• 文献检索
  • 文档翻译
  • 深度研究
  • 学术资讯
  • Suppr Zotero 插件Zotero 插件
  • 邀请有礼
  • 套餐&价格
  • 历史记录
应用&插件
Suppr Zotero 插件Zotero 插件浏览器插件Mac 客户端Windows 客户端微信小程序
定价
高级版会员购买积分包购买API积分包
服务
文献检索文档翻译深度研究API 文档MCP 服务
关于我们
关于 Suppr公司介绍联系我们用户协议隐私条款
关注我们

Suppr 超能文献

核心技术专利:CN118964589B侵权必究
粤ICP备2023148730 号-1Suppr @ 2026

文献检索

告别复杂PubMed语法,用中文像聊天一样搜索,搜遍4000万医学文献。AI智能推荐,让科研检索更轻松。

立即免费搜索

文件翻译

保留排版,准确专业,支持PDF/Word/PPT等文件格式,支持 12+语言互译。

免费翻译文档

深度研究

AI帮你快速写综述,25分钟生成高质量综述,智能提取关键信息,辅助科研写作。

立即免费体验

Transient crystalline lens deposits following the insertion of a phakic sulcus-fixated collamer intraocular lens in a hyperopic eye.

作者信息

El Khatib Lama, Hatoum Ahmad K, Moukhadder Hassan M, El Salloukh Nasrine Anais, Awwad Shady T

机构信息

Department of Ophthalmology, American University of Beirut Medical Center, Beirut, Lebanon.

Department of Ophthalmology, Jordan University of Science and Technology, Irbid, Jordan.

出版信息

Am J Ophthalmol Case Rep. 2020 Jan 16;17:100598. doi: 10.1016/j.ajoc.2020.100598. eCollection 2020 Mar.

DOI:10.1016/j.ajoc.2020.100598
PMID:31993533
原文链接:https://pmc.ncbi.nlm.nih.gov/articles/PMC6974734/
Abstract

PURPOSE

The purpose of this study was to report crystalline lens deposit formation following ICL implantation for the correction of hyperopia.

OBSERVATIONS

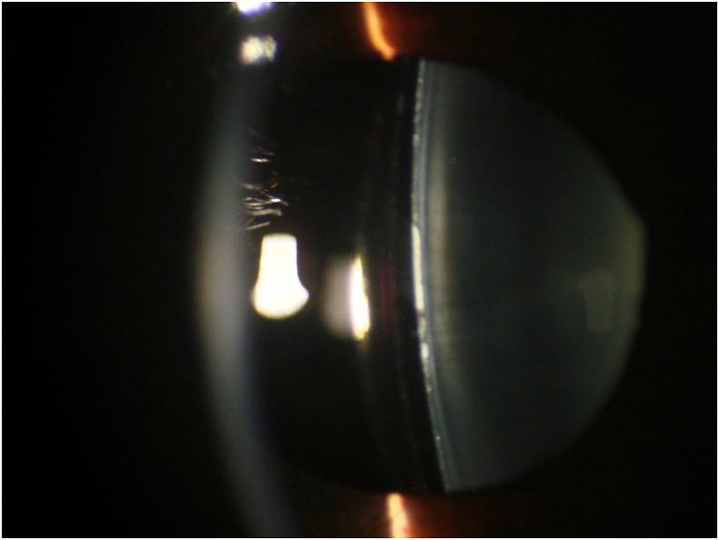
A 23-year-old male presented at the American University of Beirut Medical Center in 2008 seeking refractive surgery for hyperopia. His cycloplegic refraction was +7-1.25 × 115° and +7-1.00 × 115° in the right and left eyes, respectively, yielding a vision of 20/20 bilaterally. The patient underwent right eye insertion of a non-toric phakic sulcus-fixated collamer lens 2 weeks after undergoing peripheral iridotomies. The early postoperative course was complicated by anterior chamber inflammation and the appearance of diffuse whitish precipitates on the anterior surface of the crystalline lens, hypotony, and a mid-dilated mildly reactive pupil. With the prompt administration of topical and systemic steroids, the anterior chamber reaction subsided, and the anterior capsular deposits gradually resolved peripherally with some remaining centrally over the course of several weeks. The patient's visual acuity at 6 months was 20/20.

CONCLUSIONSAND IMPORTANCE

Adequate viscoelastic removal and minimal iris stimulation seem to be essential to avoid this condition in hyperopic implants that lack a central port. Additionally, prompt treatment can minimize visual impairment and hasten visual recovery.

摘要
https://cdn.ncbi.nlm.nih.gov/pmc/blobs/9a89/6974734/b57024323211/gr3.jpg
https://cdn.ncbi.nlm.nih.gov/pmc/blobs/9a89/6974734/1ffe9921fc1a/gr1.jpg
https://cdn.ncbi.nlm.nih.gov/pmc/blobs/9a89/6974734/87875272493b/gr2.jpg
https://cdn.ncbi.nlm.nih.gov/pmc/blobs/9a89/6974734/b57024323211/gr3.jpg
https://cdn.ncbi.nlm.nih.gov/pmc/blobs/9a89/6974734/1ffe9921fc1a/gr1.jpg
https://cdn.ncbi.nlm.nih.gov/pmc/blobs/9a89/6974734/87875272493b/gr2.jpg
https://cdn.ncbi.nlm.nih.gov/pmc/blobs/9a89/6974734/b57024323211/gr3.jpg

相似文献

1
Transient crystalline lens deposits following the insertion of a phakic sulcus-fixated collamer intraocular lens in a hyperopic eye.
Am J Ophthalmol Case Rep. 2020 Jan 16;17:100598. doi: 10.1016/j.ajoc.2020.100598. eCollection 2020 Mar.
2
Phakic intraocular lenses for the treatment of refractive errors: an evidence-based analysis.用于治疗屈光不正的有晶状体眼人工晶状体:一项基于证据的分析。
Ont Health Technol Assess Ser. 2009;9(14):1-120. Epub 2009 Oct 1.
3
Cataractous changes due to posterior chamber flattening with a posterior chamber phakic intraocular lens secondary to the administration of pilocarpine.由于使用毛果芸香碱后后房型有晶状体眼人工晶状体导致后房变平而引起的白内障改变。
Ophthalmology. 2006 Aug;113(8):1283-8. doi: 10.1016/j.ophtha.2006.03.053. Epub 2006 Jun 12.
4
Incidence of cataract following implantation of a posterior-chamber phakic lens ICL (Implantable Collamer Lens) - long-term results.后房型有晶状体眼人工晶状体(ICL,可植入式胶原晶状体)植入术后白内障的发生率——长期结果。
Cesk Slov Oftalmol. 2017 Fall;73(3):87-93.
5
Posterior chamber collamer phakic intraocular lens for myopia and hyperopia.用于近视和远视的后房Collamer有晶状体眼人工晶状体
J Refract Surg. 1999 Jul-Aug;15(4):415-23. doi: 10.3928/1081-597X-19990701-05.
6
Ultrasound biomicroscopy of anterior segment accommodative changes with posterior chamber phakic intraocular lens in high myopia.超声生物显微镜检查在高度近视患者后房型有晶状体眼人工晶状体植入术后前节调节变化。
Ophthalmology. 2012 Jan;119(1):99-105. doi: 10.1016/j.ophtha.2011.07.001. Epub 2011 Oct 5.
7
Postsurgical Cystoid Macular Edema following Posterior Chamber Toric Phakic Intraocular Lens Implantation Surgery: A Case Report.后房型散光矫正有晶状体眼人工晶状体植入术后的囊样黄斑水肿:一例报告
Case Rep Ophthalmol. 2015 Jul 8;6(2):223-7. doi: 10.1159/000437013. eCollection 2015 May-Aug.
8
Implantation of spherical and toric copolymer phackic intraocular lens to manage amblyopia due to anisometropic hyperopia and myopia in pediatric patients.植入球形和环曲面共聚物有晶状体眼人工晶状体治疗儿童患者屈光参差性远视和近视所致弱视。
J Cataract Refract Surg. 2015 Nov;41(11):2458-65. doi: 10.1016/j.jcrs.2015.05.035.
9
Posterior chamber phakic intraocular lens for hyperopia of +4 to +11 diopters.用于矫正4至11屈光度远视的后房型有晶状体眼人工晶状体。
J Refract Surg. 1998 May-Jun;14(3):306-11. doi: 10.3928/1081-597X-19980501-14.
10
Effect of accommodation and pupil size on the movement of a posterior chamber lens in the phakic eye.调节和瞳孔大小对有晶状体眼后房型人工晶状体运动的影响。
Ophthalmology. 2004 Feb;111(2):325-31. doi: 10.1016/j.ophtha.2003.05.013.

本文引用的文献

1
Phakic Intraocular Lenses and their Special Indications.有晶体眼人工晶状体及其特殊适应症。
J Ophthalmic Vis Res. 2016 Oct-Dec;11(4):422-428. doi: 10.4103/2008-322X.194140.
2
Meta-analysis and review: effectiveness, safety, and central port design of the intraocular collamer lens.荟萃分析与综述:眼内胶原晶状体的有效性、安全性及中央端口设计
Clin Ophthalmol. 2016 Jun 9;10:1059-77. doi: 10.2147/OPTH.S111620. eCollection 2016.
3
[Mid-long term follow-up results in correction of extreme myopia by posterior chamber phakic intraocular lens].
[后房型有晶状体眼人工晶状体矫正超高度近视的中长期随访结果]
Zhonghua Yan Ke Za Zhi. 2012 Apr;48(4):307-11.
4
Implantable collamer posterior chamber intraocular lenses: a review of potential complications.可植入 Collamer 后房型人工晶状体:潜在并发症综述。
J Refract Surg. 2011 Oct;27(10):765-76. doi: 10.3928/1081597X-20110617-01. Epub 2011 Jun 30.
5
Phakic intraocular lenses: part 2: results and complications.有晶状体眼人工晶状体:第 2 部分:结果和并发症。
J Cataract Refract Surg. 2010 Dec;36(12):2168-94. doi: 10.1016/j.jcrs.2010.10.007.
6
Biocompatibility of intraocular lens materials.人工晶状体材料的生物相容性。
Curr Opin Ophthalmol. 2008 Jan;19(1):41-9. doi: 10.1097/ICU.0b013e3282f20132.
7
Cataractous changes due to posterior chamber flattening with a posterior chamber phakic intraocular lens secondary to the administration of pilocarpine.由于使用毛果芸香碱后后房型有晶状体眼人工晶状体导致后房变平而引起的白内障改变。
Ophthalmology. 2006 Aug;113(8):1283-8. doi: 10.1016/j.ophtha.2006.03.053. Epub 2006 Jun 12.