Department of Breast Surgery, The First Affiliated Hospital of Zhengzhou University, Zhengzhou, 450052, China.
Department of Vascular Surgery, The First Affiliated Hospital of Zhengzhou University, Zhengzhou, 450052, China.
Mol Cancer. 2020 Feb 5;19(1):26. doi: 10.1186/s12943-020-1145-5.
Although trastuzumab provides significant clinical benefit for HER2-positive breast cancers, responses are limited by the emergence of resistance. Recent evidence suggests that long noncoding RNAs (lncRNAs) play important roles in tumorigenesis and chemoresistance. However, the regulatory mechanism of lncRNAs in trastuzumab resistance is not well established to date. In this research, we identified the differentially expressed lncRNA and investigated its regulatory role in trastuzumab resistance of breast cancer.
LncRNA microarray and qRT-PCR were performed to identify the dysregulated lncRNAs. Transmission electron microscopy, differential ultracentrifugation and qRT-PCR were used to verify the existence of exosomal AFAP1-AS1 (actin filament associated protein 1 antisense RNA 1). Bioinformatics prediction, RNA fluorescence in situ hybridization (RNA-FISH) and immunoprecipitation assays were performed to identify the direct interactions between AFAP1-AS1 and other associated targets, such as AU-binding factor 1 (AUF1) and ERBB2. Finally, a series gain- or loss-functional assays were done to prove the precise role of AFAP1-AS1 in trastuzumab resistance.
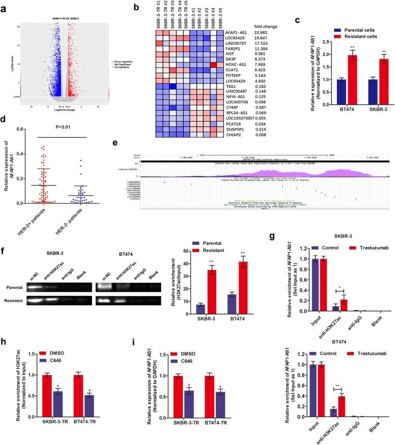
AFAP1-AS1 was screened out due to its higher expression in trastuzumab-resistant cells compared to sensitive cells. Increased expression of AFAP1-AS1was associate with poorer response and shorter survival time of breast cancer patients. AFAP1-AS1 was upregulated by H3K27ac modification at promoter region, and knockdown of AFAP1-AS1 reversed trastuzumab resistance. Moreover, extracellular AFAP1-AS1 secreted from trastuzumab resistant cells was packaged into exosomes and then disseminated trastuzumab resistance of receipt cells. Mechanically, AFAP1-AS1 was associated with AUF1 protein, which further promoted the translation of ERBB2 without influencing the mRNA level.
Exosomal AFAP1-AS1 could induce trastuzumab resistance through associating with AUF1 and promoting ERBB2 translation. Therefore, AFAP1-AS1 level may be useful for prediction of trastuzumab resistance and breast cancer treatment.
曲妥珠单抗为 HER2 阳性乳腺癌提供了显著的临床获益,但由于耐药性的出现,其疗效受到限制。最近的证据表明,长非编码 RNA(lncRNA)在肿瘤发生和化疗耐药中发挥重要作用。然而,lncRNA 在曲妥珠单抗耐药中的调控机制尚未得到充分确立。在这项研究中,我们鉴定了差异表达的 lncRNA,并研究了其在乳腺癌曲妥珠单抗耐药中的调控作用。
采用 lncRNA 微阵列和 qRT-PCR 鉴定失调的 lncRNA。采用透射电子显微镜、差速超速离心和 qRT-PCR 验证外泌体 AFAP1-AS1(肌动蛋白丝相关蛋白 1 反义 RNA 1)的存在。采用生物信息学预测、RNA 荧光原位杂交(RNA-FISH)和免疫沉淀实验鉴定 AFAP1-AS1 与其他相关靶标(如 AU 结合因子 1(AUF1)和 ERBB2)之间的直接相互作用。最后,进行一系列的 gain-或 loss-功能实验,以证明 AFAP1-AS1 在曲妥珠单抗耐药中的精确作用。
AFAP1-AS1 是由于其在曲妥珠单抗耐药细胞中的表达高于敏感细胞而被筛选出来的。AFAP1-AS1 的表达增加与乳腺癌患者的反应较差和生存时间较短有关。AFAP1-AS1 的表达受启动子区域 H3K27ac 修饰的上调,敲低 AFAP1-AS1 可逆转曲妥珠单抗耐药。此外,来自曲妥珠单抗耐药细胞的细胞外 AFAP1-AS1 被包装到外泌体中,并传播到接受细胞中,从而诱导曲妥珠单抗耐药。从机制上讲,AFAP1-AS1 与 AUF1 蛋白相关,这进一步促进了 ERBB2 的翻译,而不影响其 mRNA 水平。
外泌体 AFAP1-AS1 可以通过与 AUF1 结合并促进 ERBB2 翻译来诱导曲妥珠单抗耐药。因此,AFAP1-AS1 水平可能有助于预测曲妥珠单抗耐药和乳腺癌治疗。