• 文献检索
  • 文档翻译
  • 深度研究
  • 学术资讯
  • Suppr Zotero 插件Zotero 插件
  • 邀请有礼
  • 套餐&价格
  • 历史记录
应用&插件
Suppr Zotero 插件Zotero 插件浏览器插件Mac 客户端Windows 客户端微信小程序
定价
高级版会员购买积分包购买API积分包
服务
文献检索文档翻译深度研究API 文档MCP 服务
关于我们
关于 Suppr公司介绍联系我们用户协议隐私条款
关注我们

Suppr 超能文献

核心技术专利:CN118964589B侵权必究
粤ICP备2023148730 号-1Suppr @ 2026

文献检索

告别复杂PubMed语法,用中文像聊天一样搜索,搜遍4000万医学文献。AI智能推荐,让科研检索更轻松。

立即免费搜索

文件翻译

保留排版,准确专业,支持PDF/Word/PPT等文件格式,支持 12+语言互译。

免费翻译文档

深度研究

AI帮你快速写综述,25分钟生成高质量综述,智能提取关键信息,辅助科研写作。

立即免费体验

基于数字化口内印模的CAD/CAM定制玻璃纤维桩核:病例报告

CAD/CAM Customized Glass Fiber Post and Core With Digital Intraoral Impression: A Case Report.

作者信息

Libonati Antonio, Di Taranto Virginia, Gallusi Gianni, Montemurro Edoardo, Campanella Vincenzo

机构信息

Department of Clinical Sciences and Translational Medicine, University Tor Vergata, Rome, Italy.

出版信息

Clin Cosmet Investig Dent. 2020 Feb 10;12:17-24. doi: 10.2147/CCIDE.S237442. eCollection 2020.

DOI:10.2147/CCIDE.S237442
PMID:32104100
原文链接:https://pmc.ncbi.nlm.nih.gov/articles/PMC7021168/
Abstract

BACKGROUND

After endodontic treatment, a proper restorative technique is necessary to ensure coronal seal and protection of residual dental structure; teeth which have lost two or more walls need to be restored with posts to increase retention and stability of final restoration. Posts can be distinguished in prefabricated and customized, which are manufactured by lost wax technique or CAD-CAM.

PURPOSE

Digital dentistry has been developed to increase workflow precision and to accelerate production process; use of CAD-CAM to realize customized posts was limited to scanning plaster models obtained from traditional impressions.

PATIENTS AND METHODS

In the reported case an intraoral scan was used to mill a post and core restoration on an endodontically treated inferior premolar; this operative protocol was based on previous in vitro experiments that confirmed the ability of 3shape Trios scanner to read post-space up to 9 mm in depth.

RESULTS

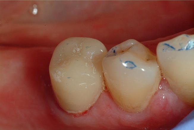
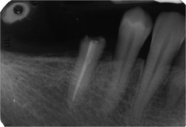
The digital technique allows us to convert the concave surface of the root canal into the convex surface of the post, and realize an anatomical post and core that improves the biomechanics of the endodontically treated tooth reducing the possibility of root fractures.

CONCLUSION

The use of an intraoral digital scanner represents an opportunity for the clinician as it speeds up the production of an anatomical post and core restorations.

摘要

背景

根管治疗后,需要采用合适的修复技术来确保冠部封闭并保护剩余牙体结构;失去两个或更多牙壁的牙齿需要用桩修复,以增加最终修复体的固位力和稳定性。桩可分为预成桩和定制桩,后者通过失蜡法或计算机辅助设计与制造(CAD-CAM)技术制作。

目的

数字牙科技术的发展旨在提高工作流程的精确性并加速生产过程;使用CAD-CAM制作定制桩仅限于扫描从传统印模获得的石膏模型。

患者和方法

在本报告病例中,使用口内扫描仪为一颗根管治疗后的下颌前磨牙制作桩核修复体;该手术方案基于先前的体外实验,该实验证实了3shape Trios扫描仪能够读取深度达9毫米的桩道空间。

结果

数字技术使我们能够将根管的凹面转化为桩的凸面,并制作出解剖形态的桩核,改善根管治疗后牙齿的生物力学性能,降低牙根折断的可能性。

结论

使用口内数字扫描仪为临床医生提供了一个机会,因为它加快了解剖形态桩核修复体的制作。

https://cdn.ncbi.nlm.nih.gov/pmc/blobs/550a/7021168/fec3f033e8e9/CCIDE-12-17-g0015.jpg
https://cdn.ncbi.nlm.nih.gov/pmc/blobs/550a/7021168/b21468e90707/CCIDE-12-17-g0001.jpg
https://cdn.ncbi.nlm.nih.gov/pmc/blobs/550a/7021168/c103b8d67a47/CCIDE-12-17-g0002.jpg
https://cdn.ncbi.nlm.nih.gov/pmc/blobs/550a/7021168/ba0bfb545abc/CCIDE-12-17-g0003.jpg
https://cdn.ncbi.nlm.nih.gov/pmc/blobs/550a/7021168/dfae68490c59/CCIDE-12-17-g0004.jpg
https://cdn.ncbi.nlm.nih.gov/pmc/blobs/550a/7021168/1228a8f2ebd0/CCIDE-12-17-g0005.jpg
https://cdn.ncbi.nlm.nih.gov/pmc/blobs/550a/7021168/f77f252ea69b/CCIDE-12-17-g0006.jpg
https://cdn.ncbi.nlm.nih.gov/pmc/blobs/550a/7021168/2b4962fbfc25/CCIDE-12-17-g0007.jpg
https://cdn.ncbi.nlm.nih.gov/pmc/blobs/550a/7021168/04d5ccd49412/CCIDE-12-17-g0008.jpg
https://cdn.ncbi.nlm.nih.gov/pmc/blobs/550a/7021168/50f828352ce3/CCIDE-12-17-g0009.jpg
https://cdn.ncbi.nlm.nih.gov/pmc/blobs/550a/7021168/5e2b3a6e0707/CCIDE-12-17-g0010.jpg
https://cdn.ncbi.nlm.nih.gov/pmc/blobs/550a/7021168/b628711570d6/CCIDE-12-17-g0011.jpg
https://cdn.ncbi.nlm.nih.gov/pmc/blobs/550a/7021168/b4c8c01c3aa3/CCIDE-12-17-g0012.jpg
https://cdn.ncbi.nlm.nih.gov/pmc/blobs/550a/7021168/e9cf3cbe72cb/CCIDE-12-17-g0013.jpg
https://cdn.ncbi.nlm.nih.gov/pmc/blobs/550a/7021168/35195a34b4ae/CCIDE-12-17-g0014.jpg
https://cdn.ncbi.nlm.nih.gov/pmc/blobs/550a/7021168/fec3f033e8e9/CCIDE-12-17-g0015.jpg
https://cdn.ncbi.nlm.nih.gov/pmc/blobs/550a/7021168/b21468e90707/CCIDE-12-17-g0001.jpg
https://cdn.ncbi.nlm.nih.gov/pmc/blobs/550a/7021168/c103b8d67a47/CCIDE-12-17-g0002.jpg
https://cdn.ncbi.nlm.nih.gov/pmc/blobs/550a/7021168/ba0bfb545abc/CCIDE-12-17-g0003.jpg
https://cdn.ncbi.nlm.nih.gov/pmc/blobs/550a/7021168/dfae68490c59/CCIDE-12-17-g0004.jpg
https://cdn.ncbi.nlm.nih.gov/pmc/blobs/550a/7021168/1228a8f2ebd0/CCIDE-12-17-g0005.jpg
https://cdn.ncbi.nlm.nih.gov/pmc/blobs/550a/7021168/f77f252ea69b/CCIDE-12-17-g0006.jpg
https://cdn.ncbi.nlm.nih.gov/pmc/blobs/550a/7021168/2b4962fbfc25/CCIDE-12-17-g0007.jpg
https://cdn.ncbi.nlm.nih.gov/pmc/blobs/550a/7021168/04d5ccd49412/CCIDE-12-17-g0008.jpg
https://cdn.ncbi.nlm.nih.gov/pmc/blobs/550a/7021168/50f828352ce3/CCIDE-12-17-g0009.jpg
https://cdn.ncbi.nlm.nih.gov/pmc/blobs/550a/7021168/5e2b3a6e0707/CCIDE-12-17-g0010.jpg
https://cdn.ncbi.nlm.nih.gov/pmc/blobs/550a/7021168/b628711570d6/CCIDE-12-17-g0011.jpg
https://cdn.ncbi.nlm.nih.gov/pmc/blobs/550a/7021168/b4c8c01c3aa3/CCIDE-12-17-g0012.jpg
https://cdn.ncbi.nlm.nih.gov/pmc/blobs/550a/7021168/e9cf3cbe72cb/CCIDE-12-17-g0013.jpg
https://cdn.ncbi.nlm.nih.gov/pmc/blobs/550a/7021168/35195a34b4ae/CCIDE-12-17-g0014.jpg
https://cdn.ncbi.nlm.nih.gov/pmc/blobs/550a/7021168/fec3f033e8e9/CCIDE-12-17-g0015.jpg

相似文献

1
CAD/CAM Customized Glass Fiber Post and Core With Digital Intraoral Impression: A Case Report.基于数字化口内印模的CAD/CAM定制玻璃纤维桩核:病例报告
Clin Cosmet Investig Dent. 2020 Feb 10;12:17-24. doi: 10.2147/CCIDE.S237442. eCollection 2020.
2
Performance of CAD/CAM fabricated fiber posts in oval-shaped root canals: An in vitro study.计算机辅助设计与制造(CAD/CAM)制作的纤维桩在椭圆形根管中的性能:一项体外研究。
Am J Dent. 2017 Oct;30(5):248-254.
3
Clinical fitting of a cast metal post and core obtained by means of an intraoral optical scanning (IOS) and digital workflow.通过口内光学扫描(IOS)和数字化工作流程获得的铸造金属桩核的临床拟合。
J Biol Regul Homeost Agents. 2019 May-Jun;33(3 Suppl. 1):43-50. DENTAL SUPPLEMENT.
4
Clinical evaluation of an oval-shaped prefabricated glass fiber post in endodontically treated premolars presenting an oval root canal cross-section: a retrospective cohort study.临床评估一种椭圆形预制玻璃纤维桩在前磨牙根管横截面呈椭圆形时的应用:一项回顾性队列研究。
Int J Prosthodont. 2011 May-Jun;24(3):255-63.
5
In vitro comparison of endodontic posts in structurally compromised roots of maxillary incisors.上颌切牙结构受损牙根中根管桩的体外比较
SADJ. 2011 Jun;66(5):220-3.
6
Effect of half-digital workflows on the adaptation of custom CAD-CAM composite post-and-cores.半数字化工作流程对定制 CAD-CAM 复合桩核适应的影响。
J Prosthet Dent. 2021 Dec;126(6):756-762. doi: 10.1016/j.prosdent.2020.08.014. Epub 2020 Oct 27.
7
[Clinical observation of the restoration of computer aided designed and manufactured one-piece zirconia posts and cores: a 5-year prospective follow-up study].计算机辅助设计与制造一体化氧化锆桩核修复的临床观察:一项5年前瞻性随访研究
Beijing Da Xue Xue Bao Yi Xue Ban. 2018 Aug 18;50(4):680-684.
8
Long-term survival of endodontically treated, maxillary anterior teeth restored with either tapered or parallel-sided glass-fiber posts and full-ceramic crown coverage.采用锥形或平行边玻璃纤维桩及全瓷冠修复的上颌前牙根管治疗后的长期存活率。
J Dent. 2009 Feb;37(2):115-21. doi: 10.1016/j.jdent.2008.10.007. Epub 2008 Dec 17.
9
Placement of fiber prefabricated or custom made posts affects the 3-year survival of endodontically treated premolars.纤维预制桩或定制桩的放置会影响根管治疗后前磨牙的3年生存率。
Am J Dent. 2008 Jun;21(3):179-84.
10
Evaluation of custom posts and cores fabricated by two digital technologies in core and post space dimensions.两种数字化技术制作的个性化桩核在根管和桩核空间尺寸方面的评估。
J Prosthodont. 2024 Jul;33(6):593-605. doi: 10.1111/jopr.13742. Epub 2023 Aug 11.

引用本文的文献

1
Evaluation of Internal Fit in Custom-Made Posts and Cores Fabricated with Fully Digital Versus Conventional Techniques.采用全数字化与传统技术制作的定制桩核内部适合性评估。
J Funct Biomater. 2024 Dec 22;15(12):389. doi: 10.3390/jfb15120389.
2
Comparative finite element analyses of stress exerted on the dentin by intraradicular posts.根管内桩对牙本质施加应力的比较有限元分析
Braz Dent J. 2024 Dec 16;35:e246083. doi: 10.1590/0103-644020246083. eCollection 2024.
3
The Accuracy of Custom-Made Milled Metal Posts as Compared to Conventional Cast Metal Posts.

本文引用的文献

1
Effect of Fabrication Technique and Thermal Cycling on the Bond Strength of CAD/CAM Milled Custom Fit Anatomical Post and Cores: An In Vitro Study.CAD/CAM 研磨定制贴合解剖桩核的制作技术和热循环对其粘结强度的影响:一项体外研究。
J Prosthodont. 2019 Oct;28(8):898-905. doi: 10.1111/jopr.13101. Epub 2019 Aug 22.
2
Surface treatment effects on bond strength of CAD/CAM fabricated posts to root canal dentin.表面处理对CAD/CAM制作的桩与根管牙本质粘结强度的影响。
Am J Dent. 2019 Jun;32(3):113-117.
3
Trueness and precision of 5 intraoral scanners in the impressions of single and multiple implants: a comparative in vitro study.
定制铣削金属桩与传统铸造金属桩的准确性比较。
Dent J (Basel). 2024 Sep 28;12(10):309. doi: 10.3390/dj12100309.
4
Assessment of CAD/CAM Fabrication Technologies for Post and Core Restorations-A Narrative Review.CAD/CAM 制作技术在后牙核桩修复中的评估:叙述性综述。
Medicina (Kaunas). 2024 Apr 30;60(5):748. doi: 10.3390/medicina60050748.
5
Fracture resistance and failure mode of three esthetic CAD-CAM post and core restorations.三种美学 CAD-CAM 桩核修复体的抗折强度和破坏模式。
BMC Oral Health. 2024 May 3;24(1):523. doi: 10.1186/s12903-024-04273-y.
6
Comparative analysis of stress distribution in residual roots with different canal morphologies: evaluating CAD/CAM glass fiber and other post-core materials.不同根管形态残根中应力分布的对比分析:评估 CAD/CAM 玻璃纤维和其他桩核材料。
BMC Oral Health. 2024 Mar 15;24(1):337. doi: 10.1186/s12903-024-04109-9.
7
Clinical performance of custom-milled polyetherketoneketone (PEKK) posts and cores: A 12-month follow-up randomized controlled pilot study.定制铣削聚醚酮酮(PEKK)桩核的临床性能:一项为期12个月的随访随机对照试验研究。
Clin Exp Dent Res. 2024 Apr;10(2):e854. doi: 10.1002/cre2.854.
8
Evaluation of a half-digital technique for fabricating customized post-cores: A pilot study.用于制作定制桩核的半数字化技术评估:一项初步研究。
Heliyon. 2023 Apr 7;9(4):e15363. doi: 10.1016/j.heliyon.2023.e15363. eCollection 2023 Apr.
9
Compressive Strength and Porosity Evaluation of Innovative Bidirectional Spiral Winding Fiber Reinforced Composites.新型双向螺旋缠绕纤维增强复合材料的抗压强度与孔隙率评估
J Clin Med. 2022 Nov 15;11(22):6754. doi: 10.3390/jcm11226754.
10
Accuracy of Digital Impression Taking with Intraoral Scanners and Fabrication of CAD/CAM Posts and Cores in a Fully Digital Workflow.在全数字化工作流程中使用口内扫描仪进行数字印模采集以及制作CAD/CAM桩核的准确性。
Materials (Basel). 2022 Jun 13;15(12):4199. doi: 10.3390/ma15124199.
5 种口内扫描仪在单颗和多颗种植体印模中的准确性和精确性:一项比较性的体外研究。
BMC Oral Health. 2019 Jun 6;19(1):101. doi: 10.1186/s12903-019-0792-7.
4
Influence of Intra-Oral Scanner (I.O.S.) on The Marginal Accuracy of CAD/CAM Single Crowns.口内扫描仪 (I.O.S.) 对 CAD/CAM 单冠边缘精度的影响。
Int J Environ Res Public Health. 2019 Feb 14;16(4):544. doi: 10.3390/ijerph16040544.
5
Pain and anxiety associated with Computer-Controlled Local Anaesthesia: systematic review and meta-analysis of cross-over studies.与计算机控制局部麻醉相关的疼痛和焦虑:交叉研究的系统评价和荟萃分析。
Eur J Paediatr Dent. 2018 Dec;19(4):324-332. doi: 10.23804/ejpd.2018.19.04.14.
6
Indirect adhesive rehabilitation by cementation under pressure of a case of Dentinogenesis Imperfecta type II: follow-up after 13 years.通过加压粘结对一例 II 型牙本质生成不全病例进行间接粘结修复:13 年后的随访。
Eur J Paediatr Dent. 2018 Dec;19(4):303-306. doi: 10.23804/ejpd.2018.19.04.10.
7
Effects of scanning technique on in vitro performance of CAD/CAM-fabricated fiber posts.扫描技术对计算机辅助设计/计算机辅助制造(CAD/CAM)制作的纤维桩体外性能的影响。
J Oral Sci. 2018;60(2):262-268. doi: 10.2334/josnusd.17-0254.
8
FE analysis of conceptual hybrid composite endodontic post designs in anterior teeth.前牙概念性混合复合材料根管桩设计的有限元分析。
Dent Mater. 2018 Jul;34(7):1063-1071. doi: 10.1016/j.dental.2018.04.004. Epub 2018 Apr 24.
9
Salivary Markers and Microbial Flora in Mouth Breathing Late Adolescents.口呼吸青少年的唾液标志物和微生物菌群。
Biomed Res Int. 2018 Mar 5;2018:8687608. doi: 10.1155/2018/8687608. eCollection 2018.
10
Comparison of coronal leakage of different root canal filling techniques: an ex vivo study.不同根管充填技术的冠渗漏比较:一项离体研究。
J Biol Regul Homeost Agents. 2018 Mar-Apr;32(2):397-405.