Suppr超能文献

胰腺浆液性-神经内分泌混合性肿瘤:一例报告并文献复习

Mixed serous-neuroendocrine neoplasm of the pancreas: A case report and review of the literature.

作者信息

Xu Yue-Mei, Li Zhi-Wen, Wu Hong-Yan, Fan Xiang-Shan, Sun Qi

机构信息

Department of Pathology, Nanjing Drum Tower Hospital, The Affiliated Hospital of Nanjing University Medical School, Nanjing 210008, Jiangsu Province, China.

出版信息

World J Clin Cases. 2019 Dec 6;7(23):4119-4129. doi: 10.12998/wjcc.v7.i23.4119.

Abstract

BACKGROUND

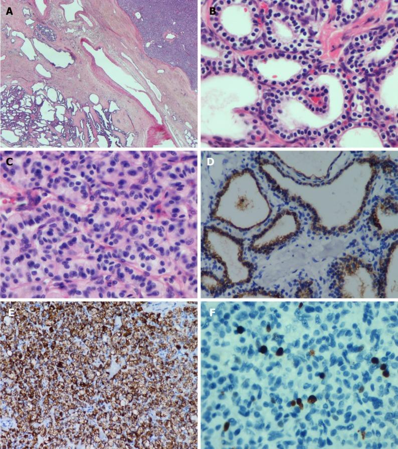
Pancreatic mixed serous-neuroendocrine neoplasms (MSNNs) are mixed tumors containing two components with different pathologies, namely, pancreatic serous cystic neoplasm (PSCN) and pancreatic neuroendocrine tumor (PanNET). For MSNNs, diffuse PSCN involving the whole pancreas is extremely rare, with only eight previous case reports.

CASE SUMMARY

A 45-year-old Chinese woman, with a free previous medical history and no obvious symptoms, was found to have a pancreatic neoplasm and admitted to our hospital for further diagnosis in March 2018. Abdominal palpation revealed a painless, mobile mass in the epigastrium, and no abnormalities were observed in an examination of the nervous system and ocular system. A computed tomography scan showed multiple cystic lesions involving the whole pancreas ranging in diameter from 0.4 to 2 cm and also revealed an enhanced mass, 2.2 cm in diameter, in the head of the pancreas. Moreover, multiple cysts were found in the kidneys bilaterally, and the right lobe of the liver contained a small cyst. A Whipple operation with total pancreatectomy and splenectomy was performed. A diagnosis of pancreatic MSNN was established, consisting of diffuse serous microcystic cystadenoma with a concomitant grade 2 PanNET. Of note, the patient had no personal or family history of Von Hippel-Lindau syndrome or other disease.

CONCLUSION

We report the first case of MSNN with a diffuse PSCN component involving the entire pancreas in a Chinese woman. It is important to be aware of its relationship with VHL syndrome, and close clinical follow-up is recommended.

摘要

背景

胰腺浆液性-神经内分泌混合性肿瘤(MSNNs)是一种包含两种不同病理成分的混合性肿瘤,即胰腺浆液性囊性肿瘤(PSCN)和胰腺神经内分泌肿瘤(PanNET)。对于MSNNs,弥漫性PSCN累及整个胰腺极为罕见,此前仅有8例病例报告。

病例摘要

一名45岁中国女性,既往无病史且无明显症状,2018年3月因发现胰腺肿瘤入院进一步诊断。腹部触诊发现上腹部有一无痛、可移动肿块,神经系统和眼部系统检查未发现异常。计算机断层扫描显示整个胰腺有多个直径从0.4到2厘米的囊性病变,同时还发现胰腺头部有一个直径2.2厘米的强化肿块。此外,双侧肾脏发现多个囊肿,肝脏右叶有一个小囊肿。进行了胰十二指肠切除术、全胰切除术和脾切除术。诊断为胰腺MSNN,由弥漫性浆液性微囊性囊腺瘤伴发2级PanNET组成。值得注意的是,该患者无Von Hippel-Lindau综合征或其他疾病的个人或家族史。

结论

我们报告了首例中国女性MSNN,其弥漫性PSCN成分累及整个胰腺。认识到其与VHL综合征的关系很重要,建议密切临床随访。

https://cdn.ncbi.nlm.nih.gov/pmc/blobs/9501/6906574/9c683fbfaccf/WJCC-7-4119-g001.jpg

文献AI研究员

20分钟写一篇综述,助力文献阅读效率提升50倍。

立即体验

用中文搜PubMed

大模型驱动的PubMed中文搜索引擎

马上搜索

文档翻译

学术文献翻译模型,支持多种主流文档格式。

立即体验