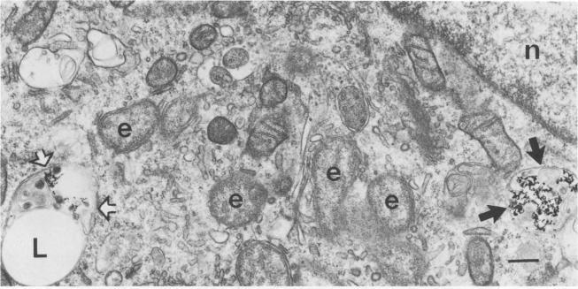
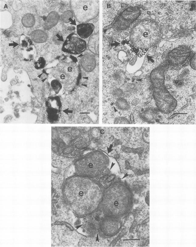
Fusion of lysosomes with phagosomes containing Ehrlichia risticii, an obligate intracellular parasite, was evaluated in P388D1 murine macrophagelike cells. Lysosomes in cells ranging in infectivity from 30 to 70% were labeled cytochemically with acid phosphatase or via endocytosis of thorium dioxide or cationized ferritin to document phagosome-lysosome (P-L) fusion in untreated cells and cells treated with oxytetracycline. Regardless of the marker used, P-L fusion was generally not observed in E. risticii-containing vacuoles in untreated cells, while significantly greater P-L fusion with ehrlichia-containing vacuoles was observed after oxytetracycline treatment. When latex beads were introduced into uninfected cell cultures, P-L fusion was observed with vacuoles containing latex. Fusion of lysosomes with latex-containing vacuoles in cells was significantly greater than fusion of lysosomes with ehrlichia-containing vacuoles in the same infected cells. These findings indicate that E. risticii is able to inhibit P-L fusion, whereas oxytetracycline deprives organisms of this ability.

摘要

在P388D1小鼠巨噬样细胞中评估了溶酶体与含有里氏埃立克体(一种专性细胞内寄生虫)的吞噬体的融合情况。用酸性磷酸酶对感染率在30%至70%的细胞中的溶酶体进行细胞化学标记,或通过二氧化钍或阳离子化铁蛋白的内吞作用进行标记,以记录未处理细胞和土霉素处理细胞中的吞噬体-溶酶体(P-L)融合情况。无论使用何种标记物,在未处理细胞中含里氏埃立克体的液泡中通常未观察到P-L融合,而在土霉素处理后观察到与含埃立克体液泡的P-L融合显著增加。当将乳胶珠引入未感染的细胞培养物中时,观察到与含乳胶液泡的P-L融合。细胞中溶酶体与含乳胶液泡的融合显著大于同一感染细胞中溶酶体与含埃立克体液泡的融合。这些发现表明,里氏埃立克体能够抑制P-L融合,而土霉素使该生物体丧失了这种能力。

https://cdn.ncbi.nlm.nih.gov/pmc/blobs/44e7/259726/38cff16e805d/iai00084-0209-a.jpg

文献AI研究员

20分钟写一篇综述,助力文献阅读效率提升50倍。

立即体验

用中文搜PubMed

大模型驱动的PubMed中文搜索引擎

马上搜索

文档翻译

学术文献翻译模型,支持多种主流文档格式。

立即体验