Suppr超能文献

通过次黎曼测地线在球形图像中跟踪线条 于……

Tracking of Lines in Spherical Images via Sub-Riemannian Geodesics in .

作者信息

Mashtakov A, Duits R, Sachkov Yu, Bekkers E J, Beschastnyi I

机构信息

CPRC, Program Systems Institute of RAS, Pereslavl-Zalessky, Russia.

2CASA & BMIA, Eindhoven University of Technology, Eindhoven, The Netherlands.

出版信息

J Math Imaging Vis. 2017;58(2):239-264. doi: 10.1007/s10851-017-0705-9. Epub 2017 Feb 17.

Abstract

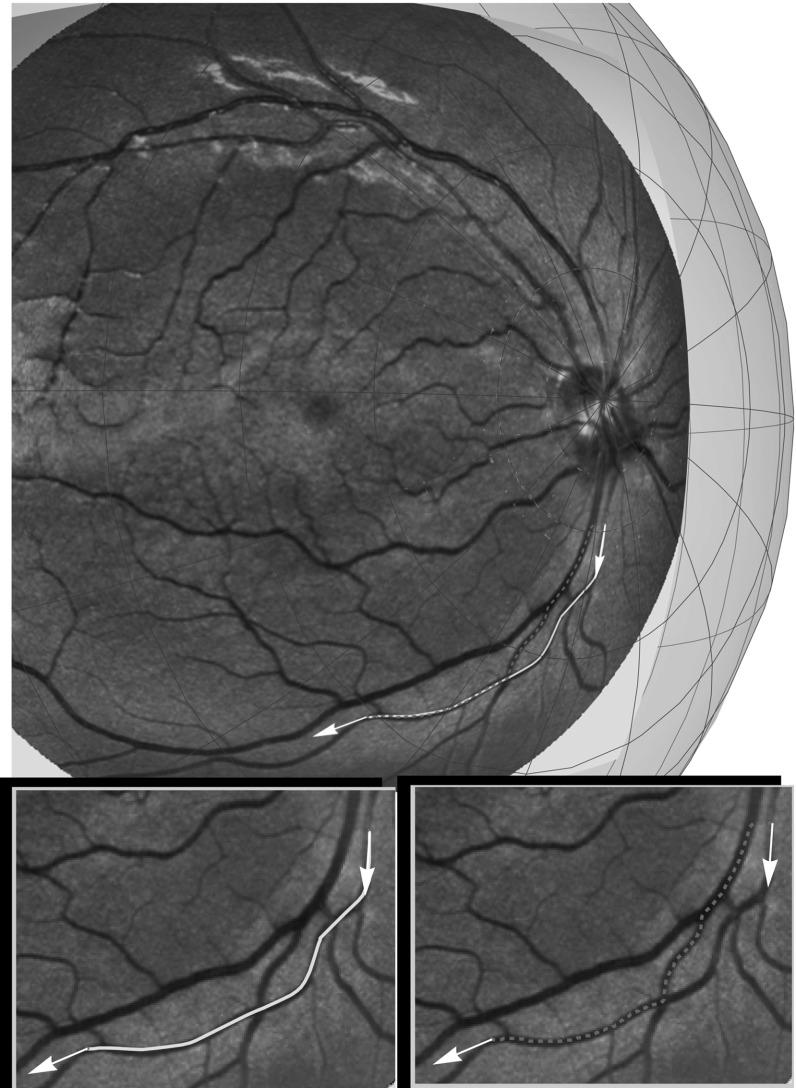
In order to detect salient lines in spherical images, we consider the problem of minimizing the functional for a curve on a sphere with fixed boundary points and directions. The total length is free, denotes the spherical arclength, and denotes the geodesic curvature of  . Here the smooth external cost is obtained from spherical data. We lift this problem to the sub-Riemannian (SR) problem in Lie group and show that the spherical projection of certain SR geodesics provides a solution to our curve optimization problem. In fact, this holds only for the geodesics whose spherical projection does not exhibit a cusp. The problem is a spherical extension of a well-known contour perception model, where we extend the model by Boscain and Rossi to the general case . For , we derive SR geodesics and evaluate the first cusp time. We show that these curves have a simpler expression when they are parameterized by spherical arclength rather than by sub-Riemannian arclength. For case (data-driven SR geodesics), we solve via a SR Fast Marching method. Finally, we show an experiment of vessel tracking in a spherical image of the retina and study the effect of including the spherical geometry in analysis of vessels curvature.

摘要

为了检测球面图像中的显著线条,我们考虑在具有固定边界点和方向的球面上,使曲线的泛函最小化的问题。总长度(L)是自由的,(s)表示球面弧长,(\kappa_g)表示(\gamma)的测地曲率。这里,光滑的外部代价(C)是从球面数据中获得的。我们将这个问题提升到李群中的次黎曼(SR)问题,并表明某些SR测地线的球面投影为我们的曲线优化问题提供了解决方案。实际上,这仅适用于其球面投影不出现尖点的测地线。该问题是一个著名的轮廓感知模型的球面扩展,我们将Boscain和Rossi的模型扩展到一般情况。对于(n = 2),我们推导SR测地线并评估第一个尖点时间。我们表明,当这些曲线由球面弧长而不是次黎曼弧长参数化时,它们具有更简单的表达式。对于(n = 3)(数据驱动的SR测地线)的情况,我们通过SR快速行进方法求解。最后,我们展示了在视网膜的球面图像中进行血管跟踪的实验,并研究了在血管曲率分析中纳入球面几何的效果。

https://cdn.ncbi.nlm.nih.gov/pmc/blobs/bb84/7010396/fff30ee4d383/10851_2017_705_Fig1_HTML.jpg

文献AI研究员

20分钟写一篇综述,助力文献阅读效率提升50倍。

立即体验

用中文搜PubMed

大模型驱动的PubMed中文搜索引擎

马上搜索

文档翻译

学术文献翻译模型,支持多种主流文档格式。

立即体验