Suppr超能文献

儿童膝关节周围骨肉瘤定制可延长假体保肢治疗的长期结果。

Long-term outcomes of limb salvage treatment with custom-made extendible endoprosthesis for bone sarcoma around the knee in children.

机构信息

Department of Musculoskeletal Oncology, The First Affiliated Hospital of Sun Yat-Sen University, 58#, Zhongshan 2 Road, Guangzhou, 510080, China.

Guangdong Provincial Key Laboratory of Orthopedics and Traumatology, The First Affiliated Hospital of Sun Yat-sen University, 58#, Zhongshan 2 Road, Guangzhou, 510080, China.

出版信息

J Orthop Surg Res. 2020 Jan 16;15(1):14. doi: 10.1186/s13018-019-1534-x.

Abstract

BACKGROUND

Limb salvage for bone sarcoma around the knee in skeletally immature children is challenging because of interference on two critical growth plates in the lower limb. This retrospective study aims to evaluate long-term outcomes and influence on growth of the lower limb of the cemented extendible endoprostheses.

METHODS

Forty-five children with bone sarcoma around the knee, who underwent custom-made extendible endoprosthesis replacements, were included in this study. The average follow-up was 10.1 years. Survival, prosthetic-related complications and revision, functional outcomes, and influence on growth by prosthesis implantation were recorded.

RESULTS

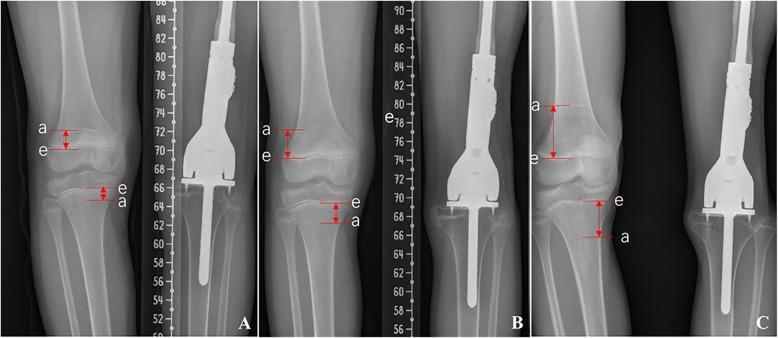
The 5-year disease-free survival and overall survival are 54.9% and 72.7%, and the 5-year prosthesis survival rate is 59.4%. The prosthesis was extended 4.2 cm in average. Limb length discrepancies of 20 patients were within 2 cm, and growth inhibition of proximal tibial epiphysis by passive implant insertion was observed. Aseptic loosening in 7 patients was the most significant complication. The Musculoskeletal Tumor Society score at last visit was 83.2%.

CONCLUSIONS

The use of custom-made extendible endoprosthesis provided good functional results for children with bone tumor around the knee. Further improvement of the prosthesis design and operation technique will help to decrease complication and gain better limb function.

摘要

背景

由于下肢两个关键生长板的干扰,对于膝关节周围骨骼未成熟儿童的保肢治疗仍然具有挑战性。本回顾性研究旨在评估骨肿瘤患儿应用可延长骨水泥型假体的长期结果及其对下肢生长的影响。

方法

本研究纳入了 45 例膝关节周围骨肉瘤患儿,他们接受了定制可延长假体置换。平均随访时间为 10.1 年。记录了生存率、假体相关并发症和翻修、功能结果以及假体植入对生长的影响。

结果

5 年无疾病生存率和总生存率分别为 54.9%和 72.7%,5 年假体生存率为 59.4%。假体平均延长了 4.2cm。20 例患者的肢体长度差异在 2cm 以内,且观察到被动植入假体导致胫骨近端骨骺生长抑制。7 例患者发生无菌性松动,是最显著的并发症。末次随访时的肌肉骨骼肿瘤学会评分(Musculoskeletal Tumor Society score)为 83.2%。

结论

对于膝关节周围骨肿瘤的儿童,使用定制可延长假体可获得良好的功能结果。进一步改进假体设计和手术技术有助于减少并发症并获得更好的肢体功能。

https://cdn.ncbi.nlm.nih.gov/pmc/blobs/14fb/6966891/97d0b5682b67/13018_2019_1534_Fig1_HTML.jpg

文献AI研究员

20分钟写一篇综述,助力文献阅读效率提升50倍。

立即体验

用中文搜PubMed

大模型驱动的PubMed中文搜索引擎

马上搜索

文档翻译

学术文献翻译模型,支持多种主流文档格式。

立即体验