Suppr超能文献

主动脉瓣再植入术后主动脉瓣反流复发的术前心脏计算机断层扫描特征。

Preoperative Cardiac Computed Tomography Characteristics Associated with Recurrent Aortic Regurgitation after Aortic Valve Re-Implantation.

机构信息

Department of Radiology and Research Institute of Radiology, Cardiac Imaging Center, Asan Medical Center, University of Ulsan College of Medicine, Seoul, Korea.

Division of Cardiology, Asan Medical Center, University of Ulsan College of Medicine, Seoul, Korea.

出版信息

Korean J Radiol. 2020 Feb;21(2):181-191. doi: 10.3348/kjr.2019.0446.

Abstract

OBJECTIVE

To identify the preoperative cardiac computed tomography (CT) factors influencing postoperative recurrent aortic regurgitation (AR) in patients who underwent aortic valve repair with the re-implantation technique (David operation) due to AR.

MATERIALS AND METHODS

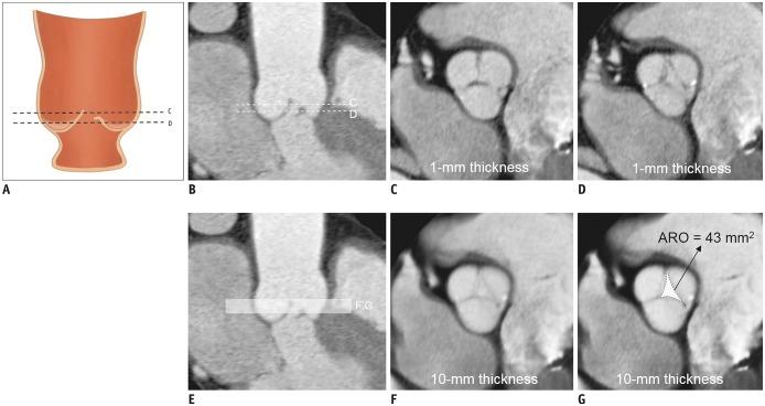
A total of 117 patients (age, 49.4 ± 15.6 years; 83 males) who underwent the David operation for AR were included in this retrospective study. Aortic root profiles including the aortic regurgitant orifice area (ARO) and the aortic cusp asymmetry ratio of the areas (ASR), which is defined as the maximum/minimum areas among the three cusp areas at the level of the commissures, were measured on preoperative cardiac CT scans. Clinical and CT findings were compared between a group with recurrent AR grade < 3 (no, trivial, or mild AR) and recurrent ≥ 3 + AR. To determine the optimal cut-off values of ASR and ARO, the receiver operating characteristic (ROC) curve was used. Cox regression analysis was used for the analysis of the factors affecting recurrent 3 + AR.

RESULTS

Postoperatively, recurrent 3 + AR developed in 17 (14.5%) patients and occurred within a median of 268 days (interquartile range: 78-582 days). The cut-off ARO value for discriminating the patients with recurrent 3 + AR was > 24 mm² (sensitivity, 76.5%; specificity 64.8%), and the area under the ROC curve (AUC) was 0.72. For ASR, the cut-off value was > 1.58 (sensitivity, 76.5%; specificity, 58.0%) and the AUC was 0.64. Multivariable Cox regression showed that ARO > 24 mm² (hazard ratio = 3.79, = 0.020) was a potential independent parameter for recurrent 3 + AR. ROC for the linear regression model showed that the AUC for both ARO and ASR was 0.73 (95% confidence interval, 0.64-0.81, < 0.001).

CONCLUSION

ARO and ASR detected on preoperative cardiac CT would be potentially helpful for identifying AR patients who may benefit from the David operation.

摘要

目的

确定术前心脏计算机断层扫描(CT)因素,以影响因主动脉瓣反流(AR)行主动脉瓣修复的患者(David 手术)术后复发性 AR。

材料和方法

回顾性研究了 117 名因 AR 行 David 手术的患者(年龄,49.4±15.6 岁;83 名男性)。在术前心脏 CT 扫描上测量主动脉根部轮廓,包括主动脉瓣反流口面积(ARO)和瓣叶面积比(ASR),ASR 定义为瓣叶交界水平三个瓣叶中最大/最小面积的比值。比较了复发性 AR 分级<3(无、轻微或轻度 AR)和≥3+ AR 两组的临床和 CT 发现。为确定 ASR 和 ARO 的最佳截断值,使用了受试者工作特征(ROC)曲线。Cox 回归分析用于分析影响 3+ AR 复发的因素。

结果

术后 17 例(14.5%)患者发生 3+ AR,中位数为 268 天(四分位距:78-582 天)。用于区分 3+ AR 患者的 ARO 截断值>24mm²(灵敏度 76.5%,特异性 64.8%),ROC 曲线下面积(AUC)为 0.72。对于 ASR,截断值>1.58(灵敏度 76.5%,特异性 58.0%),AUC 为 0.64。多变量 Cox 回归显示 ARO>24mm²(危险比=3.79,=0.020)是 3+ AR 复发的潜在独立参数。线性回归模型的 ROC 显示 ARO 和 ASR 的 AUC 均为 0.73(95%置信区间,0.64-0.81,<0.001)。

结论

术前心脏 CT 检测的 ARO 和 ASR 可能有助于识别可能从 David 手术中获益的 AR 患者。

https://cdn.ncbi.nlm.nih.gov/pmc/blobs/b9f6/6992440/026ede90d8b6/kjr-21-181-g001.jpg

文献检索

告别复杂PubMed语法,用中文像聊天一样搜索,搜遍4000万医学文献。AI智能推荐,让科研检索更轻松。

立即免费搜索

文件翻译

保留排版,准确专业,支持PDF/Word/PPT等文件格式,支持 12+语言互译。

免费翻译文档

深度研究

AI帮你快速写综述,25分钟生成高质量综述,智能提取关键信息,辅助科研写作。

立即免费体验