Suppr超能文献

经口服、腹腔注射和泄殖腔接种感染鸡的内脏器官中,Zega与宿主细胞的定量分布及相互作用

Quantitative distribution and interaction of Zega with host cells in visceral organs of chickens infected orally, intraperitoneally and per cloaca.

作者信息

Mshelbwala Fakilahyel Musa, Ibrahim Najume Doguwar Giginya, Saidu Shehu Naallah, Babatunde Emmanuel Gbenga, Kadiri Amina Kinta Fakilahyel, Thomas Funmilola Clara, Kwanashie Clara Nna, Agbaje Michael

机构信息

Department of Veterinary Pathology, Federal University of Agriculture, Abeokuta, Nigeria.

Department of Veterinary Pathology, Ahmadu Bello University, Zaria, Nigeria.

出版信息

Heliyon. 2020 Jan 10;6(1):e03180. doi: 10.1016/j.heliyon.2020.e03180. eCollection 2020 Jan.

Abstract

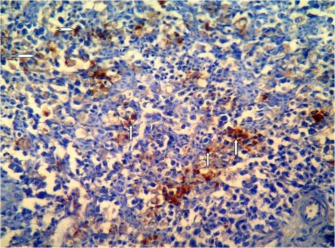
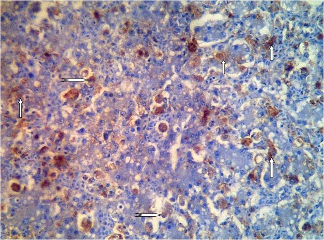
Immunohistochemical study of the visceral organs of chickens experimentally infected with Zega by three routes was carried out to compare the quantitative distribution and interaction of the organism with host cells. 100 birds comprising of 2 week-old chickens were divided into 4 groups of 25 each. Group A was inoculated orally, group B intraperitoneally, group C were administered per cloaca and D were not inoculated and served as control. All the infected birds were inoculated with 0.2 ml of 1 × 10 cfu of the bacteria. Two birds from each group were sacrificed every 24 h post infection. Samples of visceral organs were collected for immunohistochemistry. The distribution of Zega in every organ was taken as Mean ± SD of the number of foci of immunoreactions and Compared using a 2-way ANOVA. The interaction of Zega with host cells was determined by taking the percentage of the days post infection in which immunoreactions were detected in host cells in each route of infection. The distribution of the organism was highest in the lung of intraperitoneally infected chickens (83.95 ± 27.89) and lowest in the heart (5.21 ± 3.65) of chickens that were infected per cloaca. The highest percentage of interaction of Zega was recorded in the epithelial (100%) and blood (100%) cells in all the routes of infection. There were variations in the distribution of Zega in visceral organs of chickens but the level of interactions with host cells were similar even when infected through different routes.

摘要

对通过三种途径经实验感染泽加的鸡的内脏器官进行了免疫组织化学研究,以比较该生物体与宿主细胞的定量分布及相互作用。100只2周龄的鸡被分为4组,每组25只。A组经口接种,B组腹腔内接种,C组经泄殖腔给药,D组不接种作为对照。所有感染鸡均接种0.2 ml含1×10 cfu细菌的菌液。感染后每24小时从每组处死2只鸡。收集内脏器官样本用于免疫组织化学分析。泽加在每个器官中的分布以免疫反应灶数量的平均值±标准差表示,并使用双向方差分析进行比较。通过计算在每种感染途径中宿主细胞中检测到免疫反应的感染后天数百分比来确定泽加与宿主细胞的相互作用。该生物体的分布在腹腔内感染鸡的肺中最高(83.95±27.89),在经泄殖腔感染鸡的心脏中最低(5.21±3.65)。在所有感染途径中,泽加在上皮细胞(100%)和血细胞(100%)中的相互作用百分比最高。泽加在鸡内脏器官中的分布存在差异,但即使通过不同途径感染,其与宿主细胞的相互作用水平相似。

https://cdn.ncbi.nlm.nih.gov/pmc/blobs/6399/6956758/296fce5000b9/gr1.jpg

文献AI研究员

20分钟写一篇综述,助力文献阅读效率提升50倍。

立即体验

用中文搜PubMed

大模型驱动的PubMed中文搜索引擎

马上搜索

文档翻译

学术文献翻译模型,支持多种主流文档格式。

立即体验