• 文献检索
  • 文档翻译
  • 深度研究
  • 学术资讯
  • Suppr Zotero 插件Zotero 插件
  • 邀请有礼
  • 套餐&价格
  • 历史记录
应用&插件
Suppr Zotero 插件Zotero 插件浏览器插件Mac 客户端Windows 客户端微信小程序
定价
高级版会员购买积分包购买API积分包
服务
文献检索文档翻译深度研究API 文档MCP 服务
关于我们
关于 Suppr公司介绍联系我们用户协议隐私条款
关注我们

Suppr 超能文献

核心技术专利:CN118964589B侵权必究
粤ICP备2023148730 号-1Suppr @ 2026

文献检索

告别复杂PubMed语法,用中文像聊天一样搜索,搜遍4000万医学文献。AI智能推荐,让科研检索更轻松。

立即免费搜索

文件翻译

保留排版,准确专业,支持PDF/Word/PPT等文件格式,支持 12+语言互译。

免费翻译文档

深度研究

AI帮你快速写综述,25分钟生成高质量综述,智能提取关键信息,辅助科研写作。

立即免费体验

人头皮组织中 telocytes 的超微结构和免疫组织化学特征。

Ultrastructural and immunohistochemical characteristics of telocytes in human scalp tissue.

机构信息

Department of Dermatology, the Third Affiliated Hospital of Soochow University, 185 Juqian Road, Changzhou, 213003, Jiangsu Province, People's Republic of China.

Department of Dermatology, the First Affiliated Hospital of Bengbu Medical College, 287 Changhuai Road, Bengbu, 233030, Anhui Province, People's Republic of China.

出版信息

Sci Rep. 2020 Feb 3;10(1):1693. doi: 10.1038/s41598-020-58628-w.

DOI:10.1038/s41598-020-58628-w
PMID:32015359
原文链接:https://pmc.ncbi.nlm.nih.gov/articles/PMC6997163/
Abstract

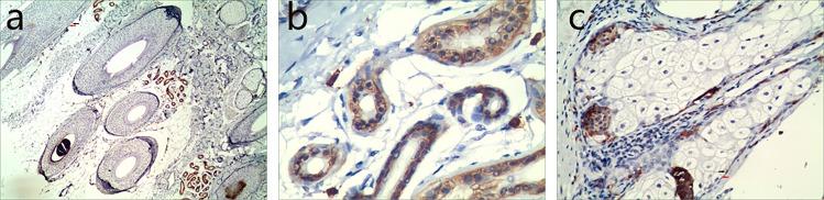
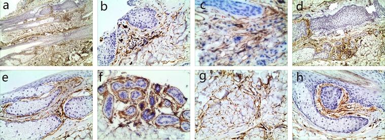
This study was designed to characterize the location, morphology and ultrastructure of telocytes (TCs) in human scalp tissue. After obtaining approval for this study and informed consent from the patient, a scalp specimen was obtained. The distribution and morphology of TCs in human scalp tissue was assessed by immunohistochemical staining of CD34 and CD117/c-KIT, and the ultrastructure of TCs was investigated using transmission electron microscopy (TEM). Immunohistochemical staining of CD34 revealed that TCs were located in the connective tissue of human scalp, and were concentrated around hair follicles (HFs), blood vessels, sweat glands, sebaceous glands and adipose lobules. Immunohistochemical staining of CD117 revealed that TCs were mainly located in the dermis of human scalp, surrounding the HFs and sweat glands. Under TEM, TCs were seen and confirmed by their special morphological features. These cells were spindle-shaped, had small cell bodies and long thin processes, and surrounded stem cell clusters in the bulge region of HFs. These results demonstrate that TCs in human scalp were positive for CD34 and CD117, and their strategic positioning surrounding stem cells suggests their possible involvement in local regeneration, remodeling and homeostasis of the skin.

摘要

本研究旨在描述人头皮组织中 telocytes(TCs)的位置、形态和超微结构。在获得该研究的批准和患者的知情同意后,获得头皮标本。通过对 CD34 和 CD117/c-KIT 的免疫组织化学染色评估人头皮组织中 TCs 的分布和形态,并用透射电子显微镜(TEM)研究 TCs 的超微结构。CD34 的免疫组织化学染色显示 TCs 位于人头皮的结缔组织中,集中在毛囊(HFs)、血管、汗腺、皮脂腺和脂肪小叶周围。CD117 的免疫组织化学染色显示 TCs 主要位于人头皮的真皮中,围绕 HFs 和汗腺。在 TEM 下,通过其特殊的形态特征观察并确认 TCs。这些细胞呈梭形,细胞体小而细长的突起,围绕 HFs 的隆起区域中的干细胞簇。这些结果表明人头皮中的 TCs 对 CD34 和 CD117 呈阳性,它们围绕干细胞的战略定位表明它们可能参与皮肤的局部再生、重塑和内稳态。

https://cdn.ncbi.nlm.nih.gov/pmc/blobs/5d56/6997163/4d8ae2bb80c4/41598_2020_58628_Fig5_HTML.jpg
https://cdn.ncbi.nlm.nih.gov/pmc/blobs/5d56/6997163/e080d5d6132b/41598_2020_58628_Fig1_HTML.jpg
https://cdn.ncbi.nlm.nih.gov/pmc/blobs/5d56/6997163/4d1bb9f9105a/41598_2020_58628_Fig2_HTML.jpg
https://cdn.ncbi.nlm.nih.gov/pmc/blobs/5d56/6997163/4181f2d5e9b7/41598_2020_58628_Fig3_HTML.jpg
https://cdn.ncbi.nlm.nih.gov/pmc/blobs/5d56/6997163/74ee5537eed5/41598_2020_58628_Fig4_HTML.jpg
https://cdn.ncbi.nlm.nih.gov/pmc/blobs/5d56/6997163/4d8ae2bb80c4/41598_2020_58628_Fig5_HTML.jpg
https://cdn.ncbi.nlm.nih.gov/pmc/blobs/5d56/6997163/e080d5d6132b/41598_2020_58628_Fig1_HTML.jpg
https://cdn.ncbi.nlm.nih.gov/pmc/blobs/5d56/6997163/4d1bb9f9105a/41598_2020_58628_Fig2_HTML.jpg
https://cdn.ncbi.nlm.nih.gov/pmc/blobs/5d56/6997163/4181f2d5e9b7/41598_2020_58628_Fig3_HTML.jpg
https://cdn.ncbi.nlm.nih.gov/pmc/blobs/5d56/6997163/74ee5537eed5/41598_2020_58628_Fig4_HTML.jpg
https://cdn.ncbi.nlm.nih.gov/pmc/blobs/5d56/6997163/4d8ae2bb80c4/41598_2020_58628_Fig5_HTML.jpg

相似文献

1
Ultrastructural and immunohistochemical characteristics of telocytes in human scalp tissue.人头皮组织中 telocytes 的超微结构和免疫组织化学特征。
Sci Rep. 2020 Feb 3;10(1):1693. doi: 10.1038/s41598-020-58628-w.
2
Telocytes in human skin--are they involved in skin regeneration?人皮肤中的 telocytes——它们是否参与皮肤再生?
J Cell Mol Med. 2012 Jul;16(7):1405-20. doi: 10.1111/j.1582-4934.2012.01580.x.
3
Localization of telocytes in rabbits testis: Histological and immunohistochemical approach.兔睾丸中梭形细胞的定位:组织学和免疫组织化学方法
Microsc Res Tech. 2018 Nov;81(11):1268-1274. doi: 10.1002/jemt.23133. Epub 2018 Oct 23.
4
Immunohistochemical and ultrastructural evidence for telocytes in the different physiological stages of the female rat mammary gland.免疫组化和超微结构证据表明,在雌性大鼠乳腺的不同生理阶段存在着间质细胞。
Life Sci. 2019 Aug 15;231:116521. doi: 10.1016/j.lfs.2019.05.077. Epub 2019 May 29.
5
Ultrastructural and immunohistochemical characteristics of telocytes in the skin and skeletal muscle of newborn rats.新生大鼠皮肤和骨骼肌中梭形细胞的超微结构和免疫组化特征
Acta Histochem. 2016 Jul;118(6):574-580. doi: 10.1016/j.acthis.2016.06.001. Epub 2016 Jun 22.
6
Evidence for progressive reduction and loss of telocytes in the dermal cellular network of systemic sclerosis.系统性硬化症皮肤细胞网络中 telocytes 的渐进性减少和丧失的证据。
J Cell Mol Med. 2013 Apr;17(4):482-96. doi: 10.1111/jcmm.12028. Epub 2013 Feb 27.
7
Immunophenotypic characterization of telocyte-like cells in pterygium.翼状胬肉中类telocyte细胞的免疫表型特征
Mol Vis. 2018 Dec 29;24:853-866. eCollection 2018.
8
Uptake and intracytoplasmic storage of pigmented particles by human CD34+ stromal cells/telocytes: endocytic property of telocytes.人CD34+基质细胞/端细胞对色素颗粒的摄取及胞质内储存:端细胞的内吞特性
J Cell Mol Med. 2014 Dec;18(12):2478-87. doi: 10.1111/jcmm.12437. Epub 2014 Sep 30.
9
The Morphology and Ultrastructure of Dermal Telocytes Characterized by TEM and AFM.真皮 Telocytes 的形态和超微结构的 TEM 和 AFM 研究。
Cell Biochem Biophys. 2024 Jun;82(2):705-713. doi: 10.1007/s12013-024-01222-y. Epub 2024 Feb 1.
10
Comparative Analysis of Telomerase Activity in CD117⁺ CD34⁺ Cardiac Telocytes with Bone Mesenchymal Stem Cells, Cardiac Fibroblasts and Cardiomyocytes.CD117⁺CD34⁺心脏间充质细胞与骨髓间充质干细胞、心脏成纤维细胞和心肌细胞中端粒酶活性的比较分析
Chin Med J (Engl). 2015 Jul 20;128(14):1942-7. doi: 10.4103/0366-6999.160560.

引用本文的文献

1
Telocytes: history, origin, identification, structure, distribution, and functions.间充质干细胞:历史、起源、鉴定、结构、分布及功能。
Histochem Cell Biol. 2025 Aug 29;163(1):86. doi: 10.1007/s00418-025-02413-1.
2
Immunohistochemical and Ultrastructural Characterization of Telocytes in Normal and Diabetic Human Kidneys.正常和糖尿病人类肾脏中 Telocytes 的免疫组织化学和超微结构特征。
Biomolecules. 2024 Aug 8;14(8):968. doi: 10.3390/biom14080968.
3
Skin Telocytes Could Fundament the Cellular Mechanisms of Wound Healing in Platelet-Rich Plasma Administration.

本文引用的文献

1
Immunophenotypic characterization of telocyte-like cells in pterygium.翼状胬肉中类telocyte细胞的免疫表型特征
Mol Vis. 2018 Dec 29;24:853-866. eCollection 2018.
2
Identification of uterine telocytes and their architecture in leiomyoma.子宫肌瘤中子宫间充质干细胞的鉴定及其结构
Folia Med Cracov. 2018;58(3):89-102. doi: 10.24425/fmc.2018.125075.
3
The roles of telocytes in lung development and angiogenesis: An immunohistochemical, ultrastructural, scanning electron microscopy and morphometrical study.间质细胞在肺发育和血管生成中的作用:免疫组织化学、超微结构、扫描电镜和形态计量学研究。
皮肤 Telocytes 可能为富血小板血浆治疗中伤口愈合的细胞机制提供基础。
Cells. 2024 Aug 8;13(16):1321. doi: 10.3390/cells13161321.
4
Delimiting CD34+ Stromal Cells/Telocytes Are Resident Mesenchymal Cells That Participate in Neovessel Formation in Skin Kaposi Sarcoma.CD34+ 基质细胞/间质细胞是定位于皮肤卡波西肉瘤中的固有间充质细胞,参与新血管形成。
Int J Mol Sci. 2023 Feb 14;24(4):3793. doi: 10.3390/ijms24043793.
5
Dermal Telocytes: A Different Viewpoint of Skin Repairing and Regeneration.真皮 Telocytes:皮肤修复和再生的另一种观点。
Cells. 2022 Dec 2;11(23):3903. doi: 10.3390/cells11233903.
6
Telocytes inside of the peripheral nervous system - a 3D endoneurial network and putative role in cell communication.周围神经系统内的 telocytes——一种 3D 神经内膜网络及其在细胞通讯中的可能作用。
Rom J Morphol Embryol. 2022 Apr-Jun;63(2):335-347. doi: 10.47162/RJME.63.2.05.
7
Telocytes regulate macrophages in periodontal disease.间质细胞调节牙周病中的巨噬细胞。
Elife. 2022 Oct 4;11:e72128. doi: 10.7554/eLife.72128.
8
Telocytes in Fibrosis Diseases: From Current Findings to Future Clinical Perspectives.纤维化疾病中的 Telocytes:从现有发现到未来的临床展望。
Cell Transplant. 2022 Jan-Dec;31:9636897221105252. doi: 10.1177/09636897221105252.
9
Telocytes promote hepatocellular carcinoma by activating the ERK signaling pathway and miR-942-3p/MMP9 axis.间充质干细胞通过激活ERK信号通路和miR-942-3p/MMP9轴促进肝细胞癌。
Cell Death Discov. 2021 Aug 10;7(1):209. doi: 10.1038/s41420-021-00592-z.
10
Telocytes and their structural relationships with surrounding cell types in the skin of silky fowl by immunohistochemistrical, transmission electron microscopical and morphometric analysis.免疫组织化学、透射电子显微镜和形态计量学分析丝光鸡皮肤中的 telocytes 及其与周围细胞类型的结构关系。
Poult Sci. 2021 Sep;100(9):101367. doi: 10.1016/j.psj.2021.101367. Epub 2021 Jun 29.
Dev Biol. 2018 Nov 15;443(2):137-152. doi: 10.1016/j.ydbio.2018.09.010. Epub 2018 Sep 15.
4
Cellular and stromal elements organization in the liver of grass carp, Ctenopharyngodon idella (Cypriniformes: Cyprinidae).草鱼(Ctenopharyngodon idella,鲤形目:鲤科)肝脏中的细胞和基质成分组织
Micron. 2018 Sep;112:1-14. doi: 10.1016/j.micron.2018.06.006. Epub 2018 Jun 6.
5
Telocytes in human fetal skeletal muscle interstitium during early myogenesis.早期肌发生过程中人类胎儿骨骼肌间质中的间充质细胞
Acta Histochem. 2018 Jul;120(5):397-404. doi: 10.1016/j.acthis.2018.04.003. Epub 2018 May 1.
6
Telocytes and interstitial cells of Cajal in the biliary system.胆管系统中的 telocytes 和 Cajal 间质细胞
J Cell Mol Med. 2018 Jul;22(7):3323-3329. doi: 10.1111/jcmm.13643. Epub 2018 Apr 26.
7
Telocytes in skeletal, cardiac and smooth muscle interstitium: morphological and functional aspects.骨骼肌、心肌和平滑肌间质中的间充质细胞:形态学和功能方面
Histol Histopathol. 2018 Nov;33(11):1151-1165. doi: 10.14670/HH-11-994. Epub 2018 Apr 25.
8
The molecular phenotypes of ureteral telocytes are layer-specific.输尿管间充质干细胞的分子表型具有层特异性。
Acta Histochem. 2018 Jan;120(1):41-45. doi: 10.1016/j.acthis.2017.11.003. Epub 2017 Nov 16.
9
Telocytes in the human sinoatrial node.人窦房结中的 telocytes。
J Cell Mol Med. 2018 Jan;22(1):521-532. doi: 10.1111/jcmm.13340. Epub 2017 Nov 17.
10
Cardiac Telocyte-Derived Exosomes and Their Possible Implications in Cardiovascular Pathophysiology.心脏间充质干细胞衍生的外泌体及其在心血管病理生理学中的潜在意义。
Adv Exp Med Biol. 2017;998:237-254. doi: 10.1007/978-981-10-4397-0_16.