Suppr超能文献

三氟醋酸非沙普肽可诱导大鼠前列腺腺泡发生选择性药物消融。

Fexapotide Triflutate Induces Selective Prostate Glandular Pharmaco-Ablation in the Rat.

作者信息

Averback Paul, Gohal Rajna, Fuska Marta, Prins Kathleen, Wang Ping

机构信息

Nymox Corporation, Montreal, QC, Canada.

出版信息

Res Rep Urol. 2019 Dec 20;11:343-350. doi: 10.2147/RRU.S231334. eCollection 2019.

Abstract

INTRODUCTION

A clinical challenge for interventional prostate treatments for localized prostate cancer has been to elicit cancer tissue eradication which can avoid undesirable toxicities and irreparable damage to adjacent structures. Fexapotide triflutate (FT) has been shown in human clinical trials to be a well-tolerated pharmaco-ablative agent with therapeutic benefit in patients with prostate enlargement and low-grade prostate cancer.

METHODS

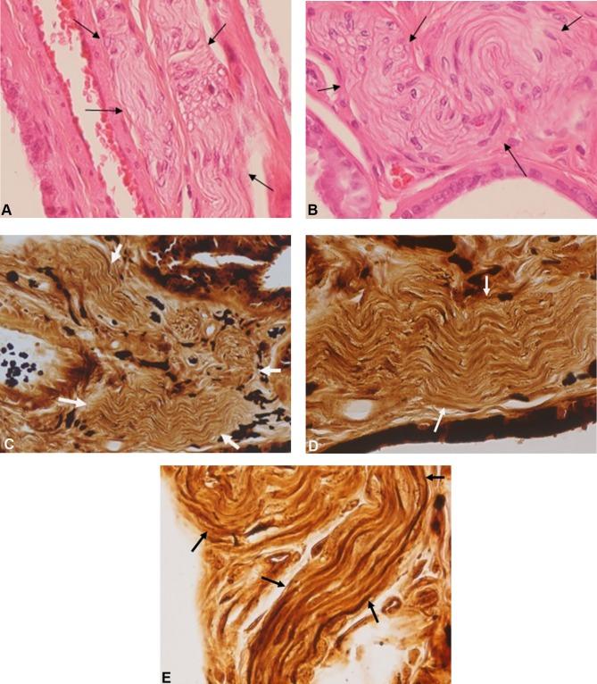
Studies were undertaken in vitro and in the normal male rat to characterize and quantify selective ablation of prostate glandular cells exposed to fexapotide triflutate (FT) injections. N=371 2-month-old Sprague Dawley rats received direct intraprostatic injections under ether anesthesia with laparotomy (n=268 given 0.3 mL FT 0.1-2.0 mg/mL at varied schedules, and n=103 controls), and were sacrificed at intervals of 24 hr-12 months, with measurements of prostate volume, assessments of apoptosis, prostatic nerve structures, connective tissue stroma, and vasculature. In vitro prostate cell lines treated with FT were studied by electron microscopy and RNA quantification.

RESULTS

Evidence shows that FT leads to prostate glandular cell loss not found in controls, by apoptosis within 24-72 hrs that is highly selective for achieving near-total loss of glandular epithelium at 6 to 12 months, without any adverse microscopic effects to adjacent periprostatic nerves, vascular elements, and stroma.

CONCLUSION

Histological studies in the rat demonstrate that FT ablative effect is selective for prostate glandular epithelium, sparing adjacent tissues and structures in the prostate including nerves, vasculature, and stroma.

摘要

引言

局部前列腺癌介入治疗面临的一项临床挑战是根除癌组织,同时避免对相邻结构产生不良毒性和不可修复的损伤。在人类临床试验中,三氟醋酸非沙肽(FT)已被证明是一种耐受性良好的药物消融剂,对前列腺增生和低级别前列腺癌患者具有治疗益处。

方法

进行了体外研究和对正常雄性大鼠的研究,以表征和量化接受三氟醋酸非沙肽(FT)注射的前列腺腺细胞的选择性消融。371只2个月大的Sprague Dawley大鼠在乙醚麻醉下经剖腹术接受前列腺内直接注射(n = 268只按不同方案给予0.3 mL 0.1 - 2.0 mg/mL的FT,n = 103只为对照组),并在24小时至12个月的间隔时间处死,测量前列腺体积,评估细胞凋亡、前列腺神经结构、结缔组织基质和脉管系统。对用FT处理的体外前列腺细胞系进行了电子显微镜和RNA定量研究。

结果

有证据表明,FT导致对照组未出现的前列腺腺细胞丢失,在24 - 72小时内通过细胞凋亡实现,这种凋亡在6至12个月时对实现腺上皮几乎完全丢失具有高度选择性,且对相邻的前列腺周围神经、血管成分和基质没有任何不良微观影响。

结论

对大鼠的组织学研究表明,FT的消融作用对前列腺腺上皮具有选择性,可使前列腺内包括神经、脉管系统和基质在内的相邻组织和结构免受影响。

https://cdn.ncbi.nlm.nih.gov/pmc/blobs/919d/6929934/8dbbbca3ca35/RRU-11-343-g0001.jpg

文献AI研究员

20分钟写一篇综述,助力文献阅读效率提升50倍。

立即体验

用中文搜PubMed

大模型驱动的PubMed中文搜索引擎

马上搜索

文档翻译

学术文献翻译模型,支持多种主流文档格式。

立即体验