Suppr超能文献

A case of sigmoid colon perforation presenting with pneumomediastinum.

作者信息

Kuroda Yukihito, Hisakura Katsuji, Akashi Yoshimasa, Enomoto Tsuyoshi, Oda Tatsuya

机构信息

Department of Gastrointestinal and Hepato-Biliary-Pancreatic Surgery, Faculty of Medicine, University of Tsukuba, Tsukuba, Ibaraki 305-8575, Japan.

出版信息

J Surg Case Rep. 2019 Dec 17;2019(12):rjz359. doi: 10.1093/jscr/rjz359. eCollection 2019 Dec.

Abstract

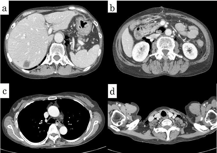
A 62-year-old woman had developed polymyositis 12 years previously and had taken oral steroids. Chest and abdominal computed tomography showed pneumomediastinum and free air in the abdominal cavity. Although a colon perforation was suspected, the perforation site could not be identified on the image. In addition, a diagnosis of oesophageal rupture could not be excluded from the findings of pneumomediastinum. After general anaesthesia, an upper gastrointestinal endoscopy was performed before surgery. Because there was no obvious perforation in the oesophagus, a laparotomy approach was used. A perforation was found on the mesentery side of the sigmoid colon, and a perforation of the sigmoid colon's diverticulum towards the mesentery was diagnosed. A Hartmann's procedure was performed. Colon perforations are rarely associated with pneumomediastinum. Preoperative endoscopy is useful to help diagnose and determine the surgical procedure if an obvious perforation cannot be identified.

摘要
https://cdn.ncbi.nlm.nih.gov/pmc/blobs/775b/6917471/20c0978ecb05/rjz359f1.jpg

文献AI研究员

20分钟写一篇综述,助力文献阅读效率提升50倍。

立即体验

用中文搜PubMed

大模型驱动的PubMed中文搜索引擎

马上搜索

文档翻译

学术文献翻译模型,支持多种主流文档格式。

立即体验